Composite Restorations at All Smiles Dental Clinic
"Where Artistry Meets Dentistry for a Stunning Smile"
Tooth Coloured Restorations at All Smiles Dental Clinic
"Where Artistry Meets
Dentistry for a Stunning
Smile"
What are Tooth Coloured Restorations?
Experience the artistry of aesthetic restorations at our dental clinic. We specialize in composite dentistry, offering state-of-the-art techniques to create beautiful, natural-looking smiles.
Our skilled dentists use high-quality composite materials to restore and enhance the appearance of damaged or discoloured teeth. Composite restorations are carefully matched to the shade of your existing teeth, ensuring a seamless integration with your smile.
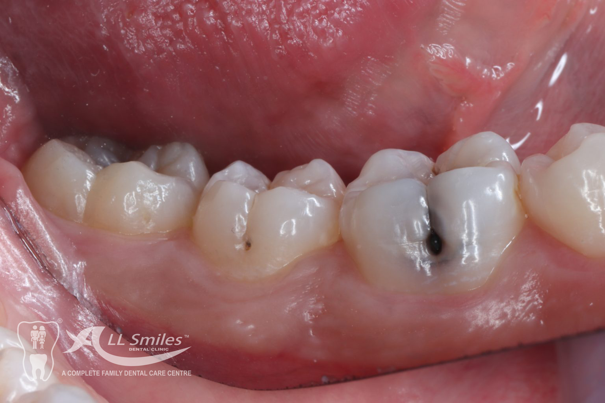
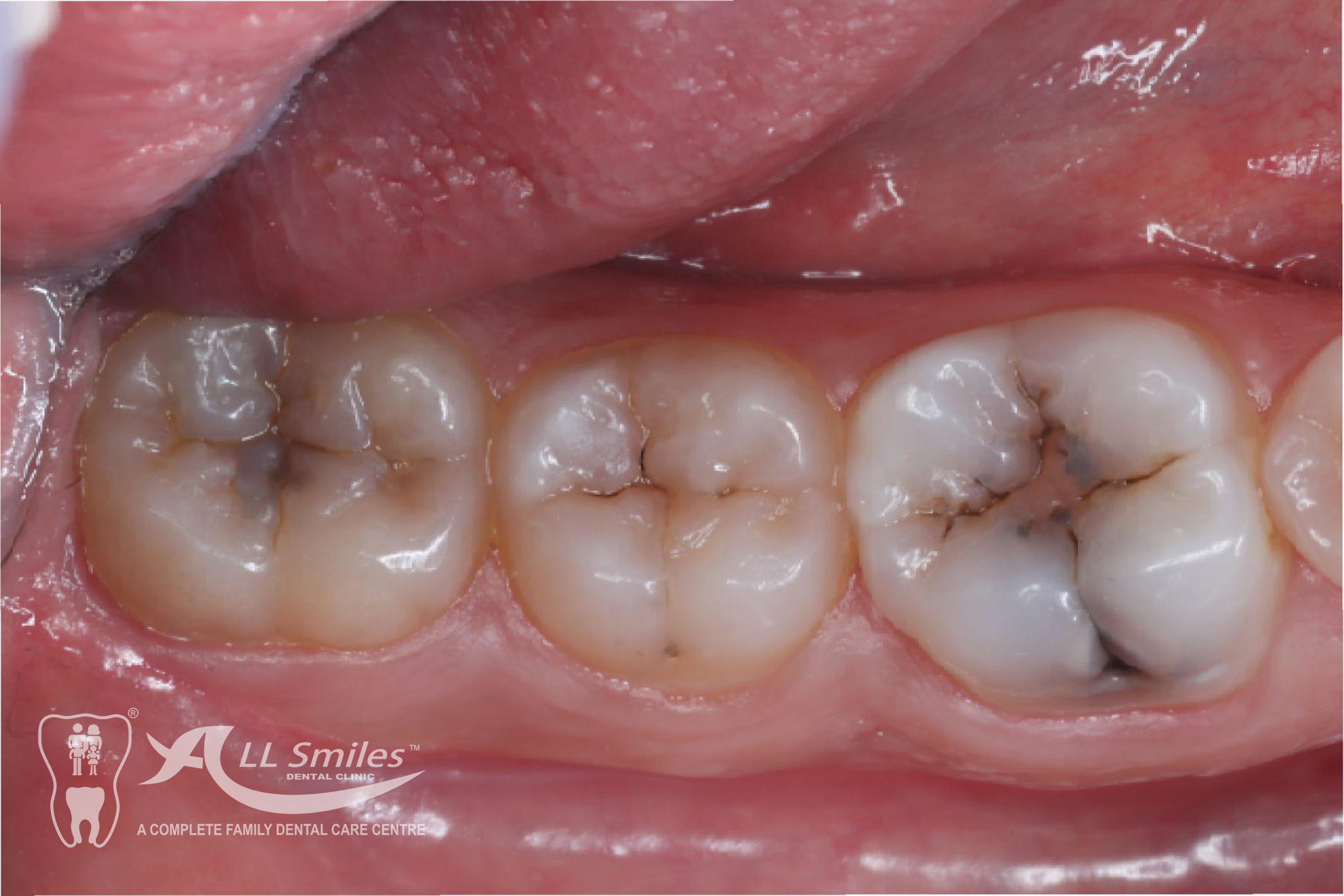
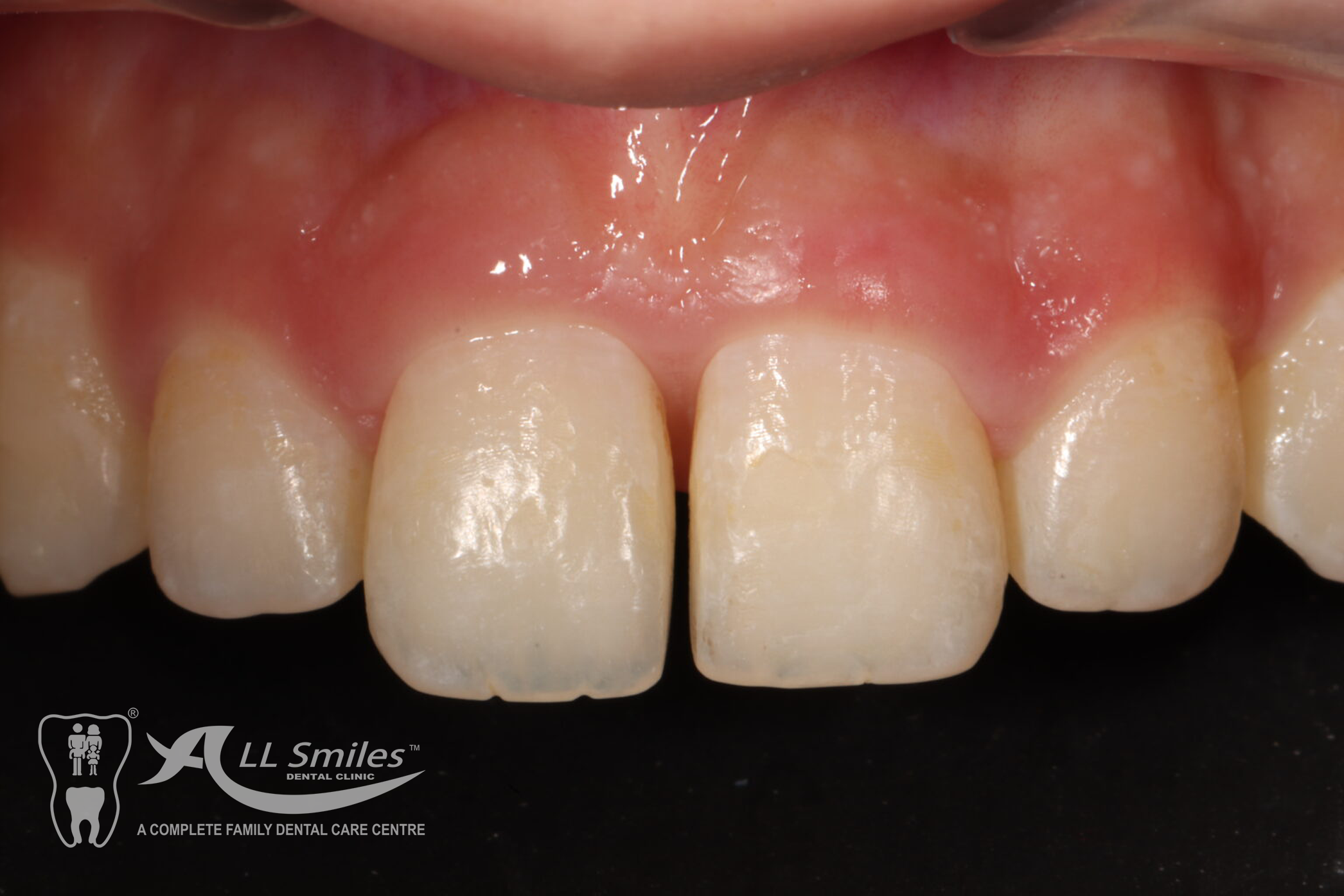
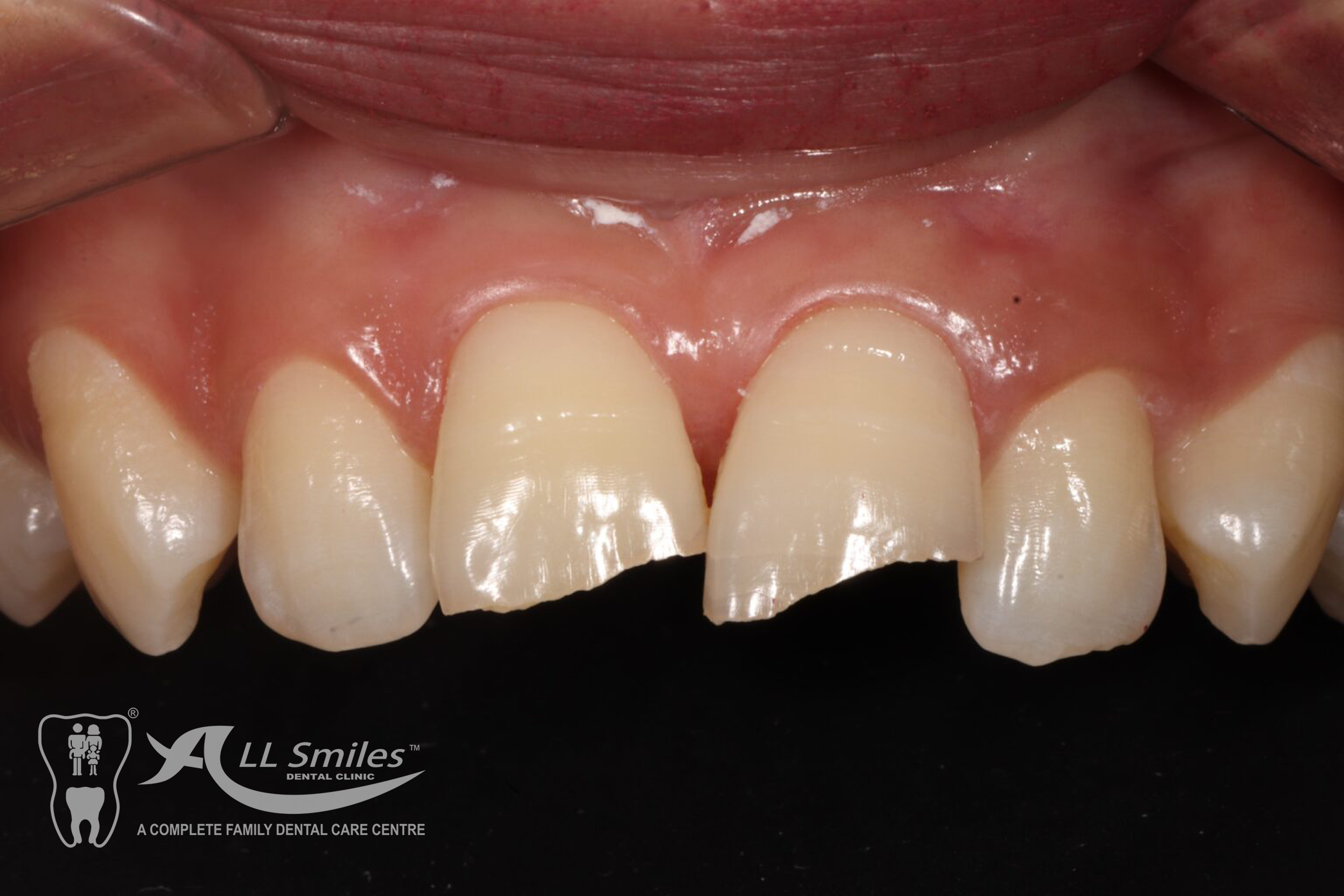
With composite restorations, we can address a range of dental issues, including chips, cracks, gaps, and discoloration. Our goal is to provide aesthetically pleasing results that blend seamlessly with your natural teeth, giving you a renewed sense of confidence.
The benefits of composite restorations extend beyond their aesthetic appeal. These restorations are durable, long-lasting, and resistant to staining. Additionally, composite materials require less removal of healthy tooth structure compared to other dental materials, preserving your natural tooth as much as possible.
At our clinic, we prioritize patient comfort and satisfaction. Our experienced dentists will carefully evaluate your unique needs and customize a treatment plan tailored to achieve your desired smile transformation. We utilize advanced techniques and the latest technology to ensure precise placement and a comfortable experience.
Rediscover your radiant smile with our aesthetic composite restorations. Schedule a consultation today and let us help you achieve the beautiful, natural-looking smile you deserve.
What to Expect on your First Visit?
At your first visit, you can expect a thorough examination of your teeth and a discussion about your dental health. The dentist will assess the condition of your teeth, identify any areas that require fillings, and explain the treatment process.
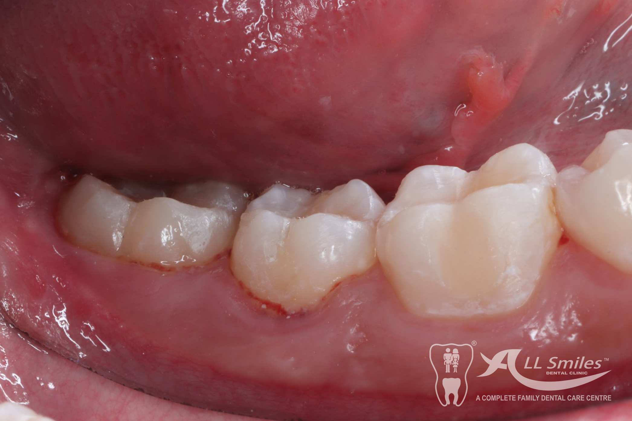
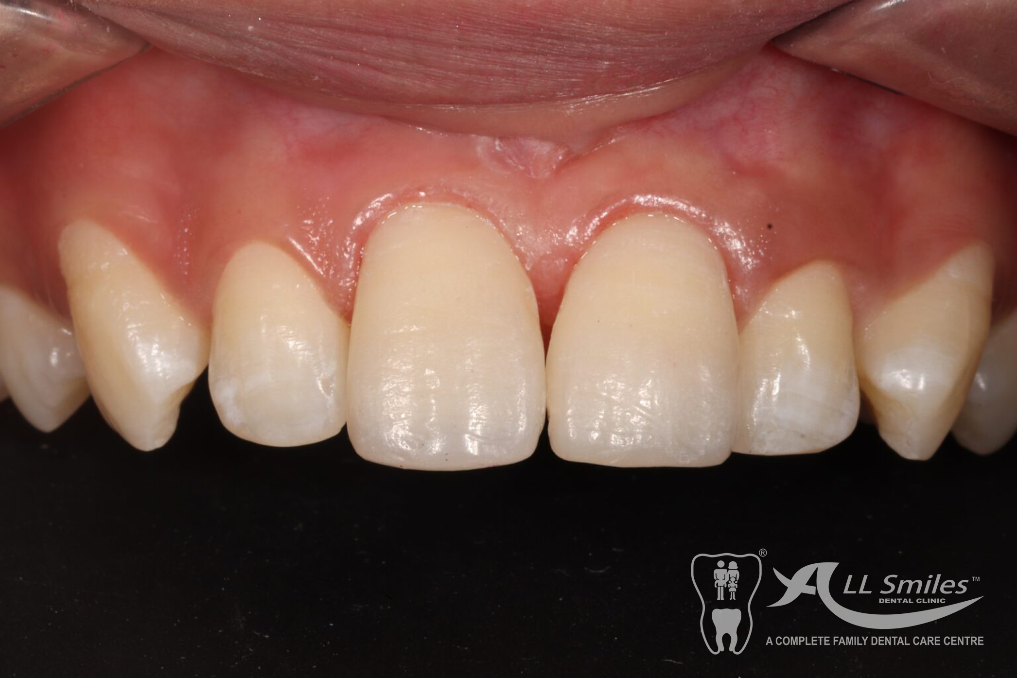
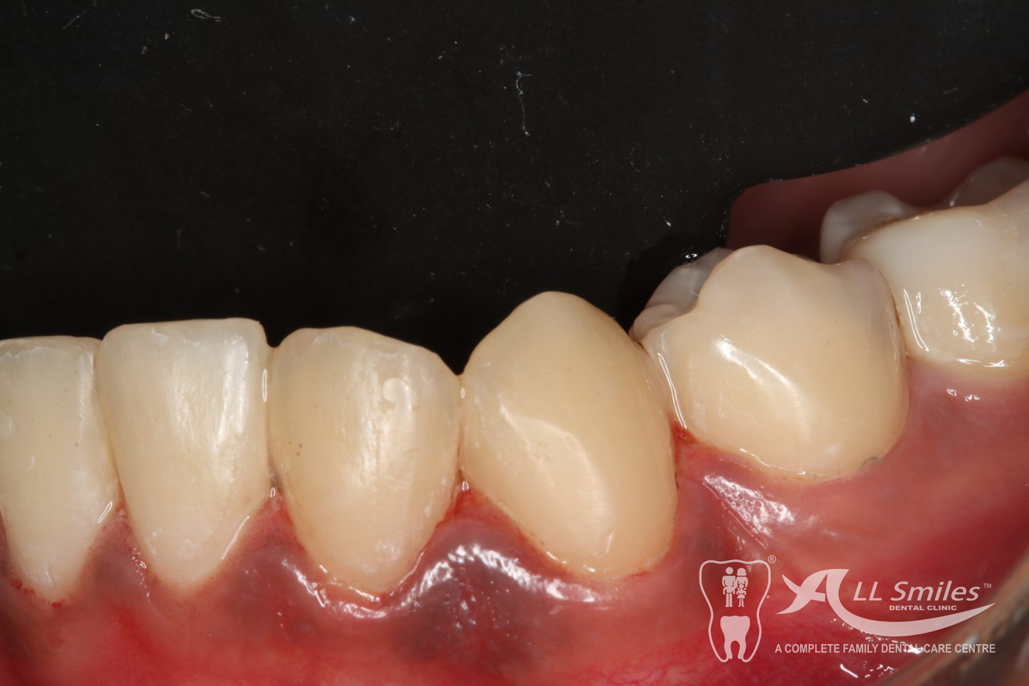
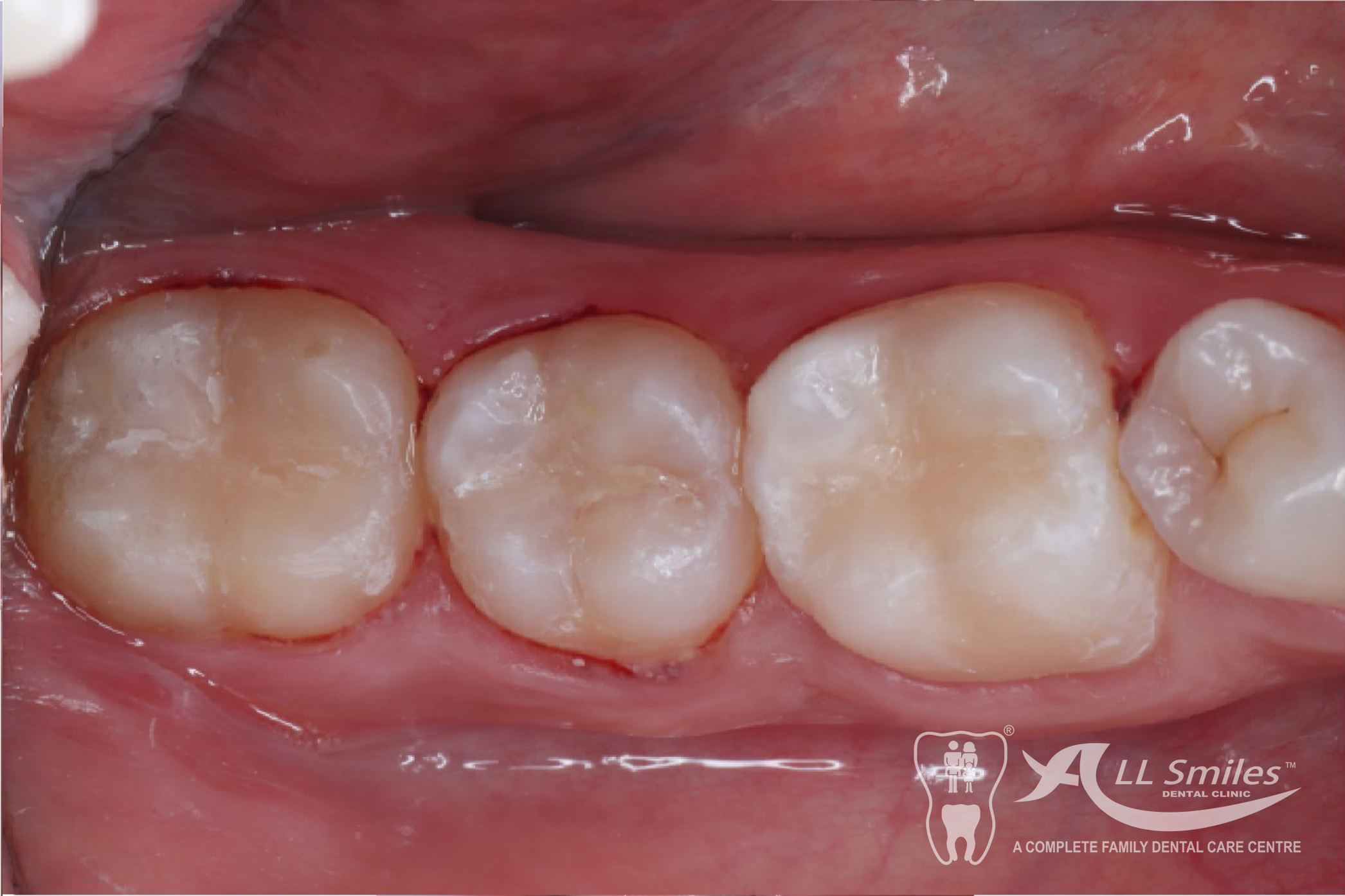
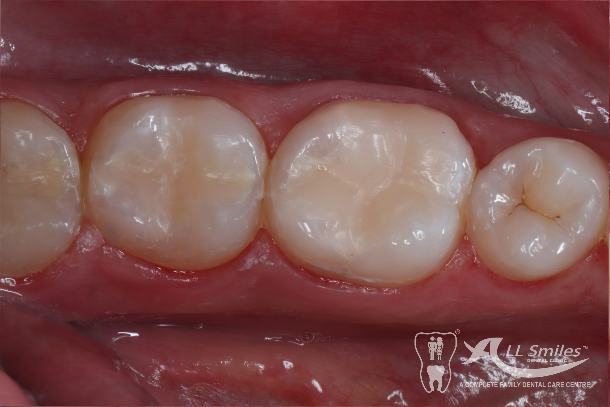
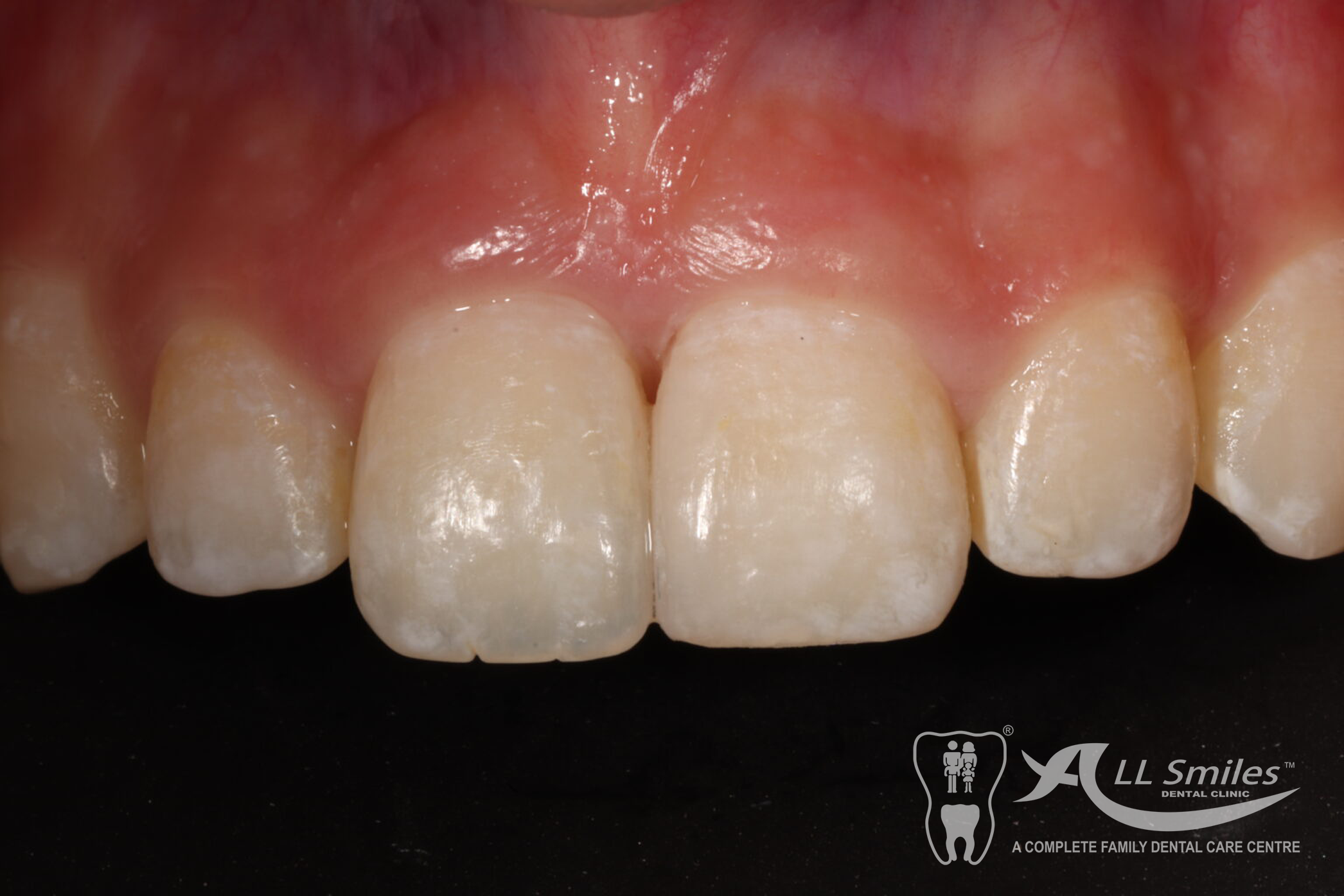
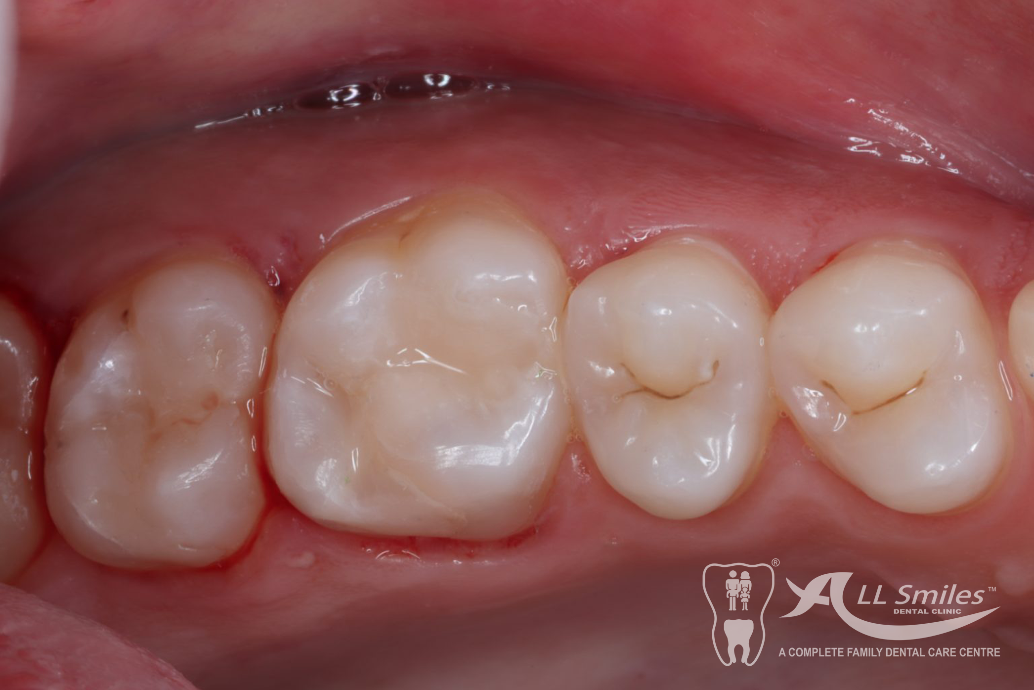
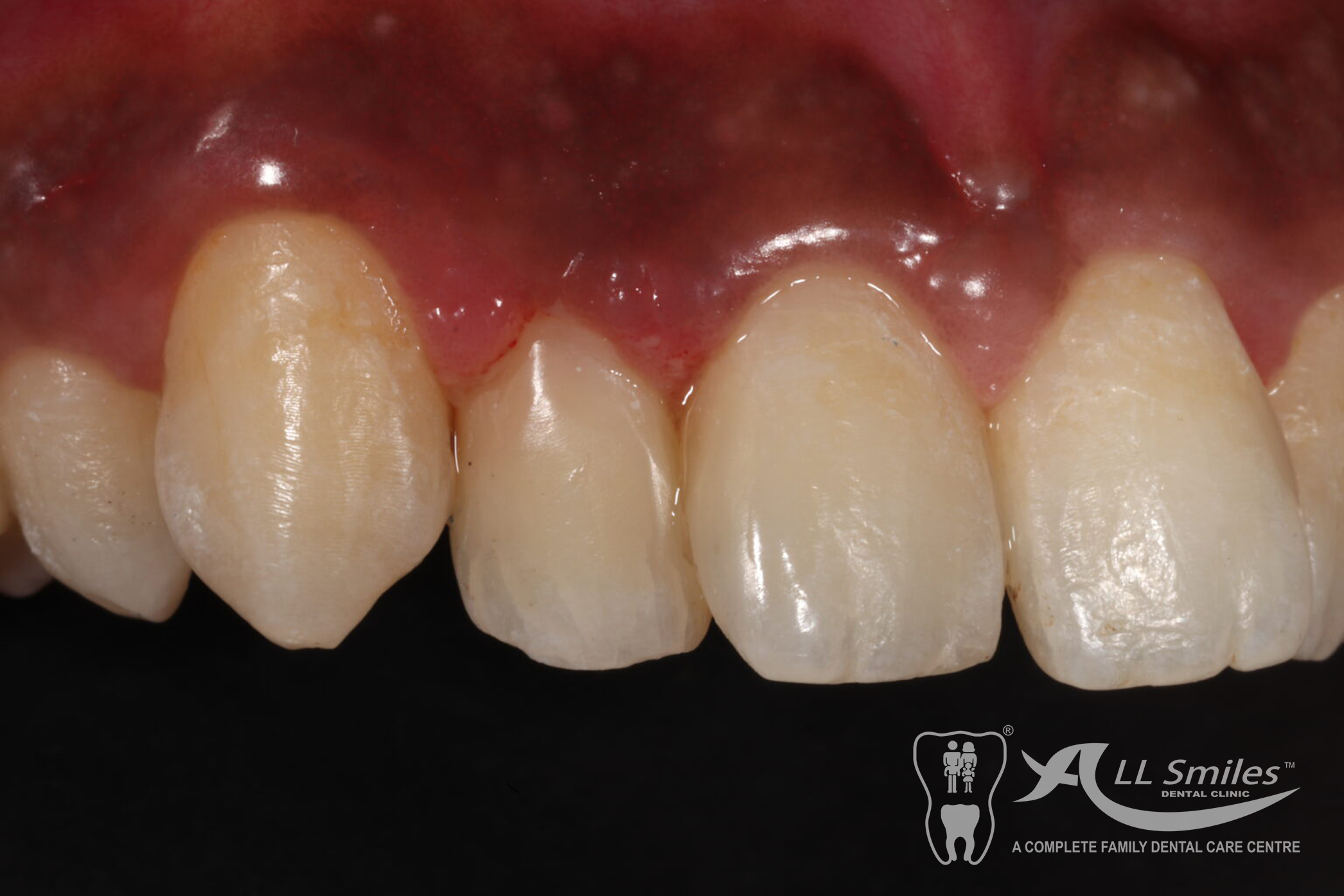
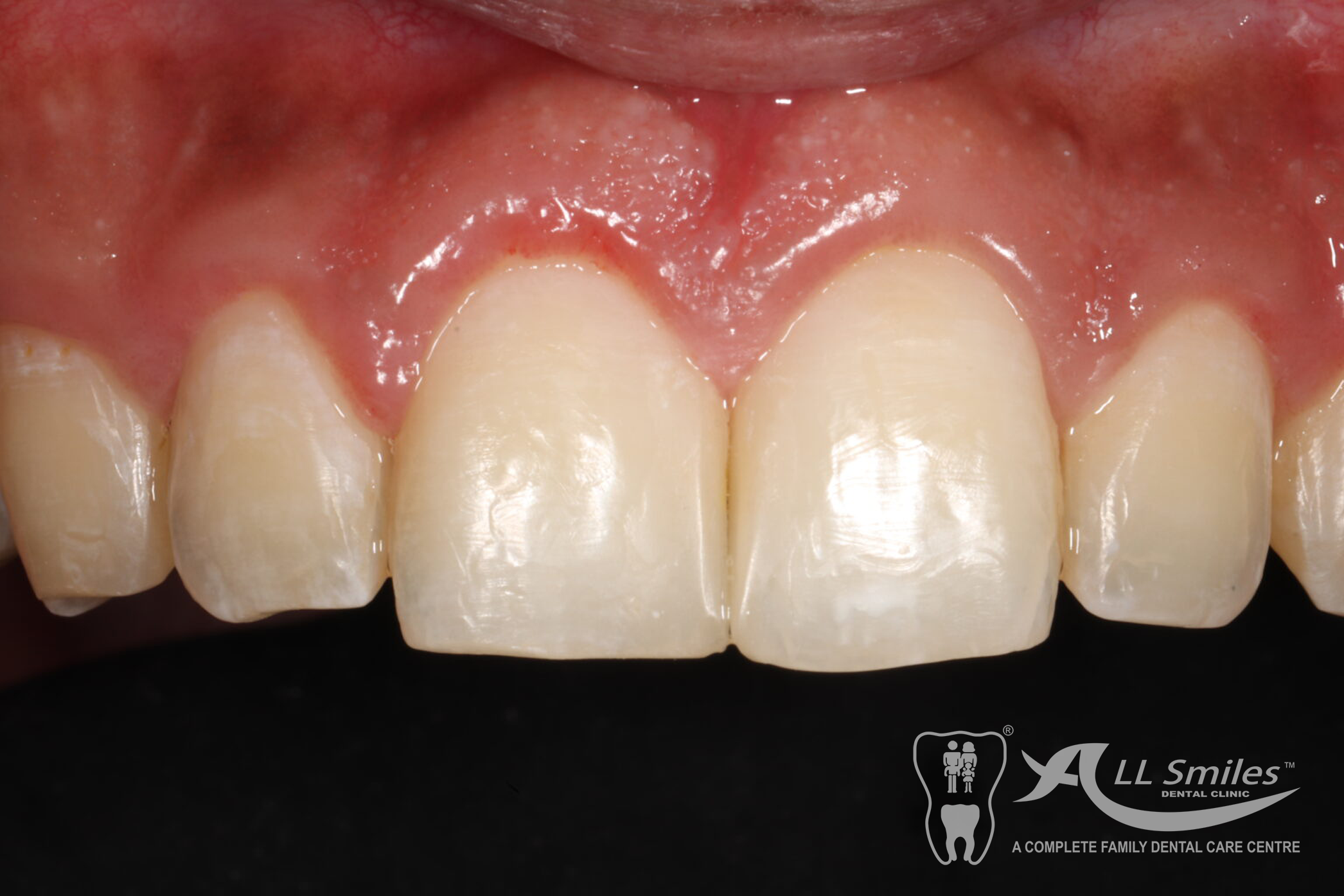
Tooth Coloured Restorations Gallery












Frequently Asked Questions
Aesthetic or composite restorations are dental procedures that use tooth-coloured composite materials to repair and restore teeth that are damaged, decayed, or discoloured. These restorations are designed to blend seamlessly with your natural teeth, providing an aesthetically pleasing result.
Composite restorations offer several benefits, including natural-looking results, durability, resistance to staining, and preservation of healthy tooth structure. Additionally, composite materials can be matched to the colour of your existing teeth, resulting in a seamless and harmonious smile.
The lifespan of composite restorations can vary depending on factors such as oral hygiene practices, habits like teeth grinding, and the size and location of the restoration. With proper care and regular dental check-ups, composite restorations can last for many years.
Composite restorations are versatile and can address various dental issues, including tooth decay, chipped or cracked teeth, gaps between teeth, and tooth discoloration. However, for more extensive damage or cases where additional strength is required, alternative treatments like dental crowns or veneers may be recommended.
The procedure for aesthetic/composite restorations is generally painless. Your dentist will use local anaesthesia to ensure your comfort during the treatment. You may experience some sensitivity or discomfort after the procedure, but this is usually temporary.
The time required for an aesthetic/composite restoration can vary depending on the size and complexity of the restoration. In most cases, the procedure can be completed in a single dental visit.
Caring for composite restorations is similar to caring for natural teeth. It involves maintaining good oral hygiene practices, including brushing twice a day, flossing daily, and visiting your dentist regularly for check-ups and cleanings. Avoiding habits like biting on hard objects and wearing a mouthguard during sports activities can also help protect your restorations.
Over time, composite restorations may need to be replaced due to wear, staining, or damage. Your dentist will monitor the condition of your restorations during regular check-ups and recommend replacement if necessary.