Dental Implants at All Smiles Dental Clinic
"Naturally Invisible: Implants In Single Tooth Gaps!"
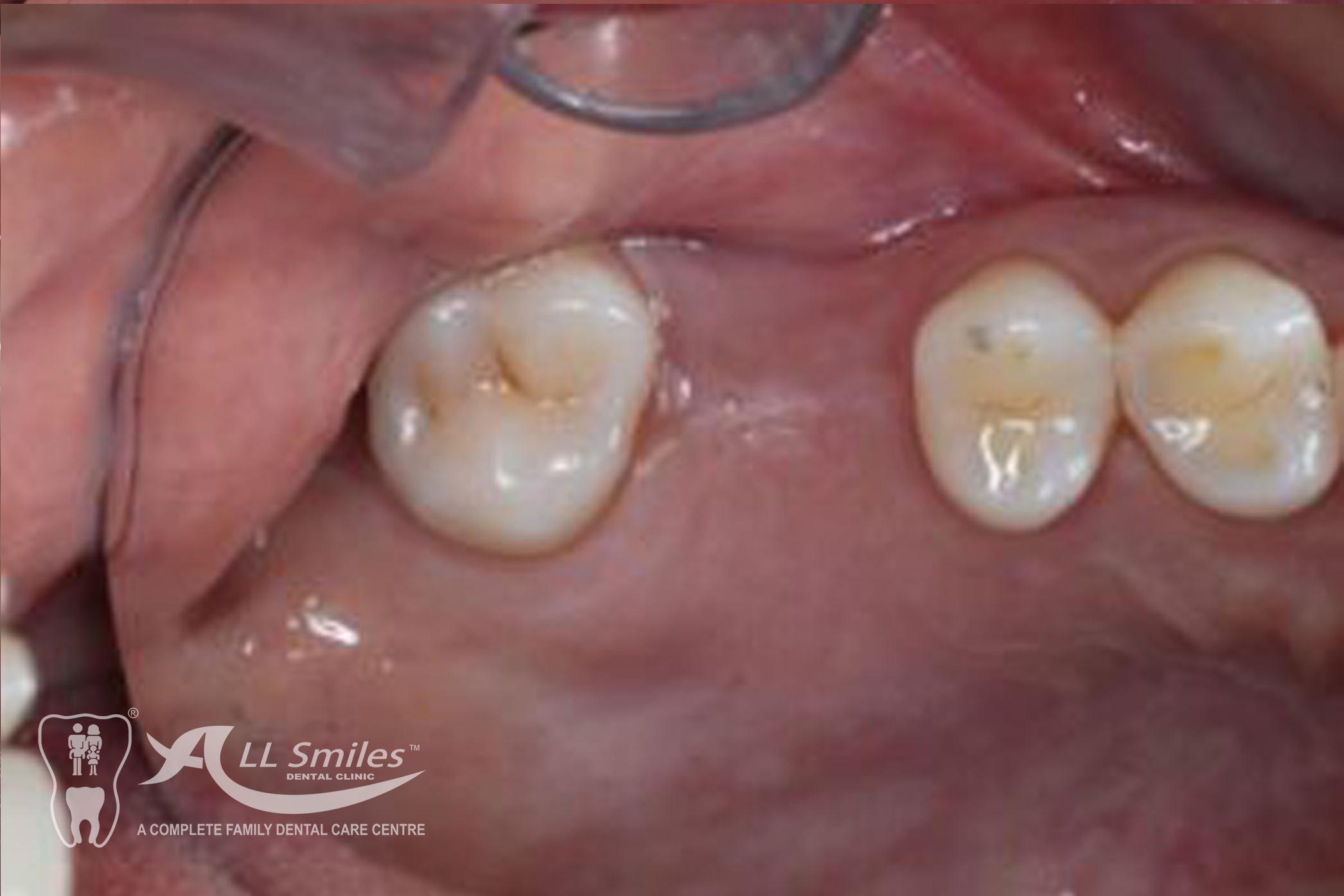
What are Dental Implants ?
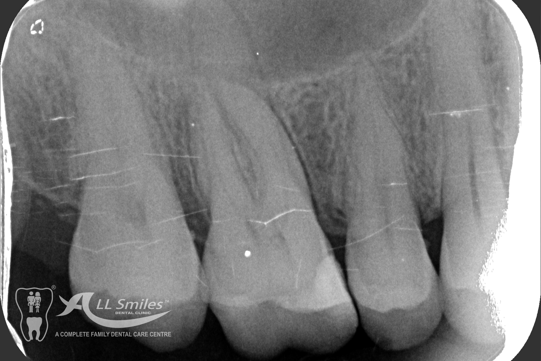
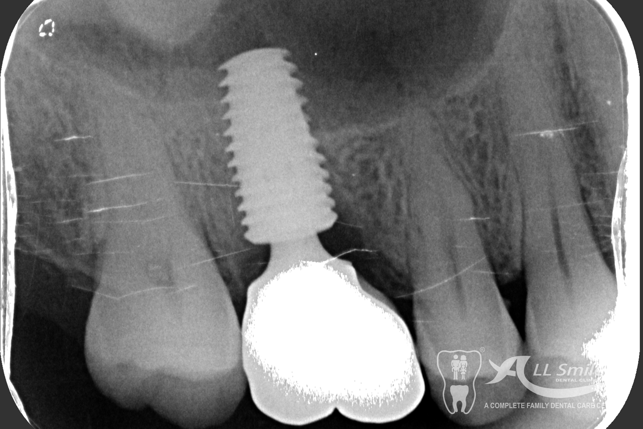
Anyone can lose a tooth. It often happens in seconds: playing sport and a tooth is gone, just like that. A shock , but no great drama any more. Implants resolve the small problem naturally and invisibly. We insert the small high-tech root at the position where the natural tooth was in the jaw.
This usually does not take any longer than any routine treatment. A temporary restoration closes the gap until the implant is healed. Then the final tooth crown is fixed in place – permanently . With the new root it is fixed firmly in the jaw and feels identical to your natural teeth.
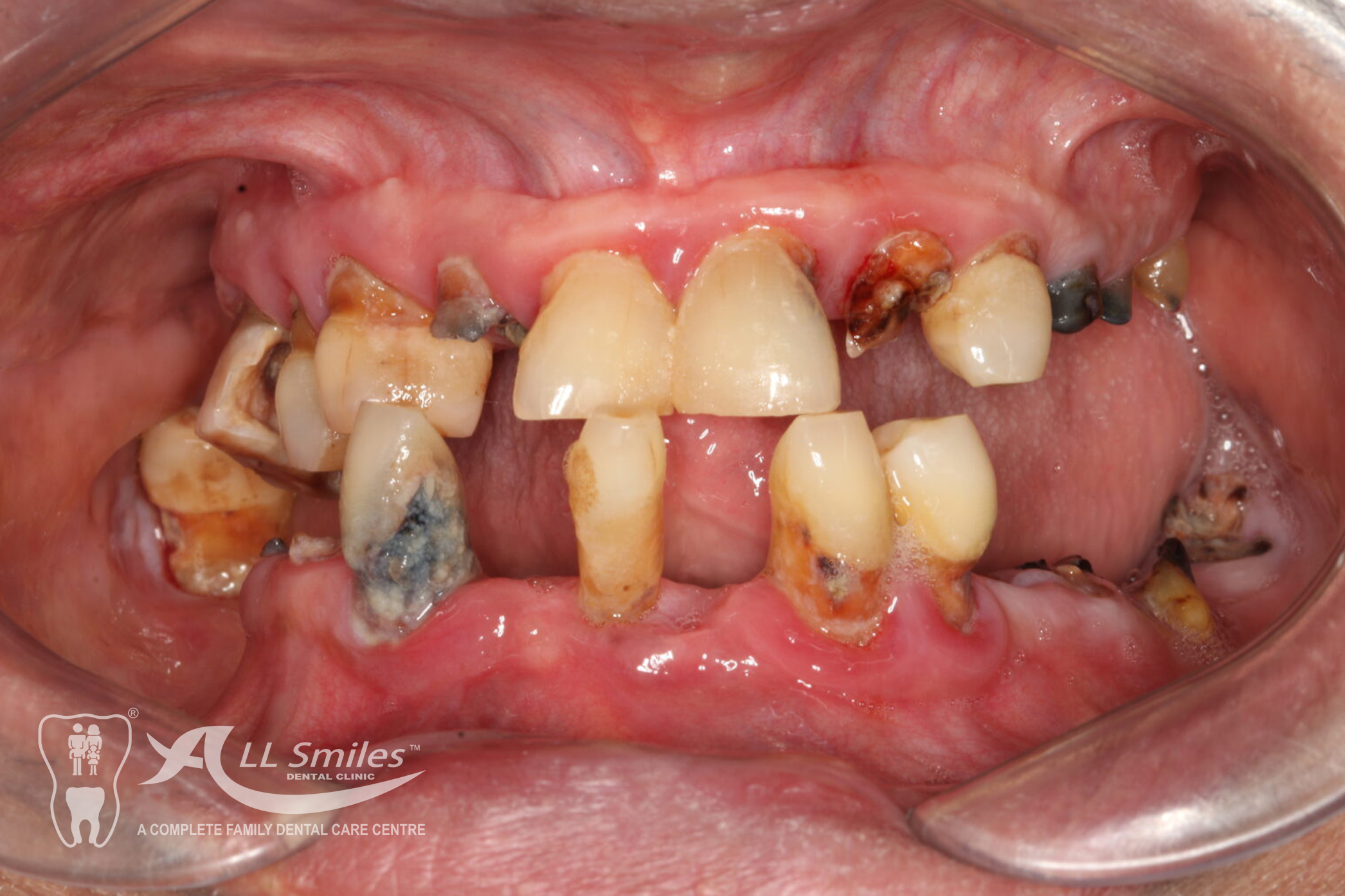
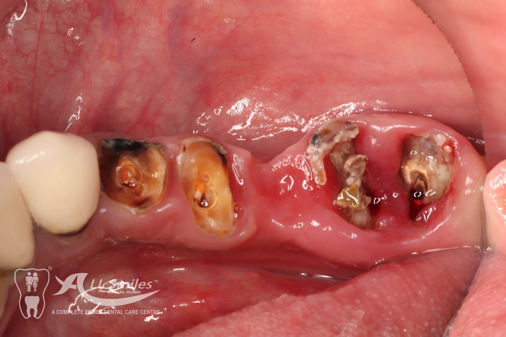
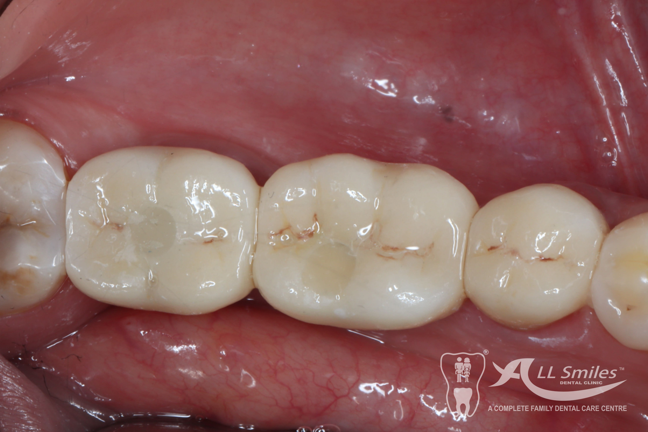
Implants For Multiple Missing or Broken Teeth Regardless of whether one or more teeth are missing in a row: Every tooth is individually replaced and the situation is restored to its original condition. If three or more teeth in a row are missing, you can decide to have an implant- borne bridge. In this solution the new crowns are linked together and depending on the size of the gap are placed on a stable and secure base of two or more implants .
After precise planning the new tooth roots are generally placed in the jaw in one single treatment session. A temporary denture closes the gaps during the healing phase. After healing the final crowns or the bridge are permanently fixed to the implants. Life With Bite! Dental Implants For The Edentulous Jaw.
Dental Implants at All Smiles Dental Clinic
"Naturally Invisible:
Implants In Single Tooth
Gaps!"
Successful tooth implant procedures require a foundation of healthy bone and gums. Before starting an implant procedure, we’ll assess your health and work with you to create a plan to resolve gum disease or other issues. Expect your first visit to take about 90 minutes and include an exam, x-rays, thorough cleaning, and plenty of time to speak with your dentist.
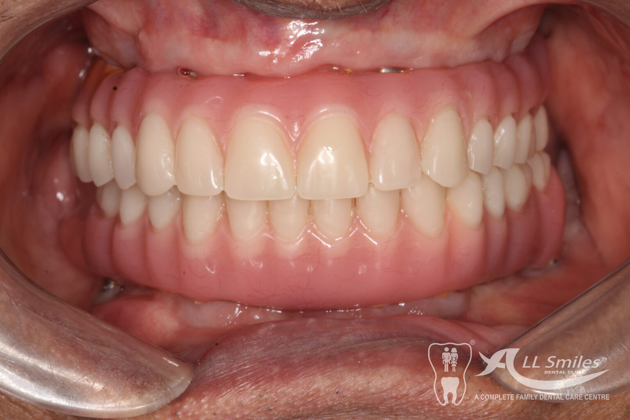
Do you have no teeth at all in your upper or lower jaw?
You will still be able to laugh with dental implants. As few as two to four new roots will be enough to provide a firm base for a full denture. A bridge can be fixed to six implants. This will give you a high degree of security in every situation because nothing can come loose unexpectedly. No more embarrassing surprises.
You will still be able to laugh with dental implants. As few as two to four new roots will be enough to provide a firm base for a full denture. A bridge can be fixed to six implants. This will give you a high degree of security in every situation because nothing can come loose unexpectedly. No more embarrassing surprises.
- Implant Supported Overdenture: Your full denture is attached to the implants with a special Retainer system, which consist of two components. One component is permanently attached to the implant , its counterpart is part of the denture. The components click together just like pressing a button. Your denture is firmly attached . For cleaning the denture can be easily removed and just as easily replaced after cleaning.
- All on 4 or All on 6: A bridge can be permanently anchored to 4 or 6 implants in your jaw. The Implants for each arch are placed in a single appointment. It is often possible to fix the provisional denture to the new roots at the same time implants are placed in the jaw. You come to the appointment in the practice and leave few hours later with firmly fixed, beautiful teeth. After the healing phase this is replaced by the permanent ceramic or acrylic prosthesis.
A shock , but no great drama any more. Implants resolve the small problem naturally and invisibly. We insert the small high-tech root at the position where the natural tooth was in the jaw.
This usually does not take any longer than any routine treatment. A temporary restoration closes the gap until the implant is healed. Then the final tooth crown is fixed in place – permanently . With the new root it is fixed firmly in the jaw and feels identical to your natural teeth.

After precise planning the new tooth roots are generally placed in the jaw in one single treatment session. A temporary denture closes the gaps during the healing phase. After healing the final crowns or the bridge are permanently fixed to the implants.

Do you have no teeth at all in your upper or lower jaw?
You will still be able to laugh with dental implants. As few as two to four new roots will be enough to provide a firm base for a full denture. A bridge can be fixed to six implants. This will give you a high degree of security in every situation because nothing can come loose unexpectedly. No more embarrassing surprises.
Your full denture is attached to the implants with a special Retainer system, which consist of two components. One component is permanently attached to the implant , its counterpart is part of the denture. The components click together just like pressing a button. Your denture is firmly attached . For cleaning the denture can be easily removed and just as easily replaced after cleaning.

A bridge can be permanently anchored to 4 or 6 implants in your jaw. The Implants for each arch are placed in a single appointment. It is often possible to fix the provisional denture to the new roots at the same time implants are placed in the jaw. You come to the appointment in the practice and leave few hours later with firmly fixed, beautiful teeth. After the healing phase this is replaced by the permanent ceramic or acrylic prosthesis.

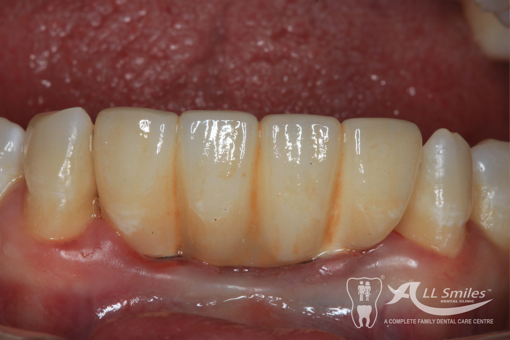
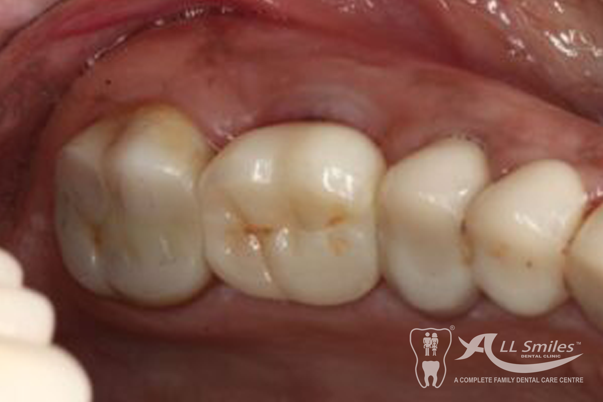
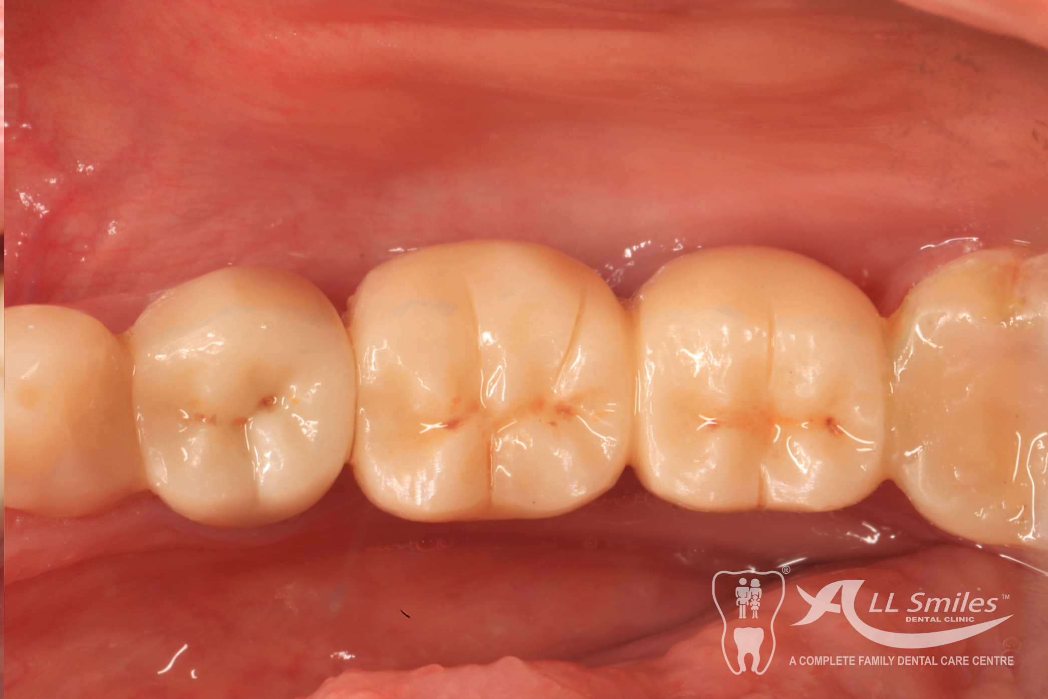
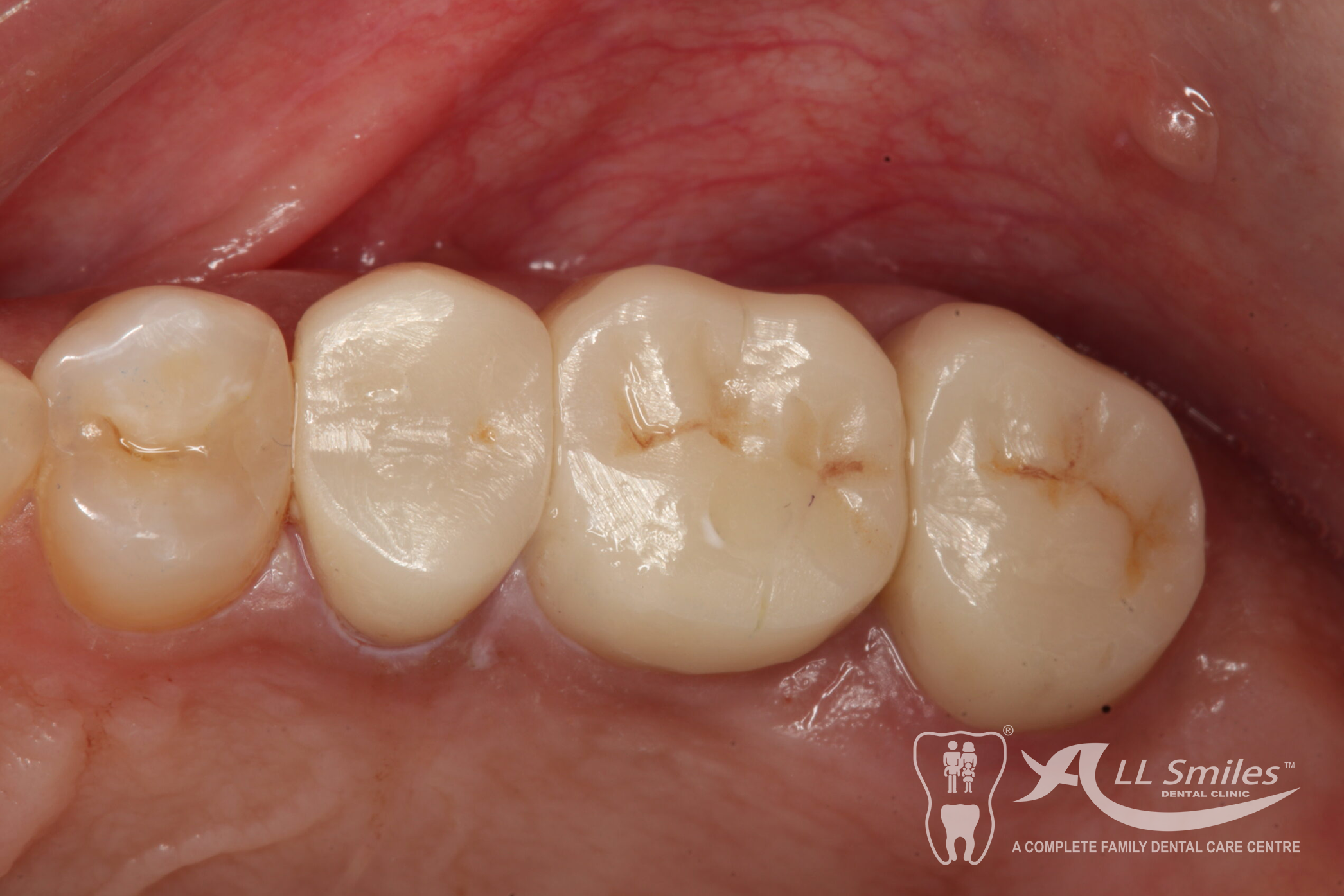
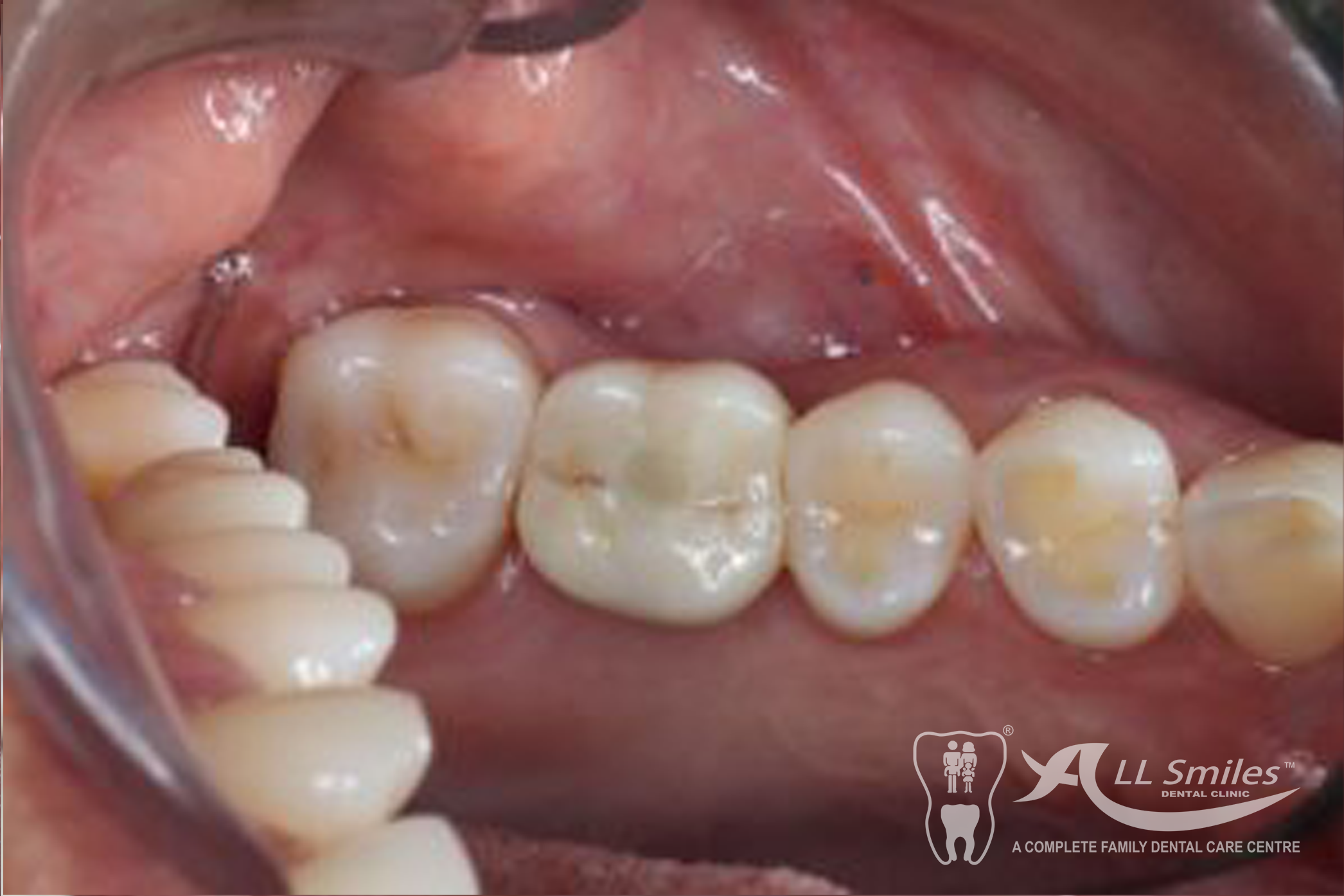
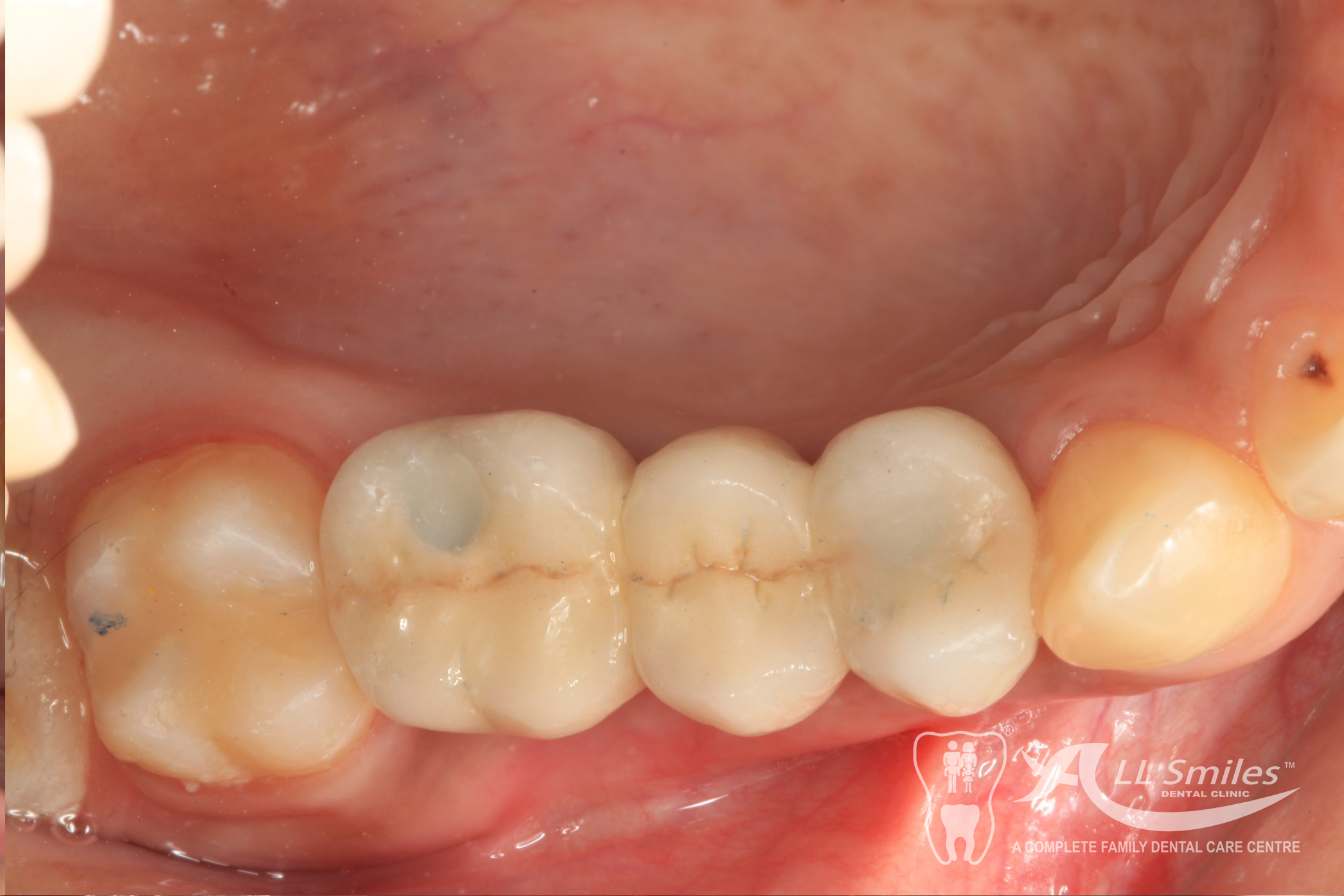
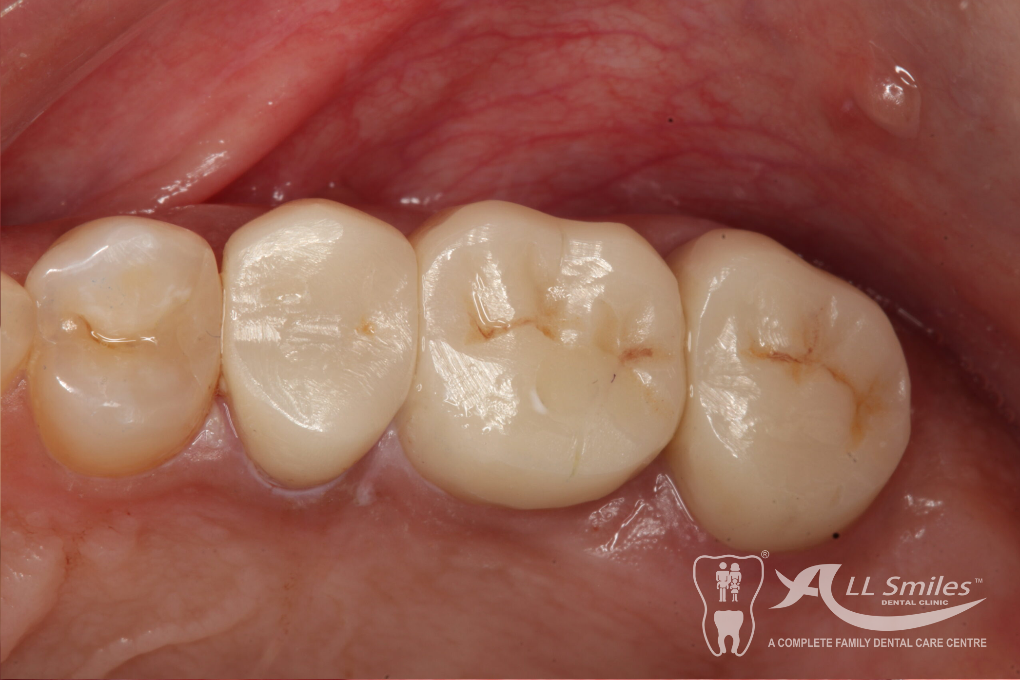
Dental Implants Gallery


















What are Dental Implants ?
Frequently Asked Questions
Dental implants can last for many years even upto a lifetime with proper care, maintenance and regular dental check-ups.
The dental implant procedure is divided into stages. The first stage involves the placement of the implant into the jawbone, which usually takes 1-2 hours. After this, there is a healing period of 6-8 weeks during which the implant fuses with the surrounding bone tissue. Once the implant has healed, a small connector called an abutment is attached to the implant, followed by the attachment of a dental crown, bridge, or denture.
The implant procedure is performed under local anesthesia, which numbs the area and prevents pain during the procedure. After the procedure, some discomfort and swelling are common, but this can usually be managed with over-the-counter pain medication and ice packs.
Dental implants require good oral hygiene habits to maintain their health and longevity. This includes brushing twice a day, flossing daily, using an antimicrobial mouthwash and periodic follow-ups.
Dental implants provide a stable and durable solution for missing teeth that can improve your ability to eat, speak, and smile with confidence. They also help to preserve the surrounding bone tissue and prevent further tooth loss, and they look and feel natural, similar to your natural teeth.