Full Mouth Rehabilitation at All Smiles Dental Clinic
"Rebuild your smile, rebuild your confidence."
Keep your teeth as healthy as possible for as long as possible
What is Full Mouth Rehabilitation ?
Full mouth rehabilitation, also known as full mouth reconstruction, is a comprehensive dental treatment plan that involves rebuilding or restoring all of the teeth in both the upper and lower jaws. It is often used to address a variety of dental problems, including tooth decay, gum disease, bite problems, missing teeth, and worn or damaged teeth.
The process of full mouth rehabilitation typically involves a thorough evaluation of the patient’s oral health and the development of a customized treatment plan based on the individual’s needs and goals. The treatment plan may include a combination of restorative procedures such as dental implants, bridges, crowns, veneers, and orthodontic treatment.
The duration of the full mouth rehabilitation process may vary depending on the extent of the dental issues being addressed and the specific treatments being performed. It may take several appointments over a month or few months.
You can expect to achieve a significantly improved appearance and function of your teeth and enjoy a healthier and more comfortable smile.
Your First Visit….
The first appointment for full mouth reconstruction is usually a consultation, and you can expect the following:
Evaluation of your dental health: Your dentist will evaluate your overall dental health, including your teeth, gums, jaw, bite, and any existing restorations, using various diagnostic tools such as X-rays, impressions/scans, and photographs. Your dentist will ask you about your dental concerns, goals, and preferences. Based on your dental evaluation and your goals, your dentist will develop a customized treatment plan that outlines the recommended procedures, timeline, and cost of the full mouth reconstruction.
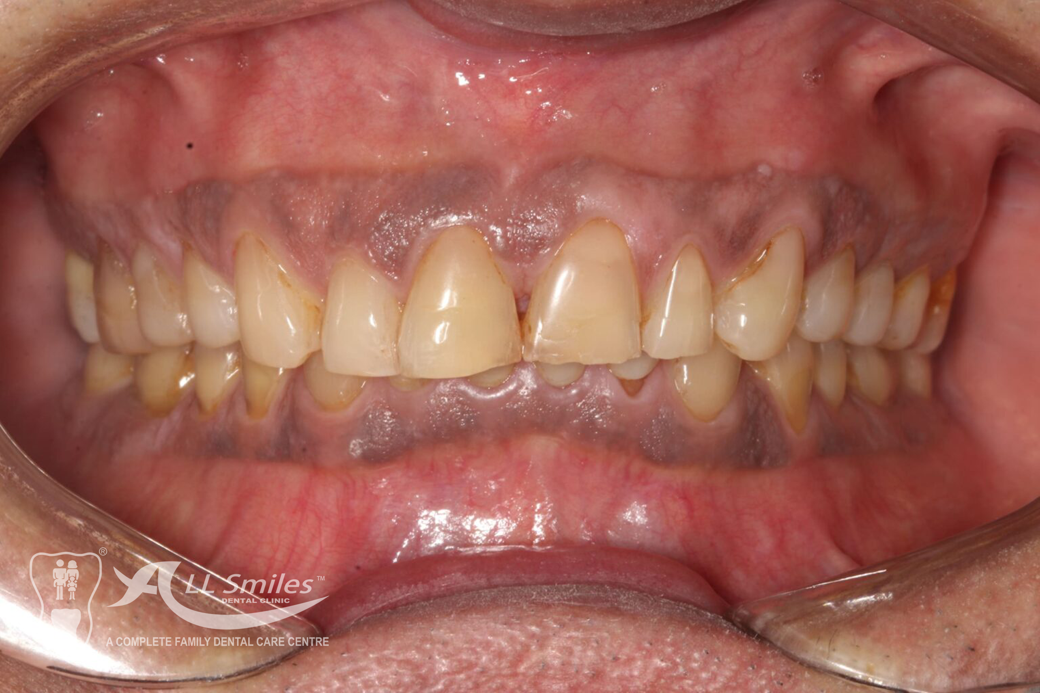
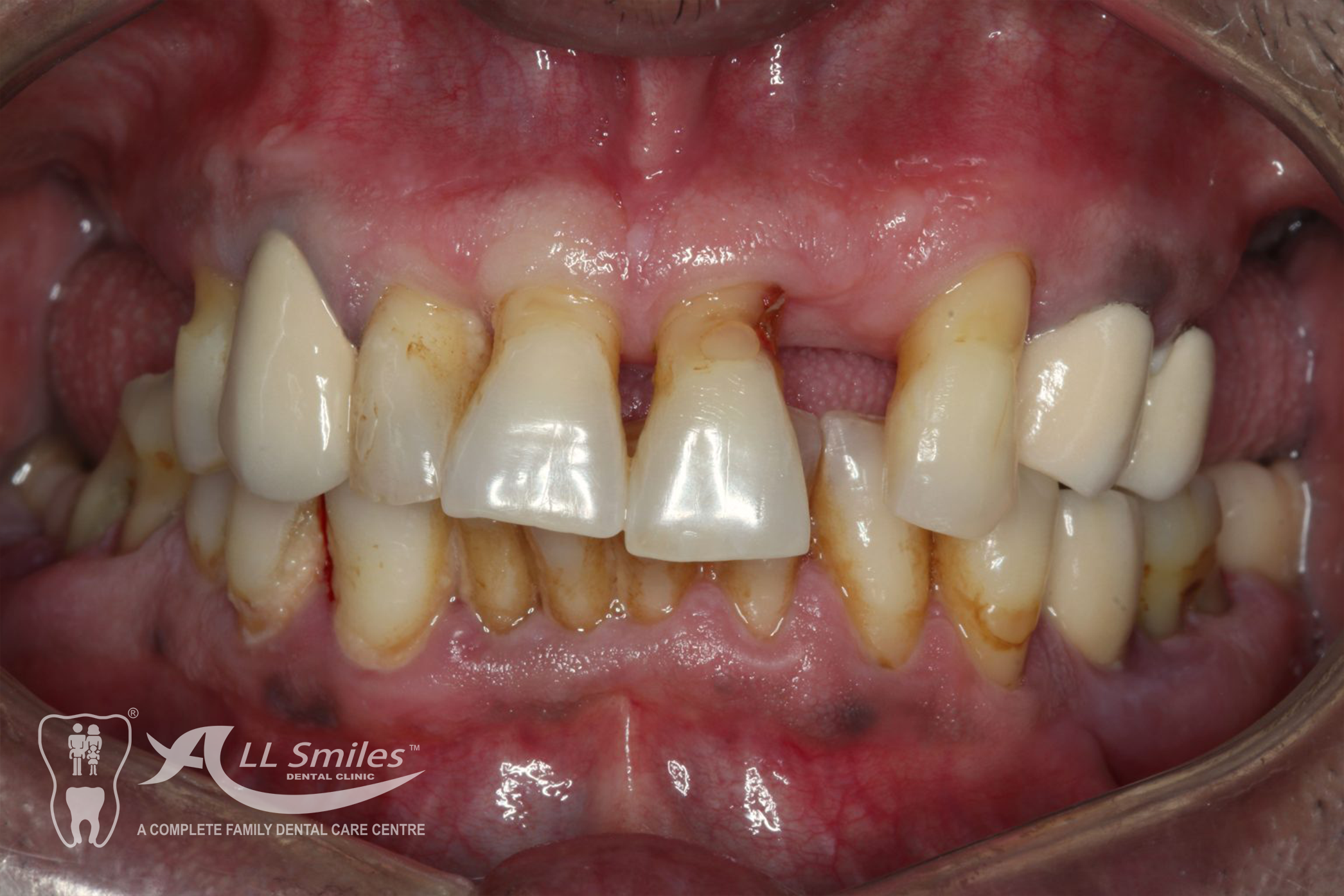
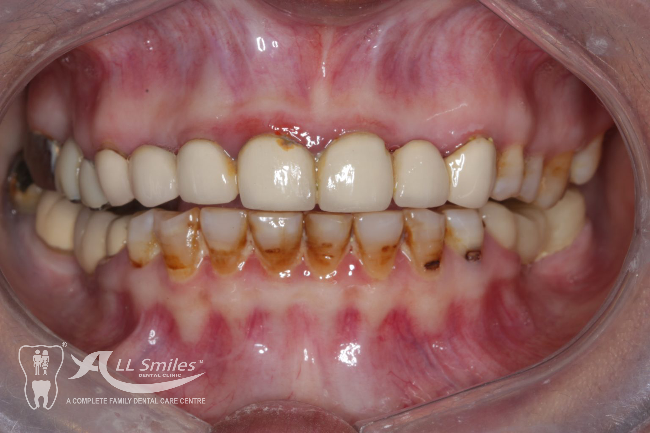
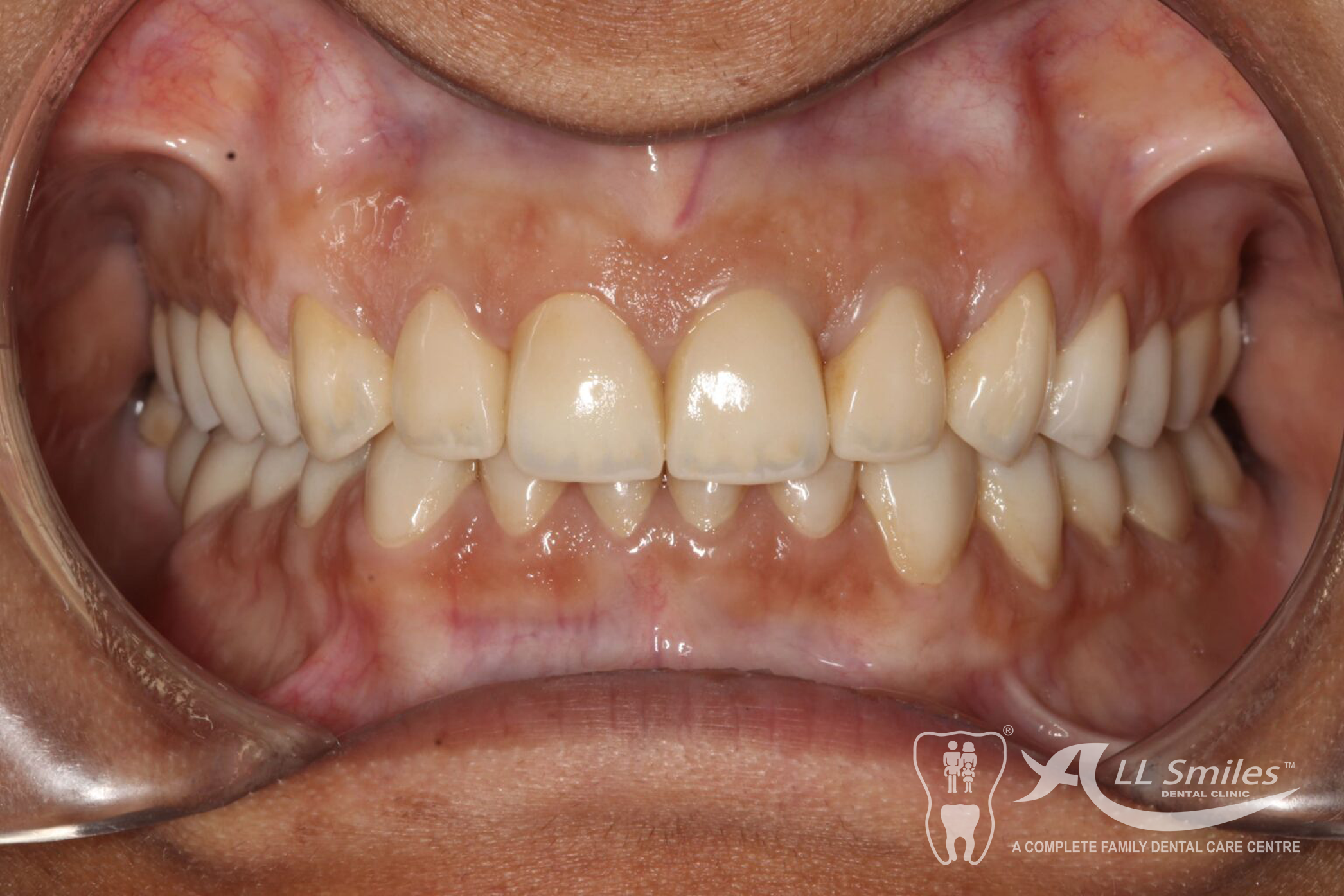
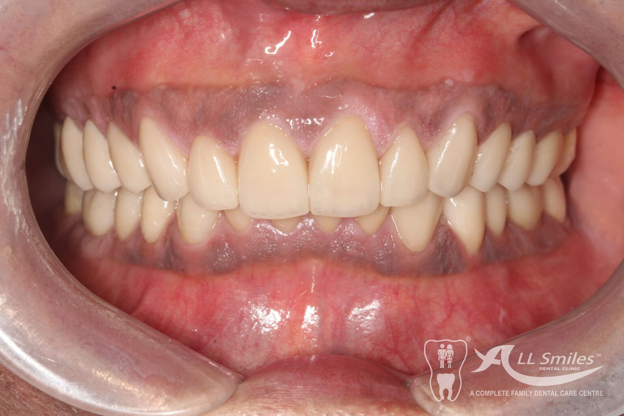
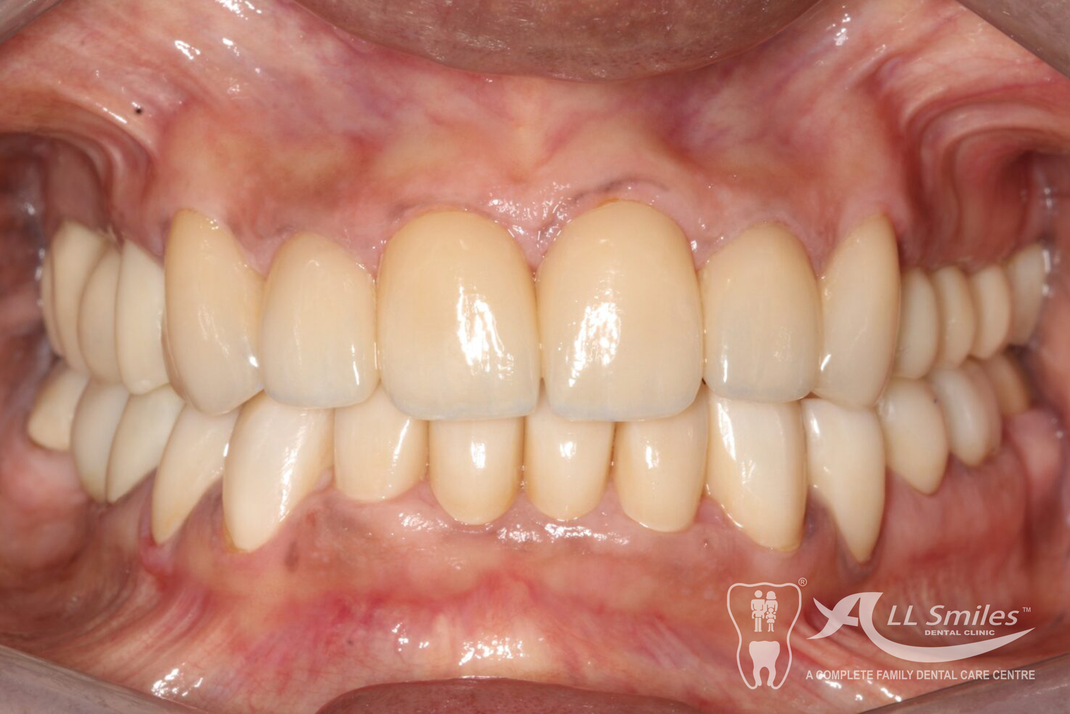
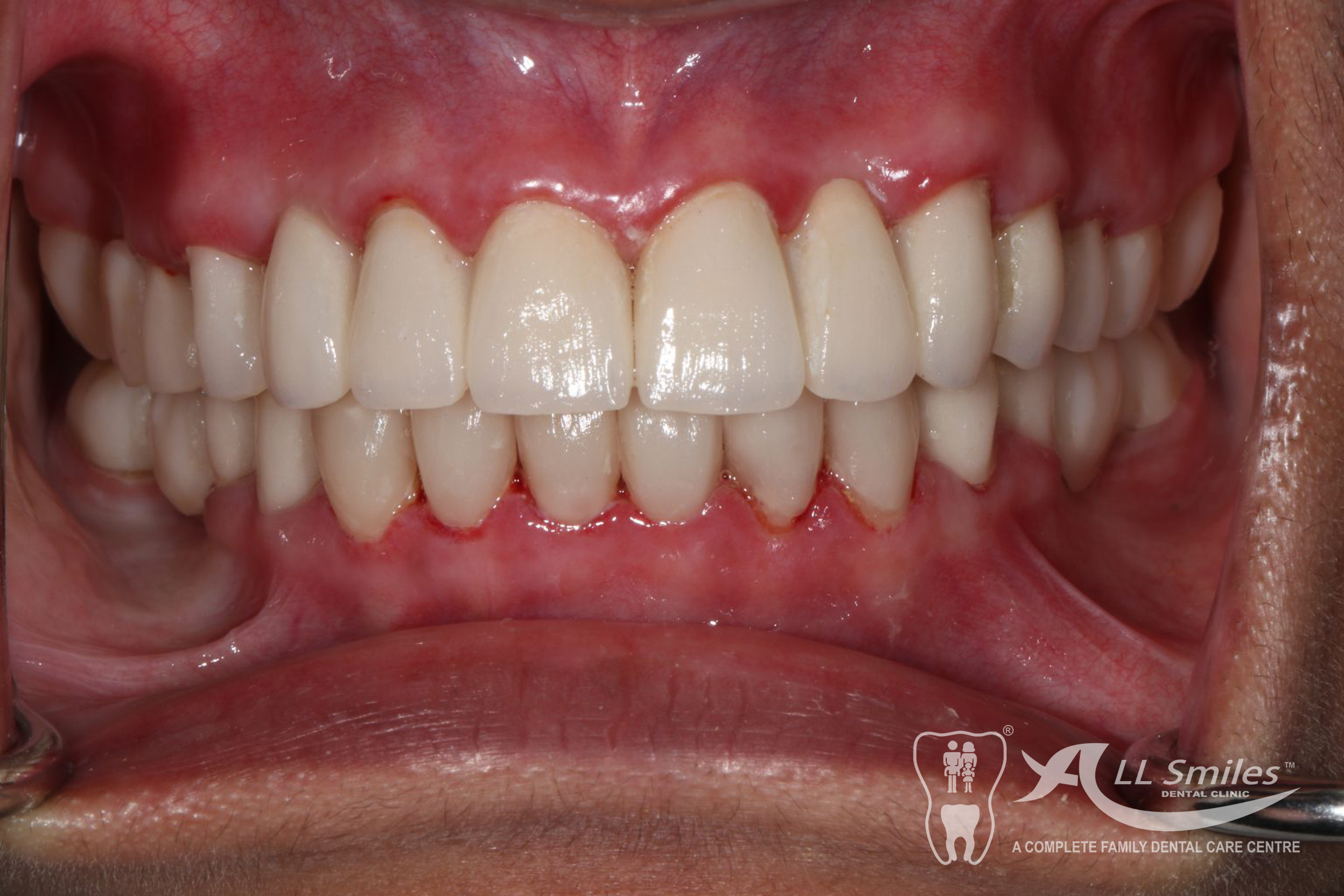
Full Mouth Rehabilitation Gallery









Frequently Asked Questions
The length of time for full mouth rehabilitation can vary depending on the extent of the dental issues being addressed and the specific treatments being performed. It may take several appointments over a single month or even up to 4-6 months to complete the treatment.
You may experience some discomfort during the treatment, but your dentist will use anesthesia to keep you comfortable during any procedures that may be painful.
The cost of full mouth rehabilitation can vary depending on the extent of the dental issues being addressed and the specific treatments being performed. It is important to discuss the costs with your dentist and understand your financing options.
Maintaining good oral hygiene is key to maintaining your new smile after full mouth rehabilitation. This includes brushing twice a day, flossing daily, and scheduling regular dental checkups and cleanings. Your dentist may also recommend other preventive measures such as wearing a night guard or avoiding certain foods or habits.
Your new teeth should look natural and blend in with your existing teeth. Your dentist will work with you to choose the right materials and treatments to achieve a natural-looking smile that meets your goals and preferences.
Full mouth rehabilitation may be a good option if you have multiple dental issues that need to be addressed or if you want to improve the appearance and function of your teeth. It is important to schedule a consultation with your dentist to discuss your options and determine if full mouth rehabilitation is right for you.