Crown Lengthening at All Smiles Dental Clinic
"Crown Lengthening for a Stunning Smile Makeover!"
Reveal the Hidden Beauty!
Crown Lengthening at All Smiles Dental Clinic
"Crown Lengthening
for a Stunning Smile
Makeover!"
Reveal the Hidden Beauty!
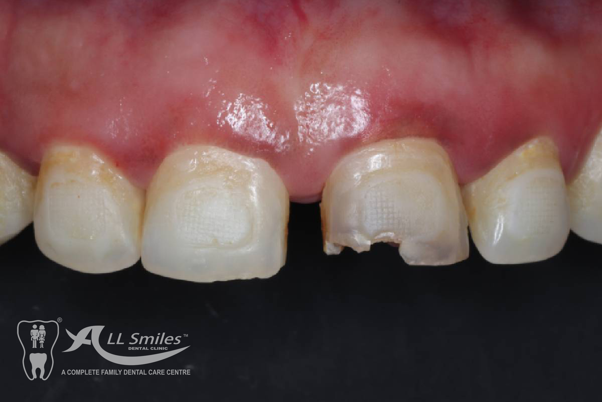
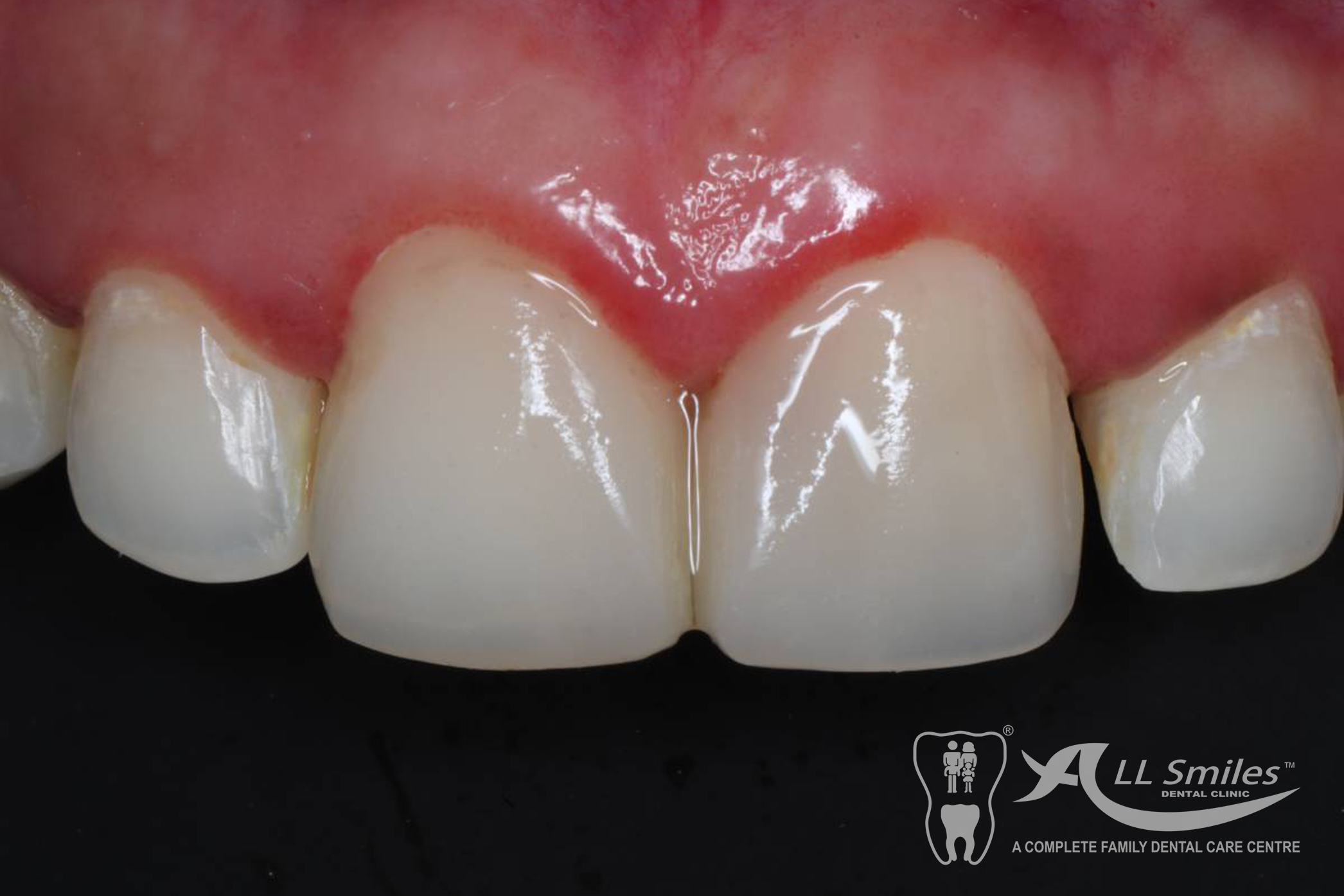
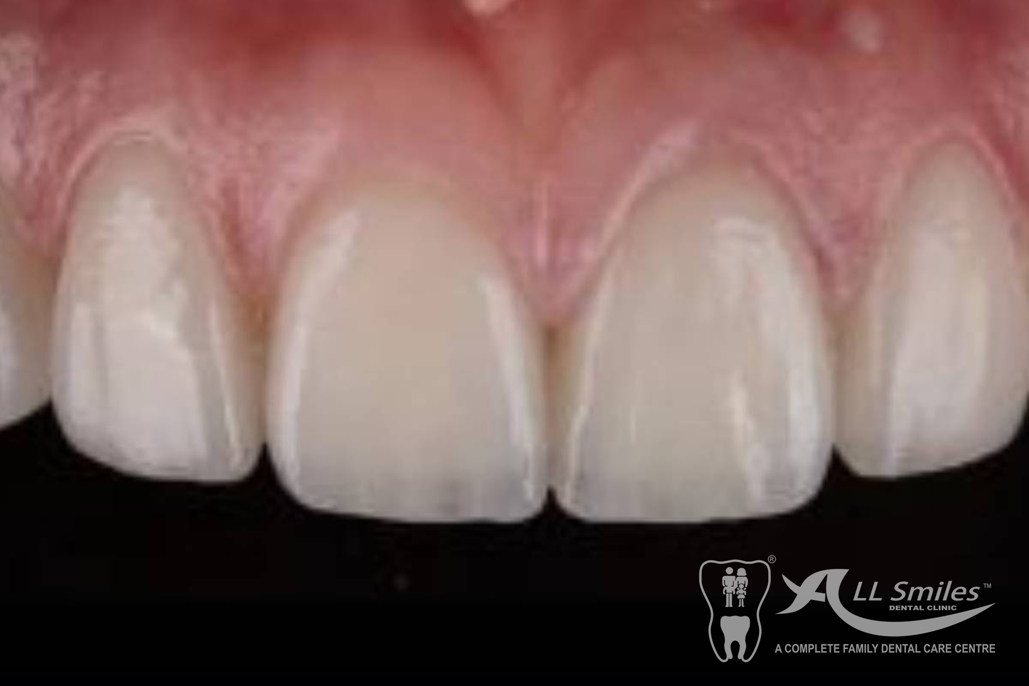
What is Gum Contouring?
Welcome to our comprehensive guide on Gum Contouring, a transformative procedure that can enhance your smile and boost your confidence. Whether you’re concerned about a gummy smile or uneven gum line, our expert team is here to provide you with all the information you need to make an informed decision.
Gum contouring, also known as gum reshaping or gum sculpting, is a cosmetic dental procedure that aims to improve the appearance of your gums. It involves carefully reshaping and recontouring the gum line to create a harmonious balance between your gums and teeth. This procedure can effectively correct issues such as excessive gum display (gummy smile), uneven gum line, or an overly prominent gum area that detracts from your teeth.
Why Consider Gum Contouring?
There are several reasons why individuals choose gum contouring as part of their smile enhancement journey. Some of the common motivations include:
If you feel that your smile shows an excessive amount of gum tissue, gum contouring can help create a more balanced and proportionate smile by reducing the gum visibility.
Gum contouring can address issues where the gum line appears uneven or irregular, giving you a more symmetrical and aesthetically pleasing smile.
By carefully sculpting the gum line, gum contouring can bring attention to your teeth, making them appear longer, more proportional, and beautifully framed.
Gum contouring is often a crucial component of a smile makeover, helping to create a harmonious and stunning smile transformation.
- Gummy Smile Correction
- Uneven Gum Line
- Enhancing Tooth Appearance
- Smile Makeover
Gum contouring offers numerous benefits, including:
- Enhanced Aesthetics
- Increased Confidence
- Improved Oral Health
- Quick and Convenient
Based on your specific requirements, we will develop a personalized treatment plan. We may use advanced digital imaging technology to show you a preview of how your smile will appear after the gum contouring procedure.
Gum Contouring Gallery






Frequently Asked Questions
Gum contouring is generally well-tolerated by patients. Local anaesthesia is used to numb the area being treated, minimizing discomfort during the procedure. Afterward, some mild soreness or sensitivity may be experienced, but it can be managed with over-the-counter pain relievers.
The duration of the gum contouring procedure depends on the extent of treatment required. Generally, it can be completed in a single appointment lasting between 30 minutes to an hour.
Gum contouring is a safe procedure when performed by a skilled dental professional. However, as with any surgical procedure, there is a minimal risk of infection, bleeding, or adverse reaction to anaesthesia. Your dentist will provide post-operative care instructions to minimize these risks.
Gum contouring is typically performed using minimally invasive techniques like laser. With proper healing and care, any scars or marks are usually minimal and fade over time.
Recovery time varies from patient to patient. Initially, you may experience some swelling, tenderness, or minor bleeding, but these symptoms usually subside within a few days. It is important to follow post-operative care instructions provided by your dentist to ensure proper healing.
The results of gum contouring can be long-lasting. However, it’s important to maintain good oral hygiene practices, including regular brushing, flossing, and professional dental cleanings, to ensure the longevity of the results.
Gum contouring can contribute to improved oral health. By removing excess gum tissue, it eliminates areas where bacteria can accumulate, making it easier to maintain proper oral hygiene. Additionally, a properly contoured gum line can reduce the risk of gum disease and other oral health issues.