Laser Dentistry at All Smiles Dental Clinic

"A gentle touch your smile deserves"

What is Laser Dentistry ?

In recent years, laser technology has transformed various industries, and dentistry is no exception.
All Smiles Dental Clinic is a premier destination for state-of-the-art laser dentistry. Our clinic is dedicated to providing you with exceptional dental care using cutting-edge laser technology. Laser dentistry allows for precise and minimally invasive treatments, providing numerous benefits such as reduced discomfort, faster healing, and improved treatment outcomes.

We offer a wide range of laser treatments tailored to meet your unique oral health needs. Our treatments include:

  • Periodontal (gum) disease treatment and gum reshaping
  • Soft tissue procedures, including frenectomy and tongue-tie release
  •  Teeth whitening using laser energy
  • Root canal therapy with enhanced disinfection
  • Lesion removal
  •  Ulcer healing

Advantages of Laser Dentistry

Laser technology allows for precise targeting of tissues, minimizing the need for incisions, sutures, and anaesthesia in certain procedures. This results in reduced post-operative discomfort and faster healing times.

Dental lasers enable dentists to selectively remove or reshape tissues while preserving the surrounding healthy tissues. This precision ensures minimal damage to adjacent structures, enhancing treatment outcomes.

Laser procedures often cause less pain and discomfort compared to traditional methods. The laser energy seals nerve endings and blood vessels, resulting in reduced bleeding, swelling, and post-operative pain.

Many patients experience dental anxiety or fear. Laser dentistry can help alleviate this anxiety as the procedures are generally quieter, produce no vibration, and reduce the need for invasive techniques.

The high-energy laser beam effectively kills bacteria and sterilizes the treatment area, minimizing the risk of infection and promoting better oral health outcomes.

What to expect on your first visit:
At your first appointment, expect to spend about 90 minutes with us for a full exam, cleaning, and get-to-know-you time with your dentist.

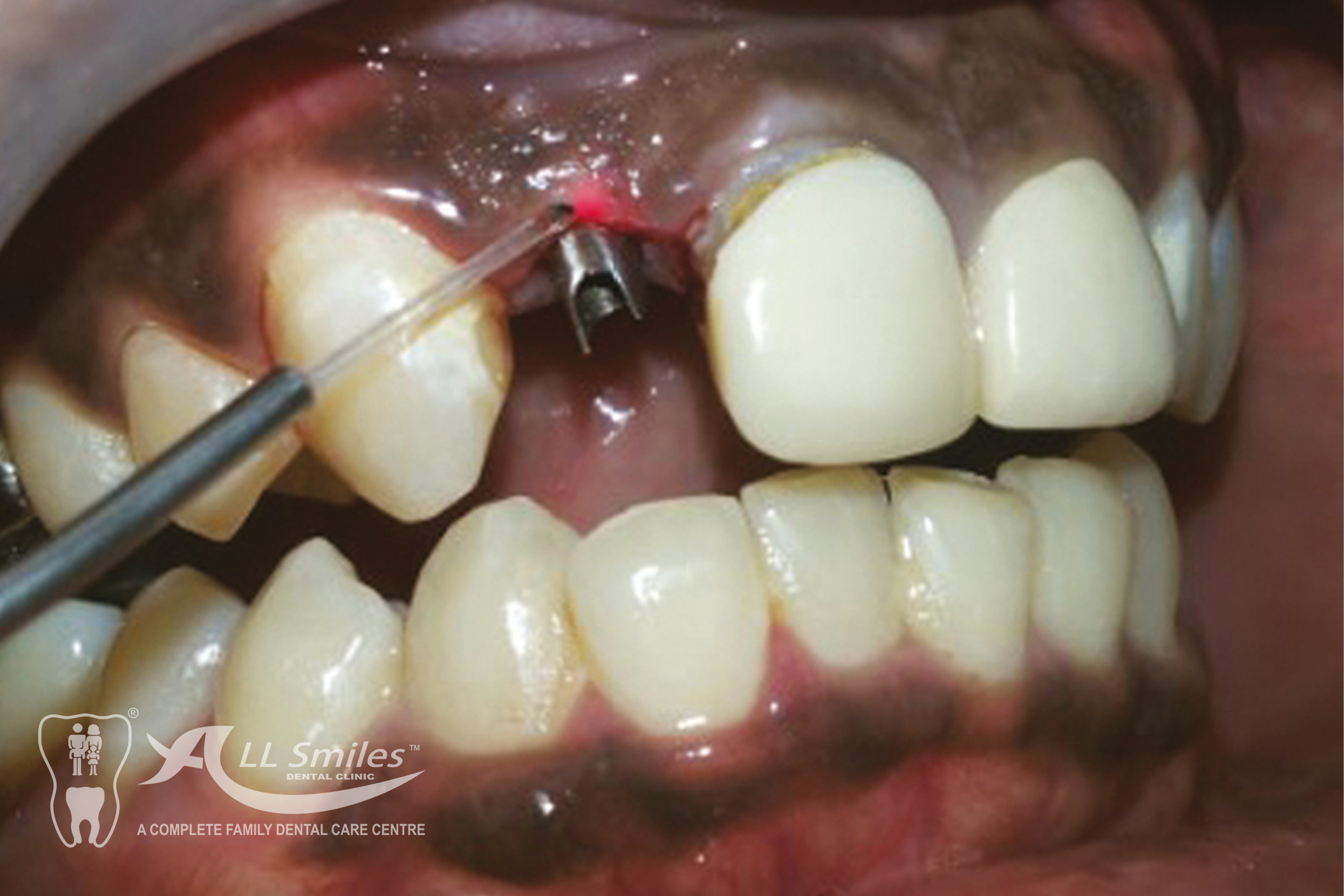
Laser Dentistry Gallery

Image 1

Laser for Gum Contouring

Image 5

Laser Teeth Whitening

Image 6

Root Canal Disinfection with laser

Laser for Implant Recovery

Laser for TMJ Pain Therapy

Laser for Ulcer Healing

Frequently Asked Questions

Dental lasers work by delivering energy in the form of light. The laser light can be adjusted in terms of intensity, wavelength, and duration, allowing dentists to target specific tissues without affecting the surrounding areas.

Yes, laser dentistry is generally considered safe when performed by a trained dental professional. The American Dental Association (ADA) and the Food and Drug Administration (FDA) have approved several dental lasers for use in dental procedures.

Laser dentistry can be suitable for most patients; however, it may not be suitable for individuals with certain medical conditions or extensive dental work needs. Your dentist will evaluate your specific case and determine if laser dentistry is appropriate for you.

Laser dentistry is often associated with less pain and discomfort compared to traditional methods. However, the level of sensitivity varies depending on the procedure and the individual’s pain tolerance. Your dentist may apply a local anaesthetic to ensure your comfort during laser treatments.

While laser dentistry is generally safe, some patients may experience mild side effects such as temporary soreness, swelling, or sensitivity. These effects typically subside within a few days.

Happy Patients