Dentures at All Smiles Dental Clinic
"Regain Your Confident Smile with Dentures"
Dentures at All Smiles Dental Clinic
"Regain Your Confident
Smile with Dentures"
What are Dentures?
Dentures are removable dental appliances designed to replace missing teeth and restore the function and aesthetics of your mouth. Whether you’re missing a few teeth or an entire arch, dentures provide a reliable solution for restoring your natural smile. Our team of experienced dental professionals specializes in crafting custom dentures that fit comfortably and look natural.
Types of Dentures:
We offer a range of denture options to suit different patient needs and preferences:
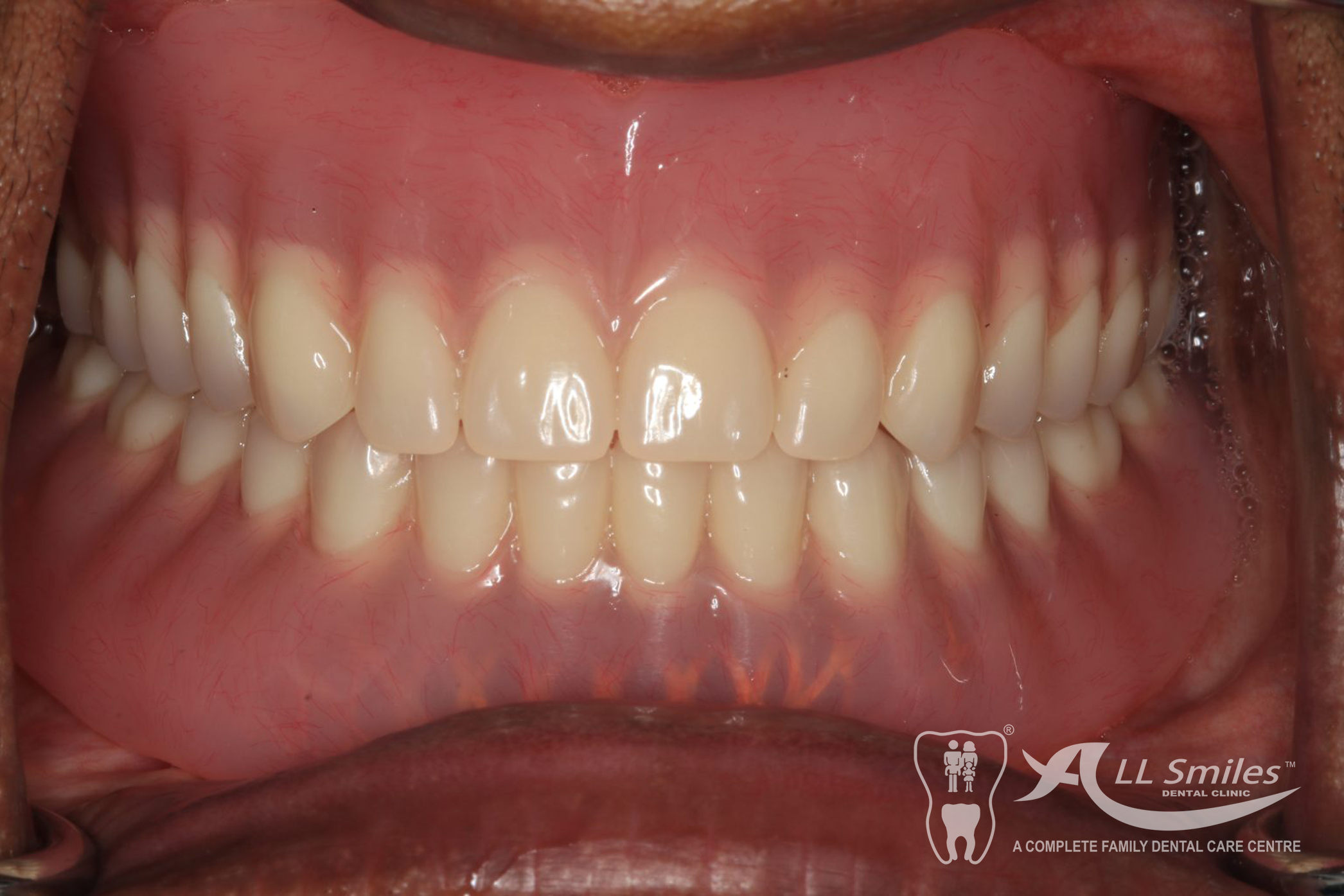
Complete Dentures: These are recommended when all of your natural teeth are missing. Complete dentures are custom-made to fit your mouth precisely, providing a natural-looking smile and restoring your ability to chew and speak effectively.
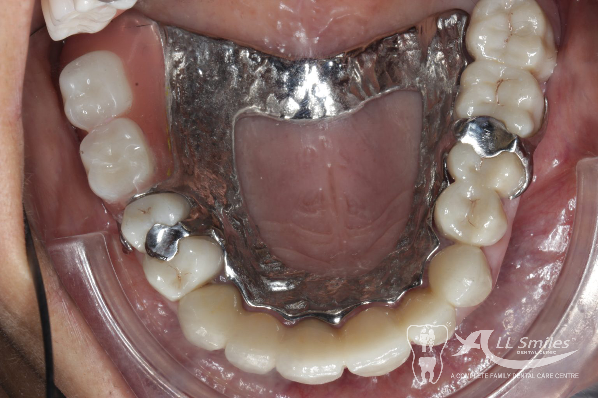
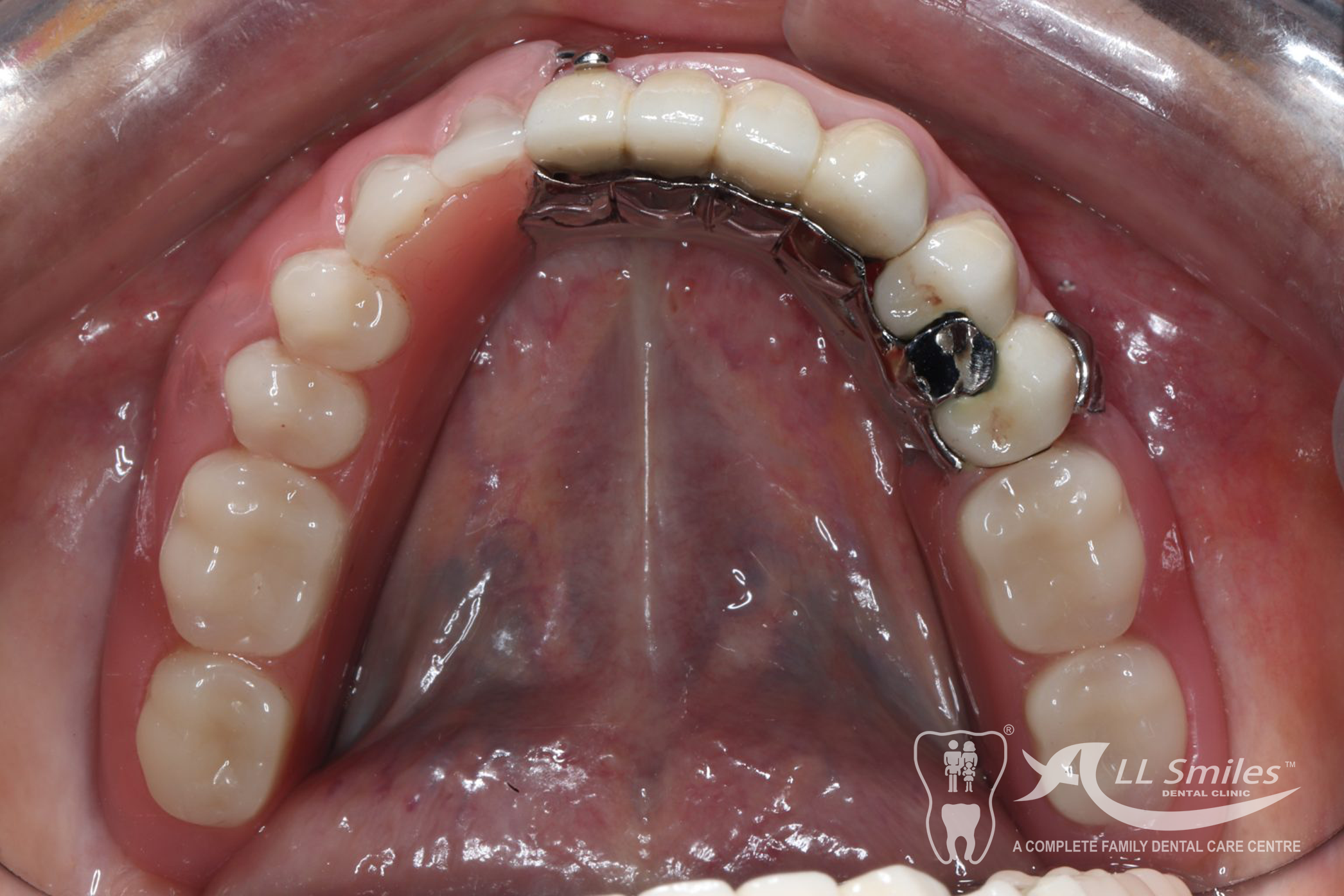
Cast Partial Dentures: If you still have some healthy natural teeth remaining, partial dentures may be the ideal choice for you. Partial dentures fill the gaps created by missing teeth, preventing neighbouring teeth from shifting and maintaining the alignment of your bite.
Implant-Supported Dentures: For patients seeking a more secure and permanent solution, we also offer implant-supported dentures. By anchoring the dentures to dental implants surgically placed in your jawbone, this option provides enhanced stability, improved biting force, and a more lifelike feel.
What to expect on your 1st dental visit:
We’ll conduct a thorough examination of your oral health, including your remaining teeth, gums, and jawbone structure. This assessment helps us determine the best denture option for you.
Based on the examination results and your preferences, we’ll create a personalized treatment plan tailored to your specific needs, ensuring optimal functionality and aesthetics.
Dentures Gallery






Frequently Asked Questions
It typically takes a few weeks for patients to adapt to wearing dentures. Initially, you may experience some discomfort or difficulty speaking and eating, but with time and practice, these issues usually resolve.
Proper denture care involves cleaning them daily using a denture brush and mild cleanser, soaking them overnight in a denture solution, and regularly visiting your dentist for adjustments and examinations.
Yes, dentures can significantly improve your ability to eat and speak. However, there may be an adjustment period as your mouth and muscles get accustomed to the new prosthetic.
Dentures are durable and can last several years with proper care. However, over time, they may need to be relined, rebased, or replaced to maintain a comfortable fit and optimal function.
In the beginning, dentures may cause some discomfort or sore spots as your mouth adjusts. It’s important to communicate any concerns to your dentist, who can make necessary adjustments to alleviate any discomfort.
It is generally recommended to remove your dentures while sleeping to give your gums and mouth a chance to rest. This also allows for proper cleaning and maintenance of the dentures.
No, dentures are not the only option for replacing missing teeth. Dental implants and dental bridges are alternative options that can provide a more permanent and stable solution depending on your specific dental needs.