Root Canals at All Smiles Dental Care
"High-tech, comfortable, and picture-perfect."
Keep your teeth as healthy as possible for as long as possible
What is Root Canal Treatment ?
Root canal treatment, also known as endodontic treatment, is a dental procedure used to treat a damaged or infected tooth pulp. The pulp is the soft tissue located in the center of the tooth that contains nerves, blood vessels, and connective tissue.
During a root canal treatment, a dentist or endodontist will numb the affected tooth and remove the damaged or infected pulp from the inside of the tooth. The root canals are then cleaned, disinfected, and filled with a material to prevent further infection.
After the root canal treatment is completed, the tooth is typically restored with a dental crown or filling to protect it from further damage or decay. Root canal treatment is a common and effective way to save a damaged or infected tooth and prevent the need for extraction.
We get it. Nobody likes the idea of possibly needing a root canal. But here’s what our dentists want you to know:
1. If you have a really bad toothache caused by bacteria deep inside your tooth, root canal therapy is the best way to help you feel better quickly.
2. Root canals help save your natural teeth, avoiding extractions and other more complicated (and pricy) procedures.
3. We perform hundreds of root canal procedures every year. They’re a very common (and very necessary)
treatment for many people.
4. All Smiles Dental Clinic does root canals differently. We take great pride in our high-tech approach and amazing results.
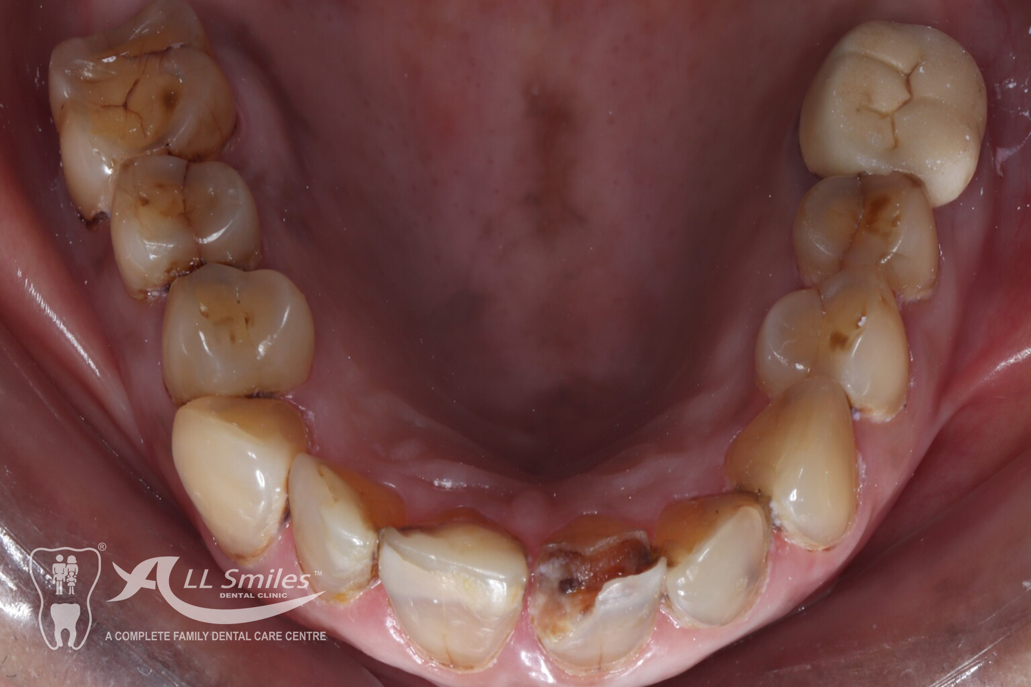
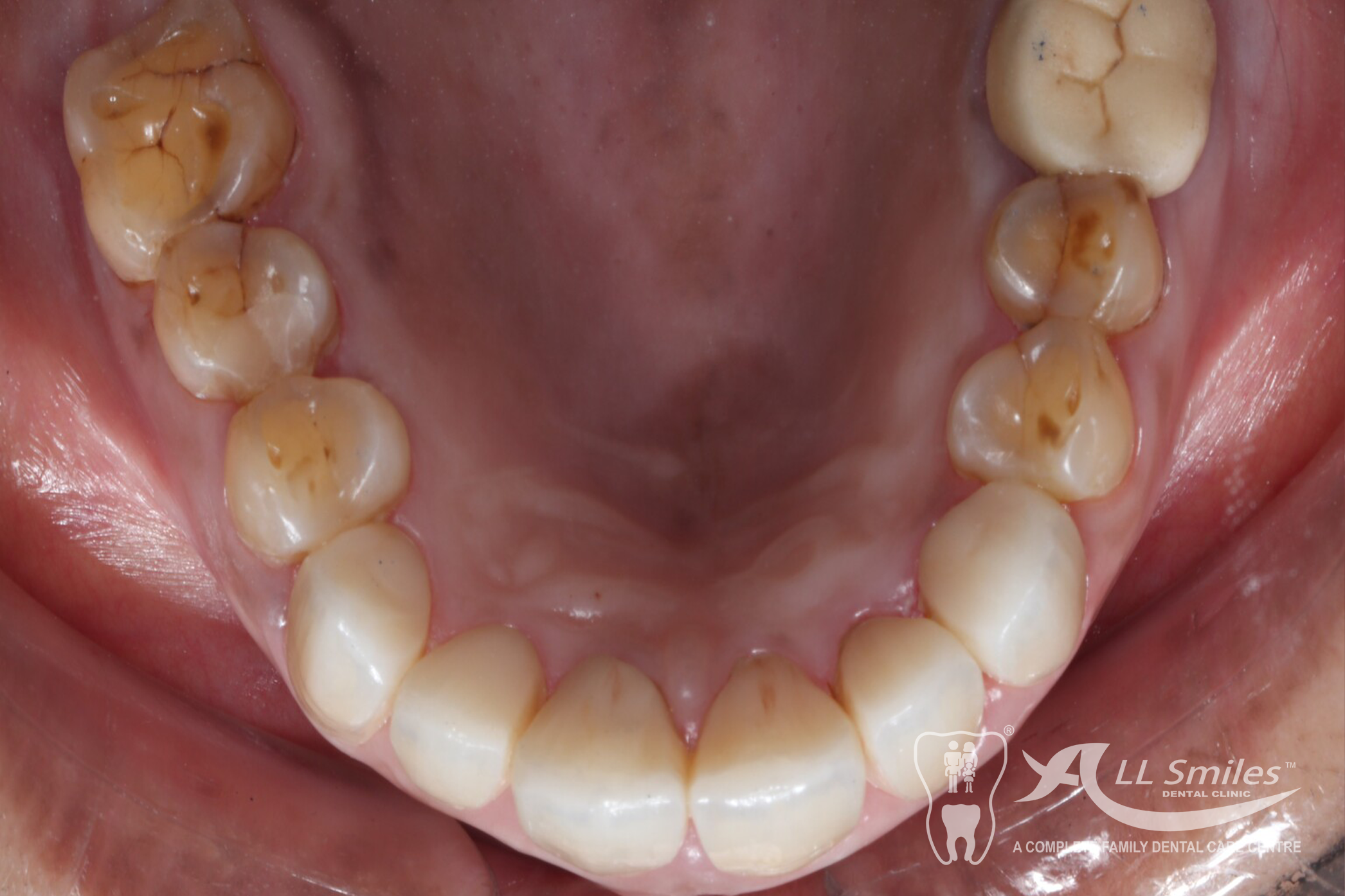
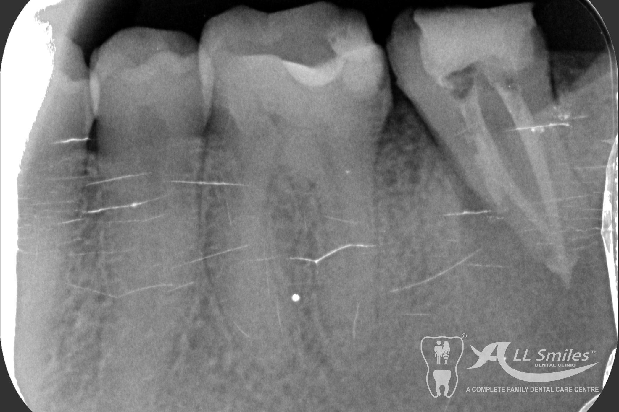
Root Canal Gallery









Frequently Asked Questions
A root canal treatment is needed when the pulp inside your tooth becomes infected or inflamed. This can happen due to deep decay, a cracked or chipped tooth, repeated dental procedures on the same tooth, or trauma to the tooth. Without treatment, the infection can spread to other teeth or even to other parts of the body.
Modern root canal treatments are usually not painful as the dentist will numb the affected area with local anesthesia before the procedure. You may feel some discomfort during the treatment, but most patients report that it is no more painful than a routine dental filling. After the procedure, you may experience some soreness, but this can usually be managed with over-the-counter pain relievers.
The length of a root canal treatment can vary depending on the severity of the infection and the complexity of the tooth. Most treatments can be completed in one or two visits, but some cases may require additional appointments. Your dentist will discuss the expected timeline with you before starting the procedure.
After a root canal treatment, it is important to maintain good oral hygiene by brushing and flossing regularly. Your dentist may recommend that you avoid eating hard or sticky foods and chewing on the affected tooth until it has been fully restored with a crown or filling. You should also attend regular dental check-ups to ensure the tooth is healing properly.
In some cases, extraction of the tooth may be an alternative to root canal treatment. However, removing a tooth can have long-term consequences, such as shifting of adjacent teeth and bone loss in the jaw. Therefore, it is generally recommended to save the natural tooth whenever possible with a root canal treatment. Your dentist can discuss all treatment options with you and help you make an informed decision.
Everything root canals should be We get it. Nobody likes the idea of possibly needing a root canal. But here’s what our dentists want you to know:
If you have a really bad toothache caused by bacteria deep inside your tooth, root canal therapy is the best way to help you feel better quickly.