Aligner at All Smiles Dental Clinic
"It’s a good time to straighten your smile!"
Clear aligners — a clear option for straighter teeth
What are Aligners?
Welcome to our Dental Clinic! We are excited to introduce our cutting-edge aligner treatment, designed to help you achieve the beautiful and confident smile you’ve always dreamed of. Our aligner therapy offers a convenient, comfortable, and discreet alternative to traditional braces, allowing you to straighten your teeth with minimal impact on your daily life.
At our clinic you will get to experience the magic of Invisalign Aligners which are the most popular and widely recognized aligners globally. Along with that we also work with Illusion Aligners.
| Modern Aligners | Traditional Braces | |
|---|---|---|
| Aesthetic / Invisible | ||
| Removable | ||
| Comfort | ||
| Faster Treatment | ||
| Food Restrictions | ||
| Oral Hygiene | ||
| Age |
Few Steps to A Healthy & Confident Smile
EVALUATION
We will take your Intraoral 3D Scan, photos, X-rays and conduct a thorough examination
VIRTUAL SET UP
A Customized treatment plan will be created to determine precise movement of your teeth and the duration of your treatment
ALIGNER DELIVERY
We will deliver your Customized set of Aligners & you can smile from the 1st day of your treatment with no hassle of metal braces
FOLLOW UP
Follow up visits every once in 2 months to evaluate the desired results of the treatment
What to Expect on your First Aligners Visit?
Our Orthodontist will evaluate your overall dental health, including your teeth, gums, jaw, bite, and any existing restorations, using various diagnostic tools such as X-rays, impressions/scans, and photographs. We will ask you about your dental concerns, goals, and preferences to customize a treatment plan specific to your needs.
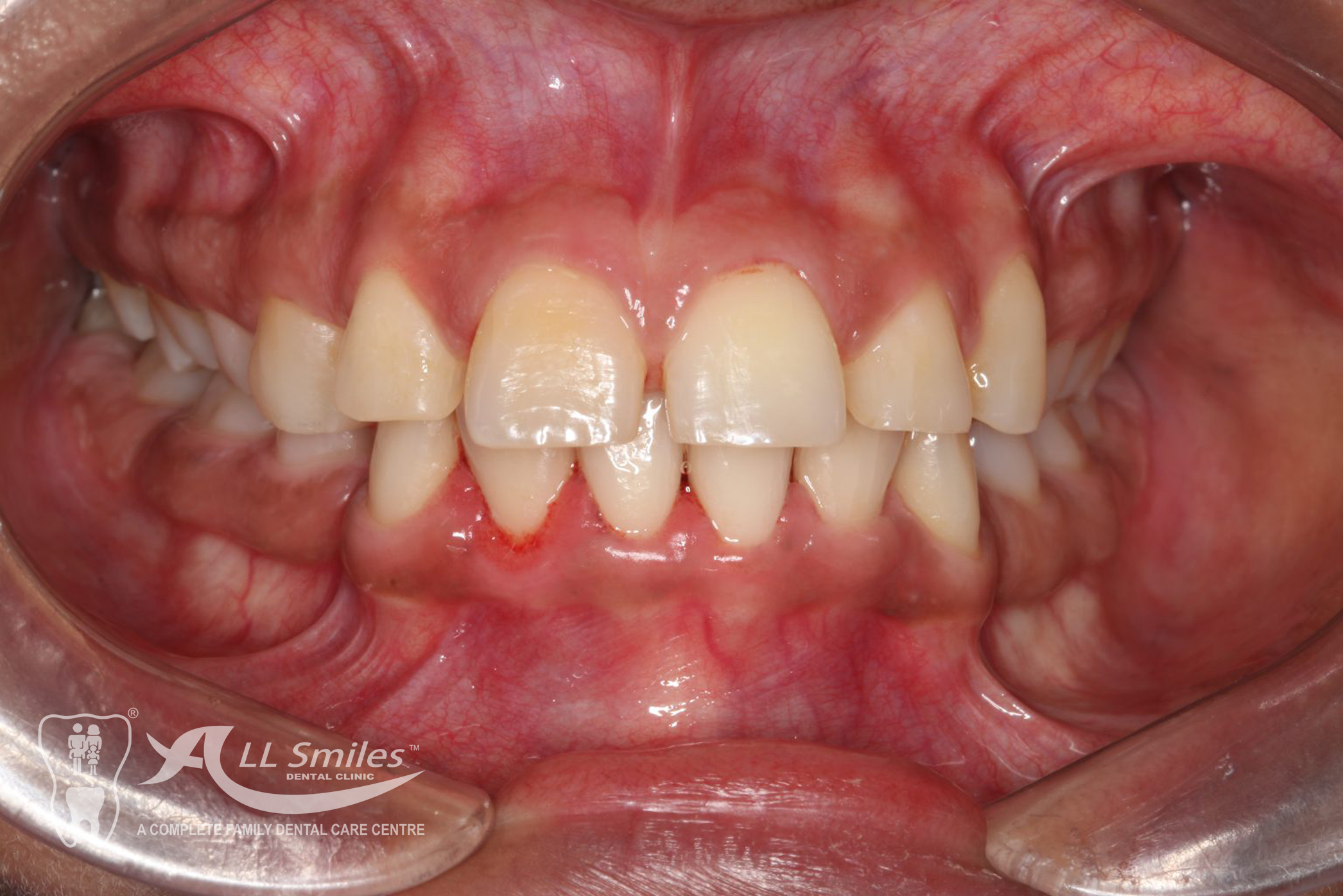
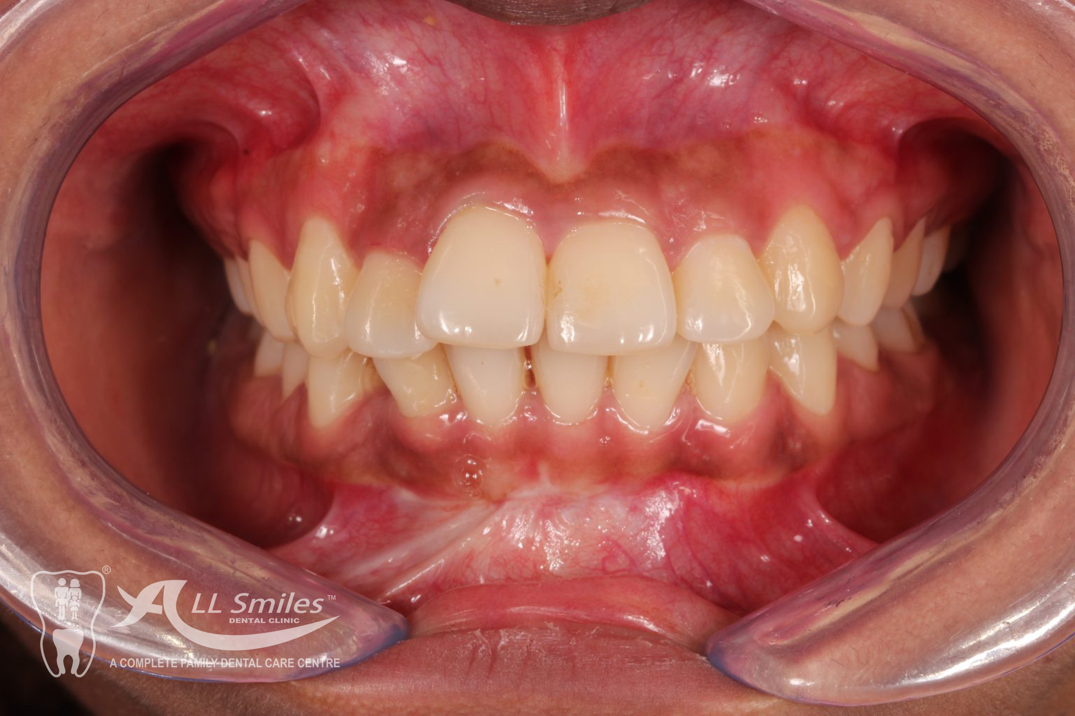
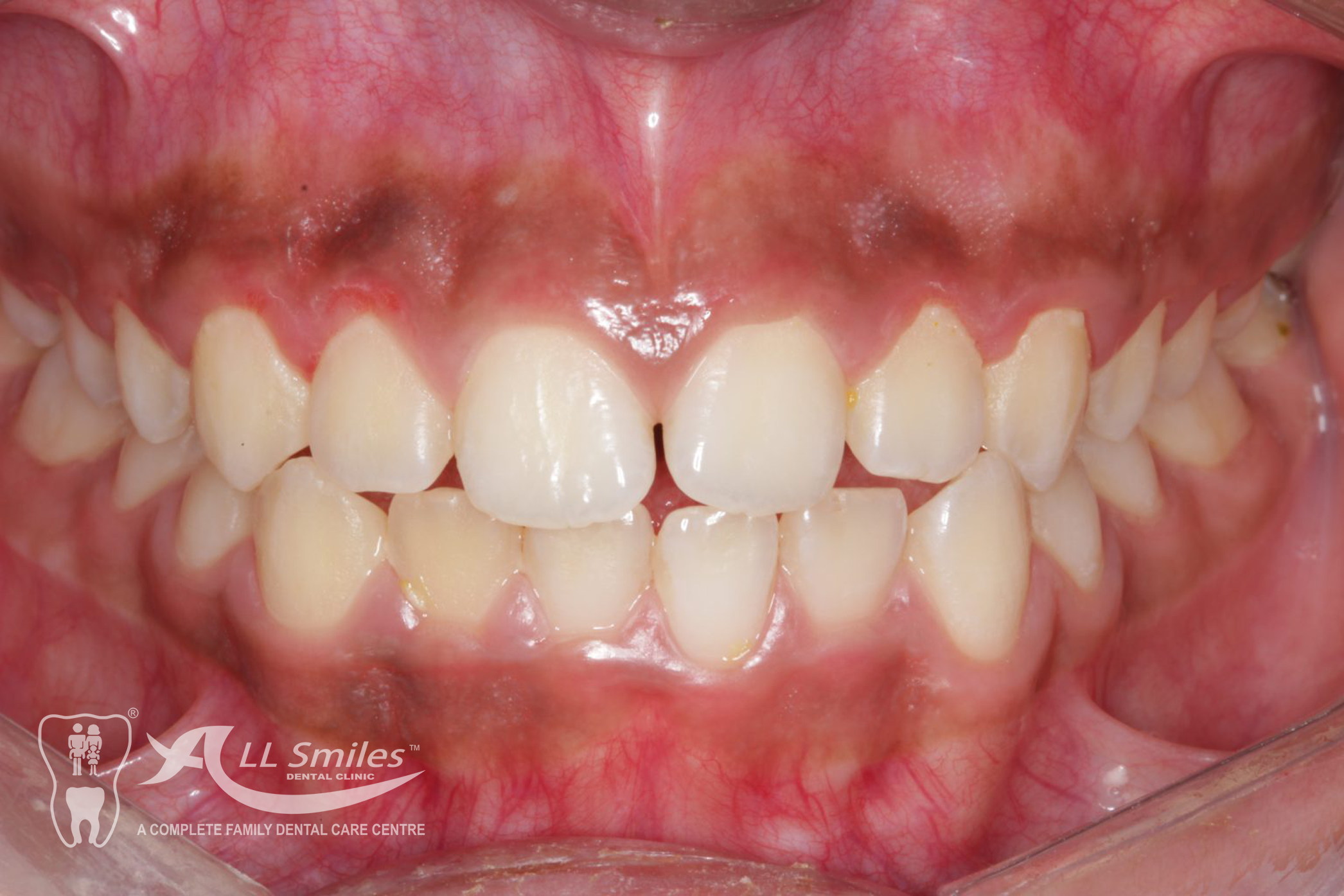
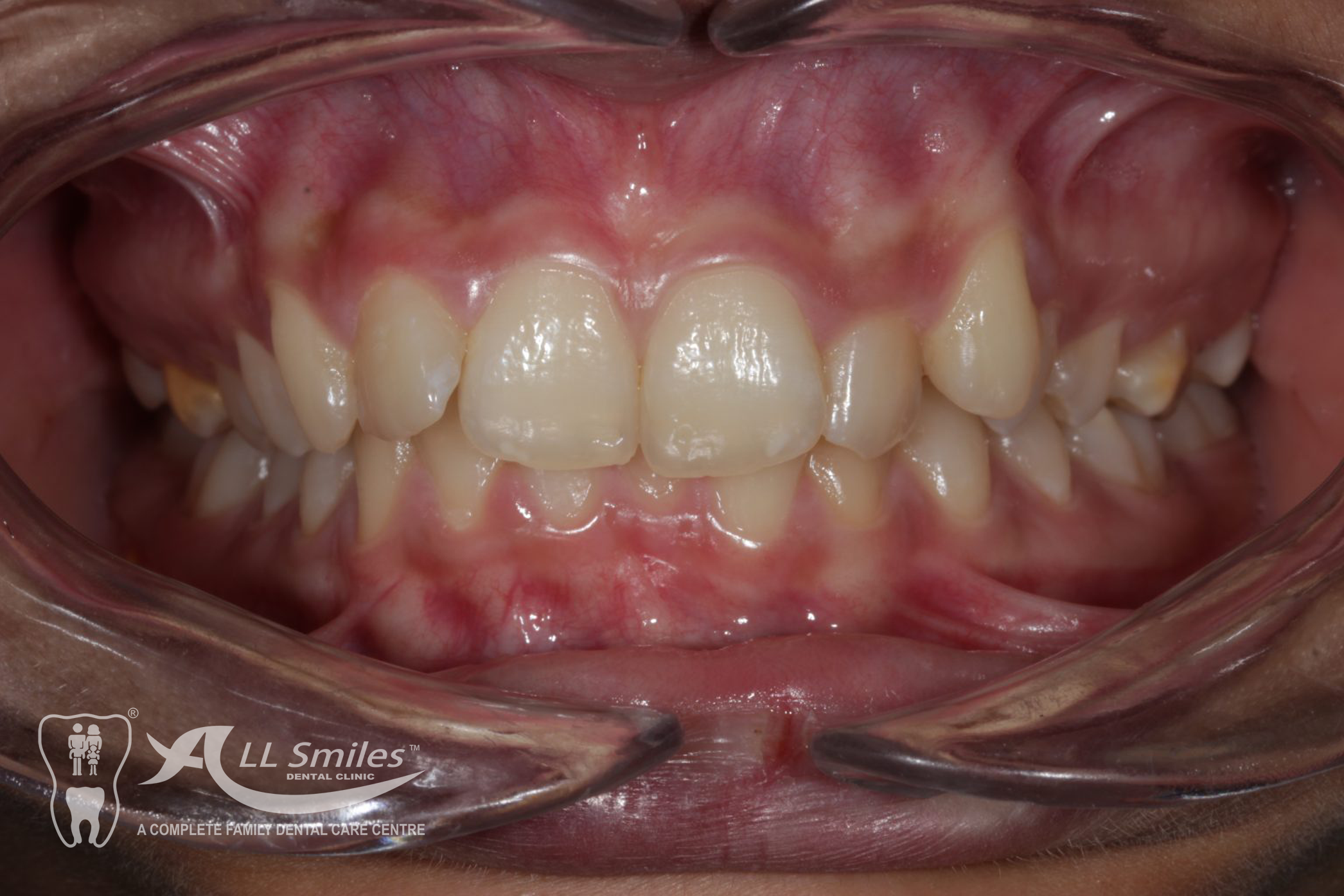
Aligner Gallery






Frequently Asked Questions
Aligners are made of a transparent, BPA-free plastic material. This material is smooth, comfortable to wear, and virtually invisible when worn on the teeth.
Aligners work by applying gentle, controlled forces to gradually shift your teeth into their desired position. Each set of aligners is worn for a specified period, typically one to two weeks, before progressing to the next set. Over time, this process helps move your teeth into alignment.
Aligners are effective for treating a wide range of orthodontic issues, including crowding, spacing, and mild to moderate bite irregularities. However, severe or complex cases may require alternative orthodontic treatments. During your initial examination, our orthodontist will evaluate your specific situation and recommend the most suitable treatment options.
The duration of aligner treatment varies depending on the complexity of your orthodontic issues and your individual response to treatment. In many cases, treatment with aligners can be completed in several months to a year. Our orthodontist will provide you with an estimated treatment timeline based on your unique needs.
Most patients experience mild discomfort or pressure for a few days after starting a new set of aligners. This is a normal sign that the aligners are working to move your teeth. However, the discomfort is generally minor and typically subsides quickly. Over-the-counter pain relievers can help alleviate any discomfort.
Aligners should be worn for 20 to 22 hours a day, removing them only when eating, drinking (except for water), brushing, and flossing. Consistent and full-time aligner wear is crucial to achieving optimal results within the estimated treatment timeframe.
No, it is recommended to remove your aligners before eating or drinking anything other than water. This prevents damage to the aligners and allows you to enjoy your favourite foods without restrictions. It’s important to brush your teeth before reinserting the aligners to maintain good oral hygiene.
The frequency of dental visits may vary depending on your treatment plan and progress. Typically, patients have check-up appointments every 6 to 8 weeks to monitor their progress, receive new sets of aligners, and address any concerns or adjustments that may be needed.
Aligners should be cleaned regularly to maintain their clarity and hygiene. Rinse them with lukewarm water and gently brush them using a soft-bristle toothbrush to remove any plaque or debris. Avoid using hot water or toothpaste, as they can damage the aligners. Specialized aligner cleaning solutions or mild denture cleaners can also be used as recommended by your dentist.