Oral Prophylaxis at All Smiles Dental Clinic
"Healthy teeth and gums for life start right here at All Smiles"
2x a year is all it takes.
Oral Prophylaxis at All Smiles Dental Clinic
"Healthy teeth and gums for
life start right here at
All Smiles"
2x a year is all it takes.
What is Teeth Cleaning ?
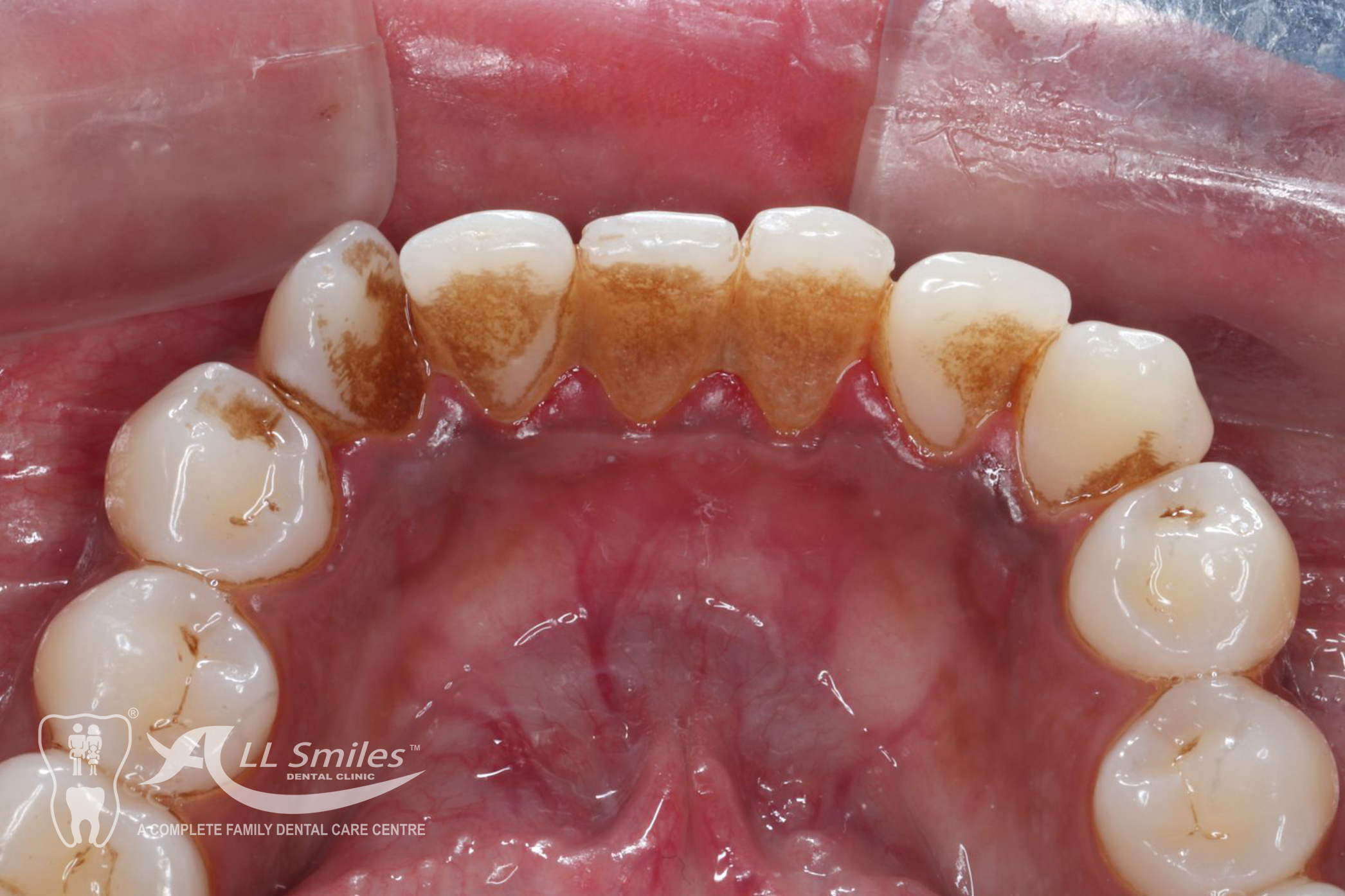
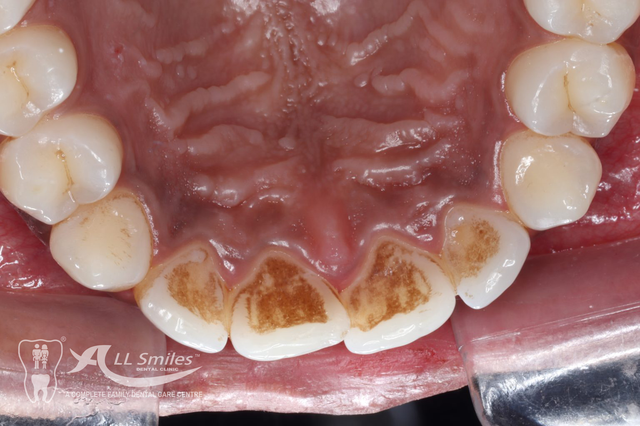
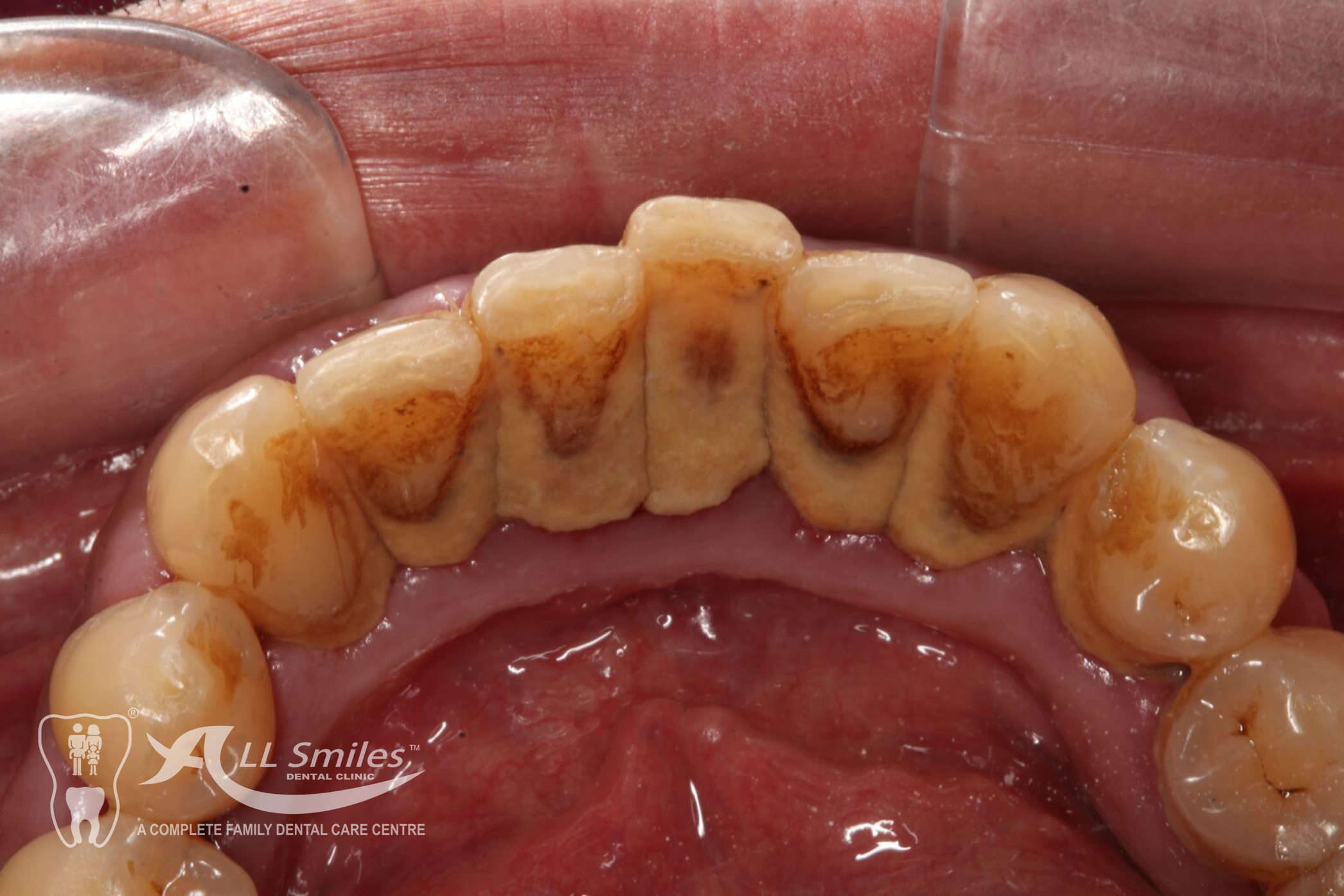
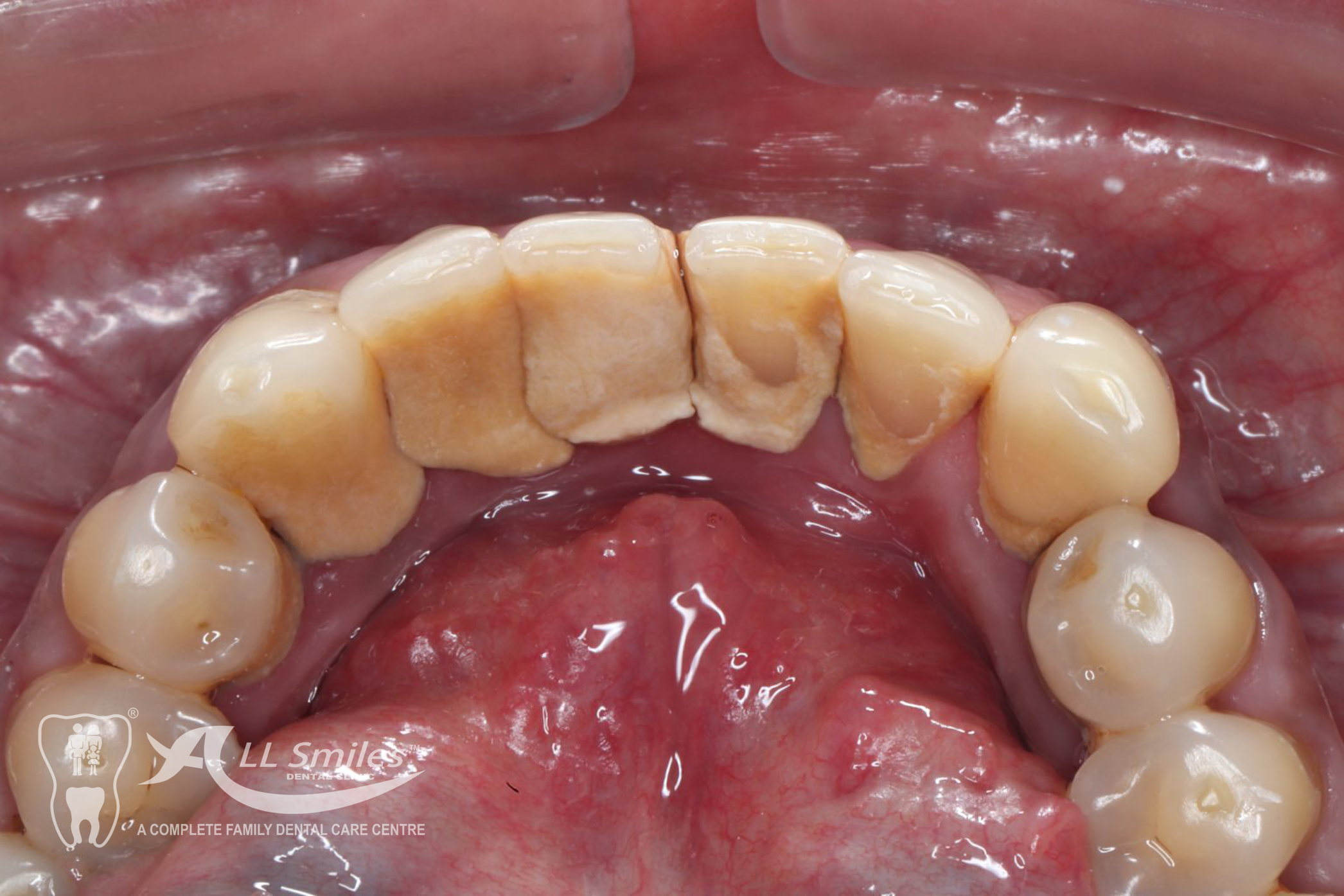
Oral prophylaxis, also known as dental cleaning, is a preventive dental procedure performed by dental professionals to remove plaque, tartar, and stains from the teeth and gumline.
Benefits of Teeth Cleaning
Removes plaque, tartar, and stains to prevent tooth decay, gum disease, and oral health problems.
Reduces the risk of cavities, gingivitis, and periodontal disease.
Eliminates sources of bad breath caused by plaque, food particles, and bacteria.
Removes stains, resulting in a brighter, whiter smile.
Allows for the identification of dental problems at an early stage for prompt treatment.
Prevents severe dental issues that may require costly treatments in the future.
Provides guidance on proper oral hygiene techniques and personalized recommendations.
What to Expect on your First Visit?
Your first dental cleaning and exam will take about 90 minutes from start to finish. This will allow us plenty of time to get to know you, learn about your dental health history, and answer any questions you have. The cleaning visit is an opportunity for professional care and guidance to help keep your teeth and gums healthy. Get your cleaning done once every 6 months
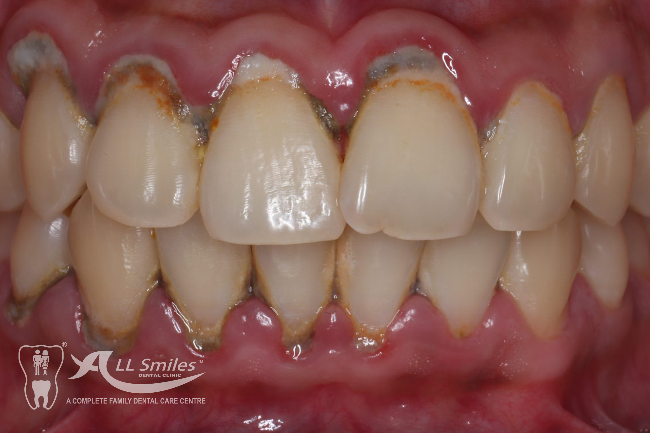
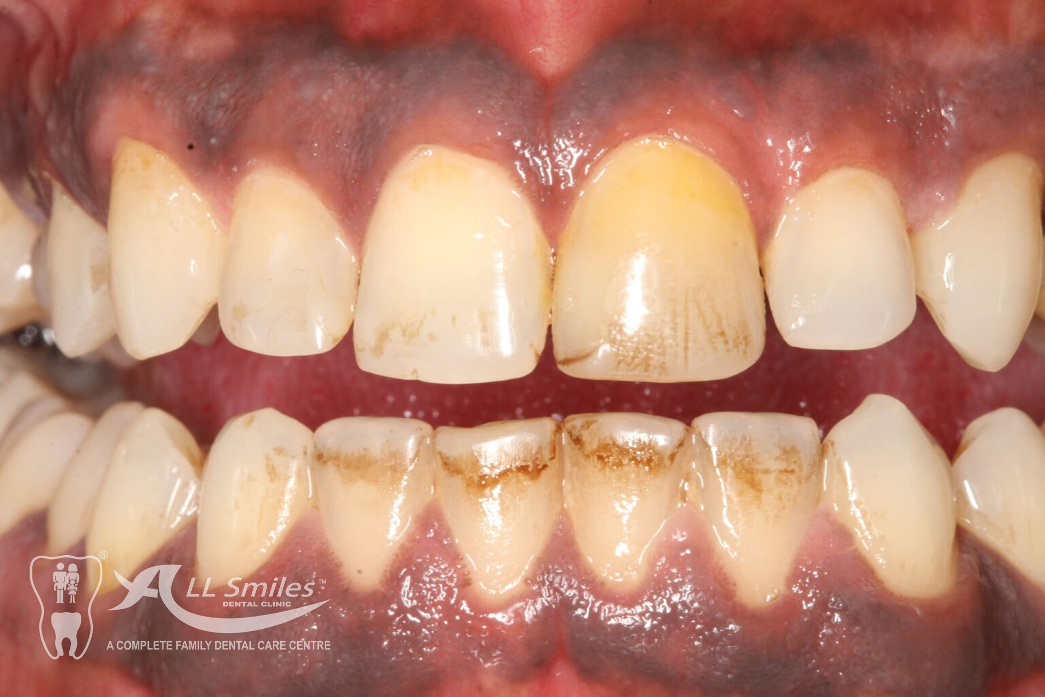
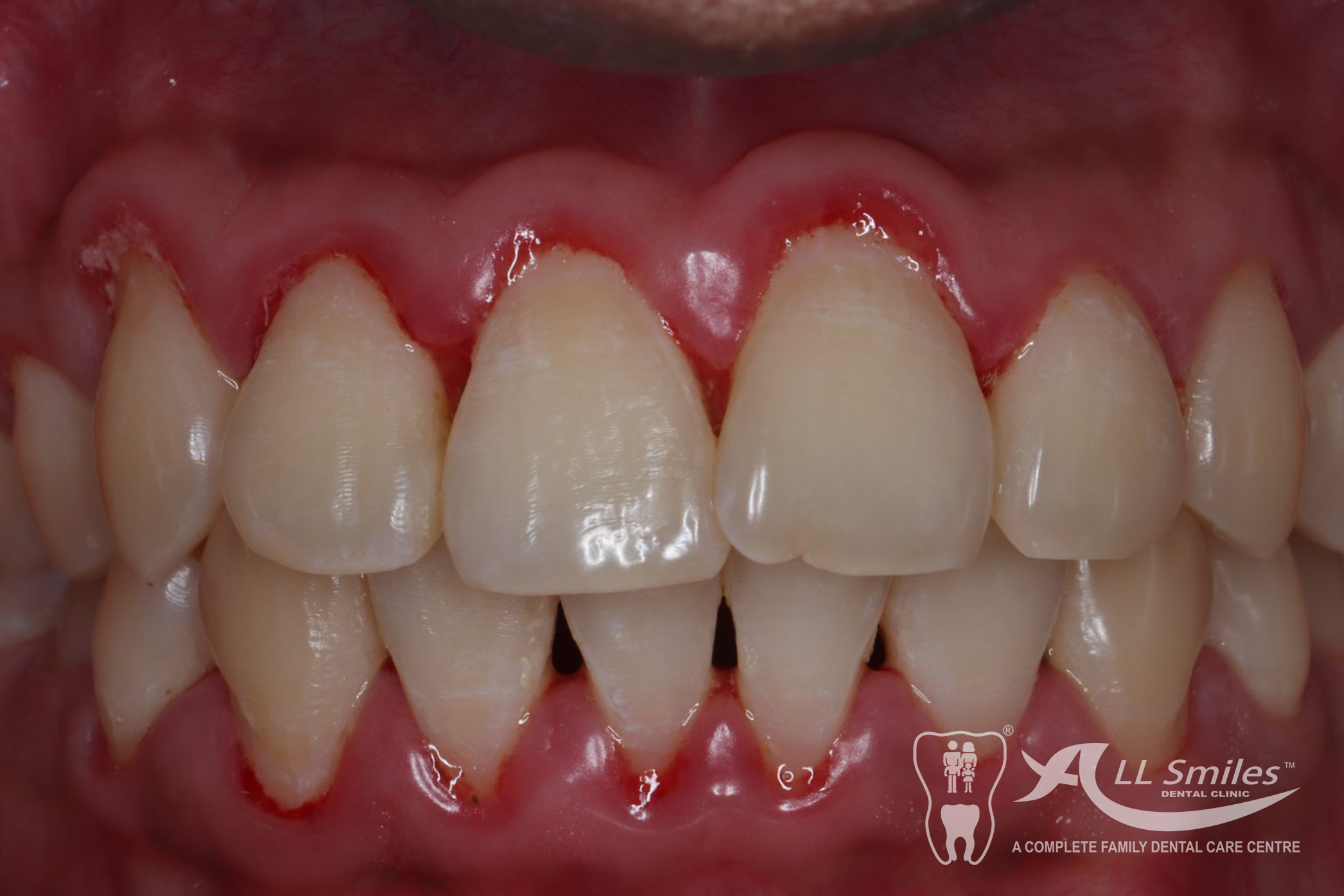
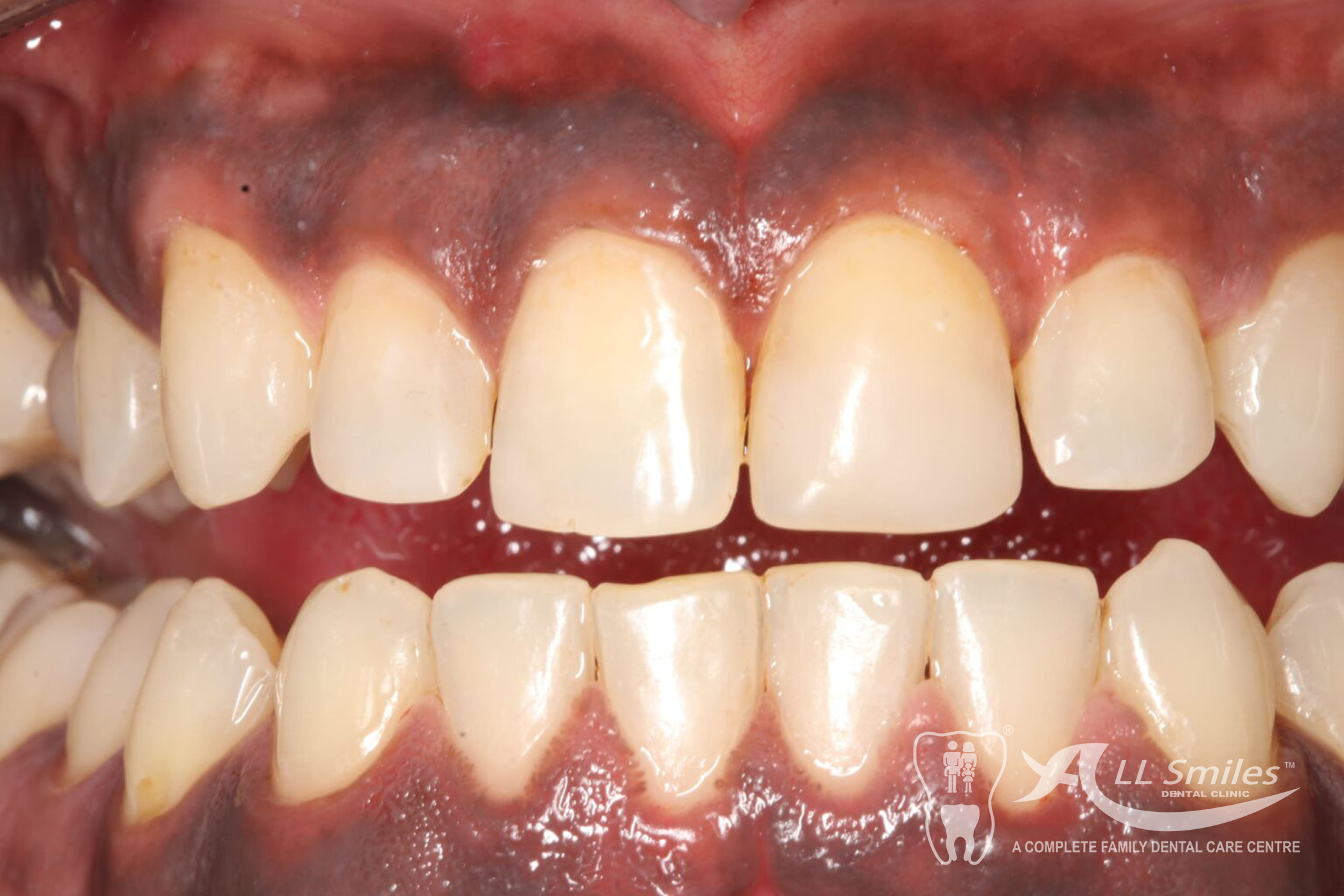
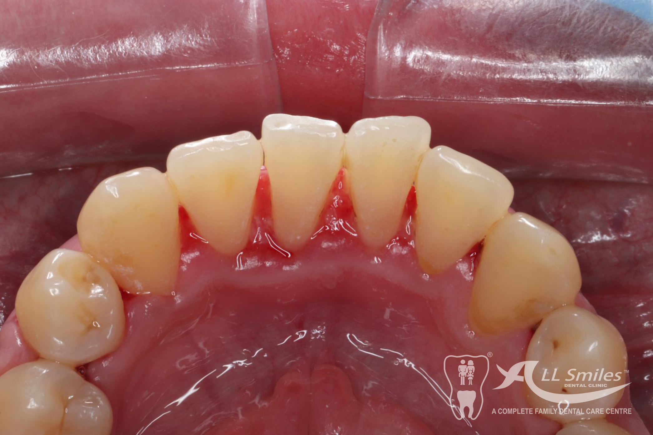
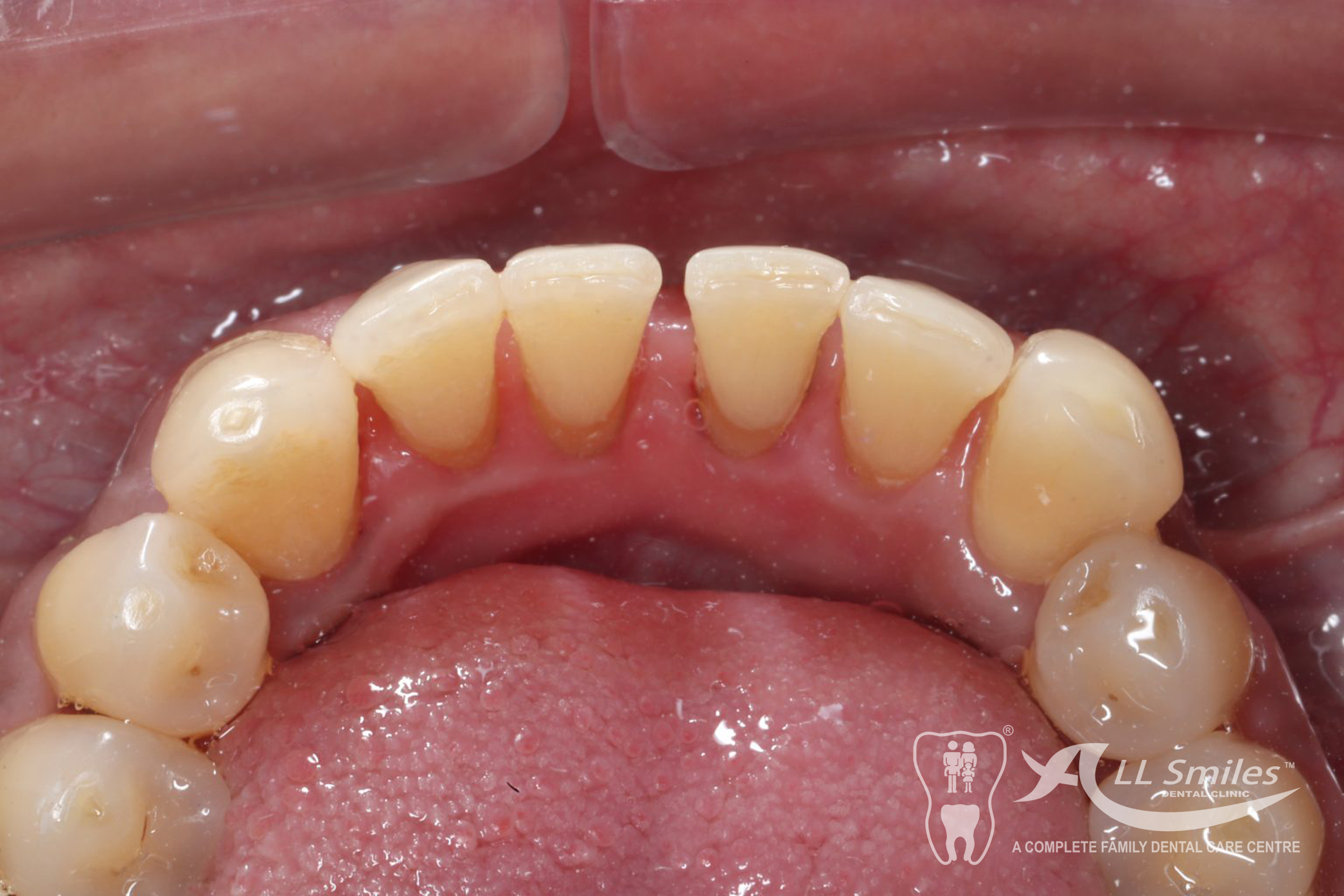
Oral Prophylaxis Gallery












Frequently Asked Questions
The frequency of oral prophylaxis depends on your individual oral health needs. Most dentists recommend getting a dental cleaning every six months, but some individuals may require more frequent cleanings based on their oral condition and risk factors.
Oral prophylaxis is generally a painless procedure. However, some individuals with sensitive teeth or gum disease may experience slight discomfort or sensitivity during the cleaning process. Dental professionals use techniques and instruments to minimize any potential discomfort.
The duration of an oral prophylaxis appointment can vary depending on factors such as the extent of plaque and tartar buildup, the presence of stains, and the overall oral health of the patient. Typically, a dental cleaning takes around 30 minutes to an hour.
Oral prophylaxis offers several benefits, including the prevention of dental issues such as tooth decay and gum disease, improved oral health, fresher breath, enhanced aesthetic appearance, early detection of dental problems, and cost-effectiveness in the long run.
While oral prophylaxis can remove surface stains and make your teeth appear brighter, it is not a teeth whitening procedure. If you’re looking for a significant change in tooth color, you may want to consider professional teeth whitening treatments that specifically target tooth discoloration.
Many dental insurance plans cover oral prophylaxis as a preventive service. However, the coverage may vary depending on your specific insurance plan. It’s recommended to check with your dental insurance provider to understand your coverage and any associated costs.
While regular brushing and flossing are essential for maintaining oral hygiene, professional oral prophylaxis cannot be fully replicated at home. Dental professionals have specialized tools and techniques to remove hardened plaque (tartar) effectively. It’s important to visit a dentist or dental hygienist for a thorough cleaning.