Pediatric Dental Care at All Smiles Dental Clinic
"We believe that a healthy smile starts early"
What is Child Dentistry?
We specialize in providing exceptional dental care for children, ensuring that their teeth and gums stay strong and healthy from the very beginning. Our friendly and experienced team is dedicated to create a positive and comfortable dental experience for your child, setting the foundation for a lifetime of good oral health habits.
Why Choose All Smiles Kids Dentistry?
- Kid-Friendly Environment
- Expert Pediatric Dentists
- Preventive Care
- Education and Guidance
- Specialized Treatments
- Dental Anxiety Management
- Parental Involvement
Kids dental treatment categories include:
Sealants are protective coatings applied to the chewing surfaces of molars and premolars. They help prevent cavities by sealing out bacteria and food particles, especially in hard-to-reach areas.
Fluoride is a mineral that strengthens tooth enamel and helps prevent tooth decay. Dentists may apply fluoride treatments to the child’s teeth to provide extra protection against cavities.
If a child has a cavity, the dentist will remove the decayed portion of the tooth and fill the space with a dental filling. Fillings can be made of various materials, such as composite resin or glass ionomer, depending on the specific needs of the child.
These are treatments performed on baby teeth to save them from extensive decay or infection.
Crowns are tooth-shaped caps that cover and protect damaged or weakened teeth. They are commonly used for baby teeth that have extensive decay or are at risk of fracture.
If a child loses a baby tooth prematurely, a space maintainer may be used to hold the space open until the permanent tooth erupts. This helps prevent crowding or alignment issues in the future.
Dentists assess the child’s dental alignment and bite to determine if orthodontic treatment, such as braces or aligners, will be necessary in the future.
Kids are prone to dental emergencies like toothaches, broken teeth, or injuries to the mouth. Our experts are equipped to provide immediate care and alleviate pain or discomfort.
What to Expect on your First Kids Dental Visit?
The first dental visit sets the foundation for a positive dental experience. The dental team will warmly welcome you and your child, creating a friendly and comfortable atmosphere to introduce and familiarize with the dental chair. They will introduce themselves, engage with your child, and establish rapport to help ease any anxiety or apprehension.
The dentist will perform a gentle and thorough oral examination of your child’s mouth. This may involve counting their teeth, checking for proper alignment, assessing gum health, and looking for any signs of tooth decay, oral abnormalities, or developmental issues.
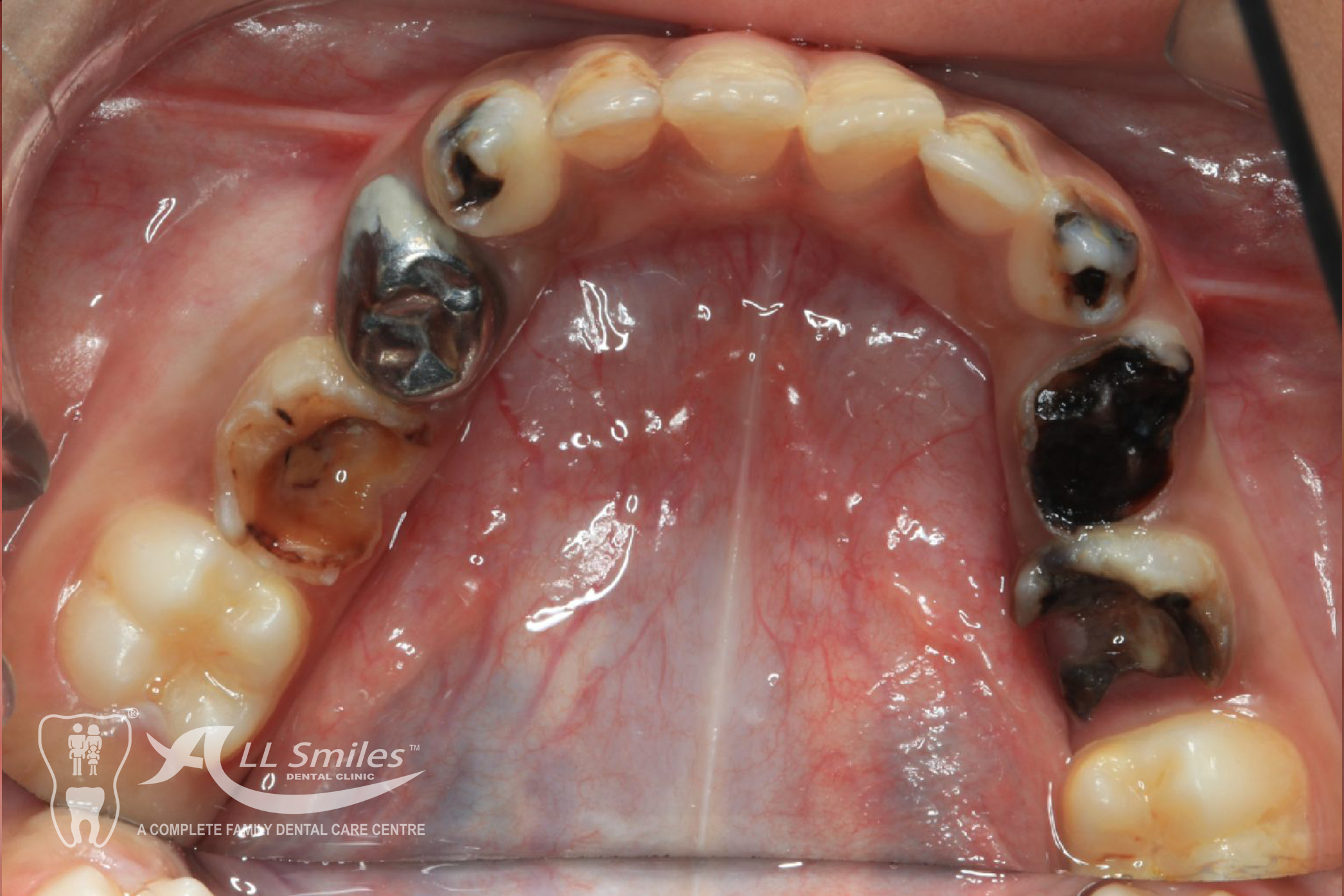
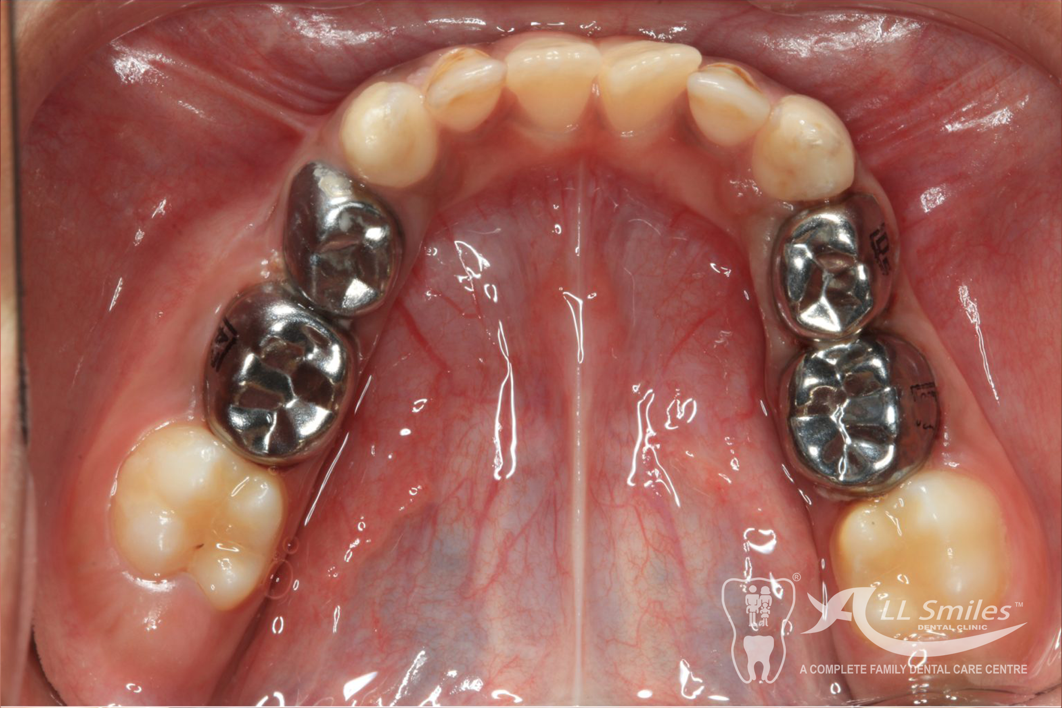
Child Dentistry Gallery






Frequently Asked Questions
It is recommended that children visit the dentist by their first birthday or within six months after their first tooth erupts.
Regular dental check-ups are typically recommended every six months. However, your child’s dentist will determine the appropriate frequency based on their individual needs.
Yes, dental X-rays are generally safe for children. The level of radiation exposure is minimal, and dentists take necessary precautions to minimize radiation and ensure safety.
Dental anxiety is common among children. You can help by explaining the dental visit in a positive and age-appropriate manner, and encouraging relaxation techniques such as deep breathing or listening to music during the appointment.
Yes, baby teeth play a crucial role in your child’s oral health. They help with proper speech development, chewing, and guiding the eruption of permanent teeth. Additionally, dental problems in baby teeth can affect the health of permanent teeth.
Encourage your child to brush their teeth twice a day with fluoride toothpaste, teach them proper brushing and flossing techniques, limit sugary snacks and drinks, and ensure regular dental check-ups and cleanings.
You can start using a soft-bristled toothbrush as soon as your child’s first tooth erupts. Initially, use a smear of fluoride toothpaste about the size of a grain of rice, and as they grow, increase it to a pea-sized amount.
In the case of a dental emergency, remain calm and contact your child’s dentist immediately. They will provide guidance and may recommend immediate care or schedule an emergency appointment.