Teeth Whitening at All Smiles Dental Clinic
"Rebuild your Smile,
Rebuild your Confidence."
Keep your teeth as healthy as possible for aslong as possible...
Teeth Whitening at All Smiles Dental Clinic
"Rebuild your Smile,
Rebuild your Confidence."
Keep your teeth as healthy as possible for as
long as possible...
What is Teeth Whitening ?
Teeth whitening is a popular cosmetic dental procedure that can remove stains and discolorations from the teeth, leaving them brighter and whiter. While it is a safe and effective procedure, there are many myths and misconceptions surrounding teeth whitening.
Advantages of teeth whitening:
- Improves the appearance of the teeth and smile.
- Boosts self-confidence and self-esteem.
- Enhances professional and social opportunities.
- Safe and effective procedure when performed by a qualified dental professional.
- Can improve overall oral health by removing surface stains and reducing the risk of dental decay and gum disease.
Post-operative care after teeth whitening:
- Avoid consuming staining foods and drinks such as coffee, tea, red wine, and dark-colored fruits for at least 48 hours after the procedure.
- Brush and floss your teeth regularly to maintain good oral hygiene.
- Use a desensitizing toothpaste or gel if you experience tooth sensitivity after the procedure.
- Schedule regular dental checkups and cleanings to maintain the results of the procedure.
- Consider touch-up treatments to maintain the whiteness of your teeth over time.
In summary, teeth whitening is a safe and effective cosmetic dental procedure that can improve the appearance of the teeth and boost self-confidence. It is important to consult with a qualified dental professional to ensure that the procedure is performed safely and correctly, and to follow proper post-operative care to maintain the results.
On the first visit of teeth whitening, you can expect a thorough examination of your teeth, discussion of your desired outcome, and possibly the creation of custom trays or application of in-office whitening gel.
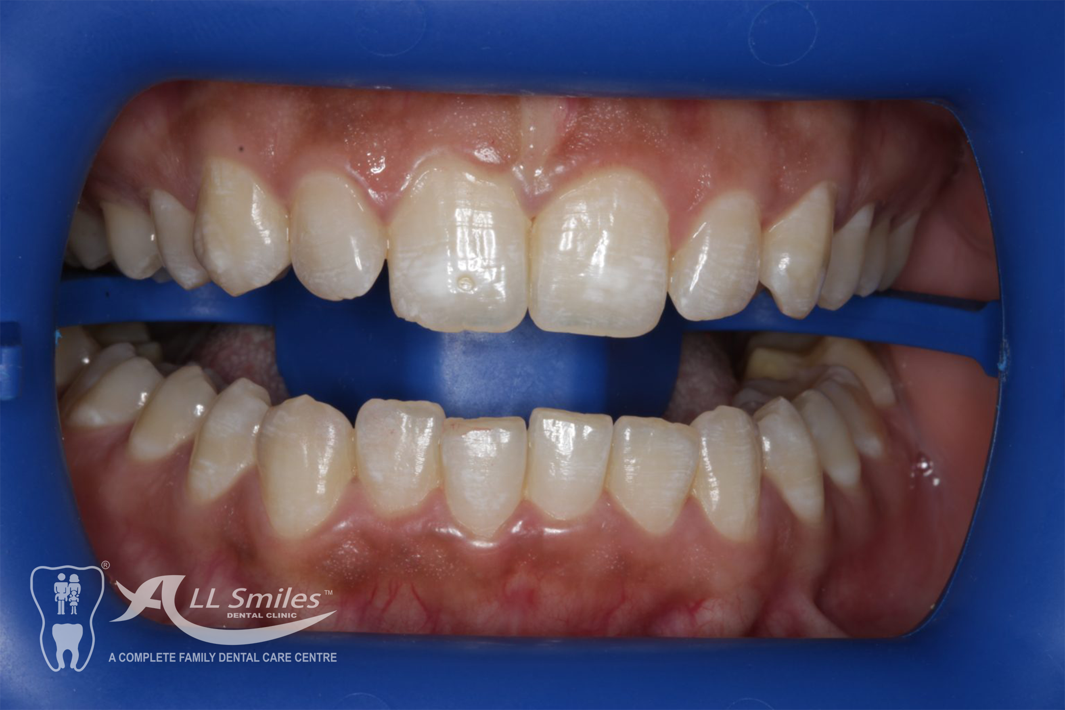
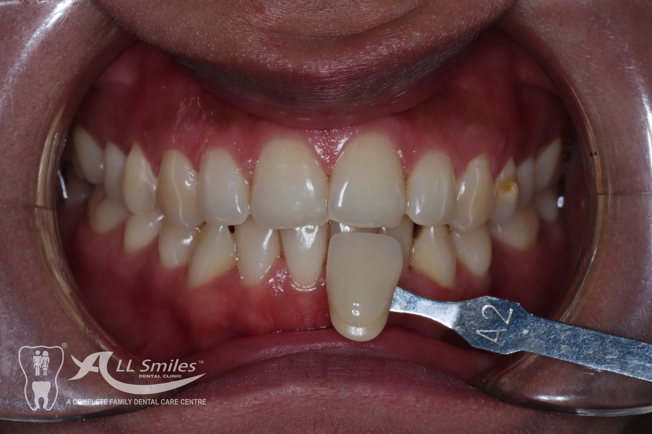
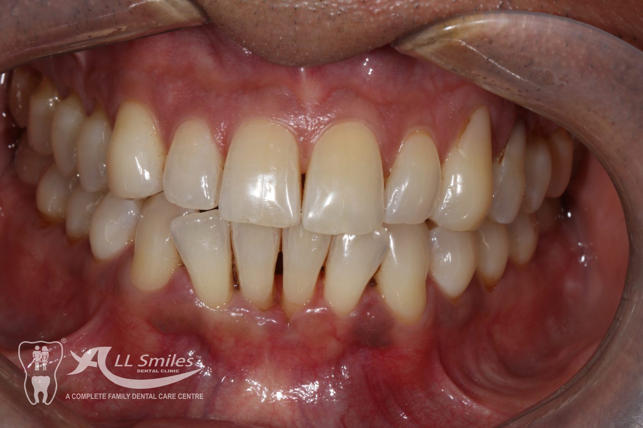
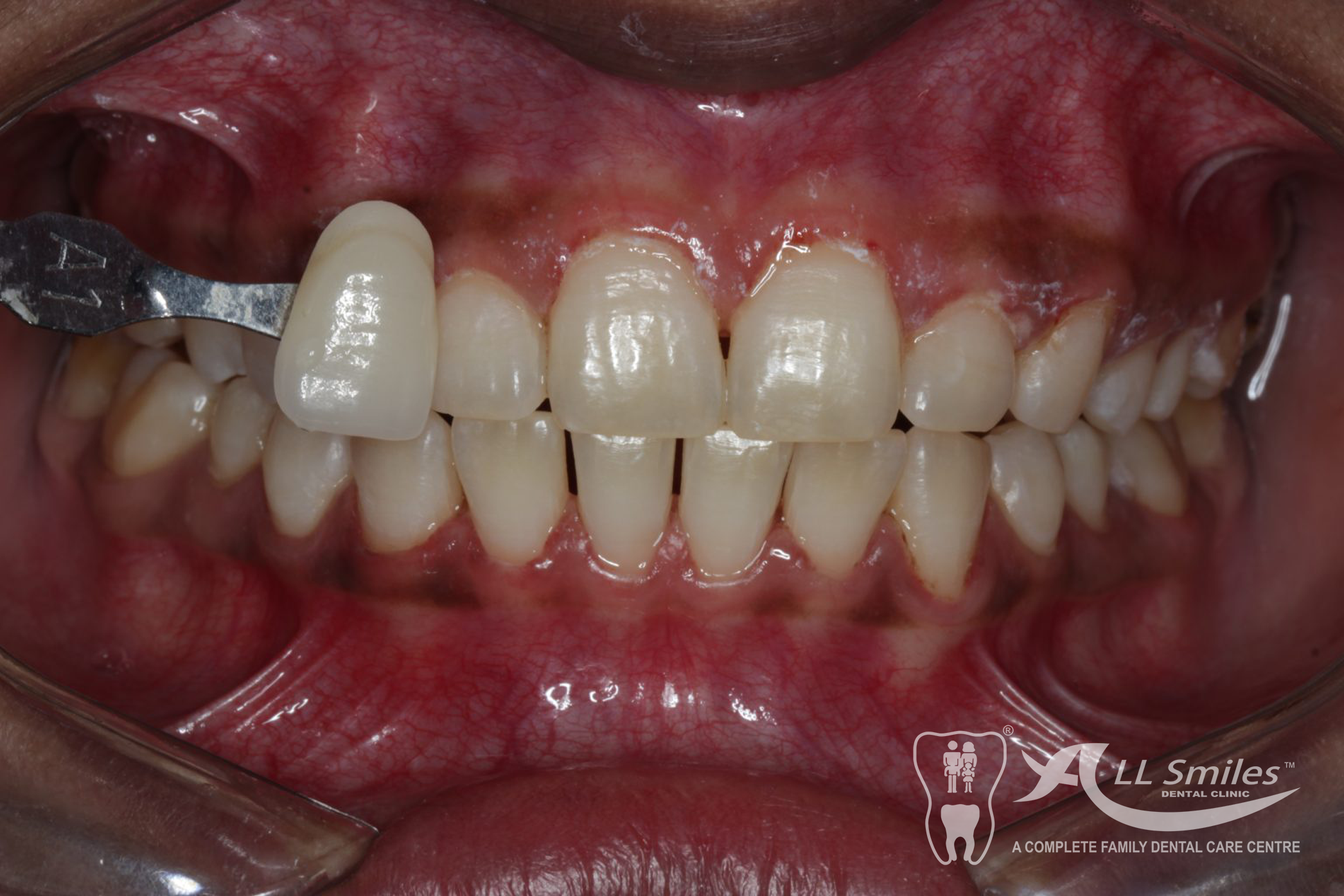
Teeth Whitening Gallery








Frequently Asked Questions
Teeth whitening is a safe and effective procedure when performed by a qualified dental professional. It does not damage the enamel or weaken the teeth.
Some people may experience temporary tooth sensitivity after teeth whitening, but this usually goes away within a few days.
Teeth whitening is not a permanent solution and the results can fade over time. However, the results can last for several months to a few years with proper oral care and maintenance.
Over-the-counter teeth whitening products may be less effective than professional teeth whitening procedures and can also be more damaging to the teeth if not used correctly.