Ceramic Braces at All Smiles Dental Clinic
"Taking steps towards a perfect smile with braces"
Braces may be temporary, but a perfect smile is forever.
Orthodontic Treatment (Braces)
Whether you’re a child, teenager, or adult, we believe that everyone deserves a smile they can be proud of.
Orthodontic treatment goes beyond just aesthetic improvements. It can also have a positive impact on your oral health.
When you choose us for your orthodontic journey, you can expect a compassionate and supportive environment. We take the time to listen to your goals and concerns, ensuring that you are comfortable throughout the treatment process. Our team is here to guide you every step of the way, providing education, answering your questions, and adjusting treatment plans as needed to achieve optimal results.
Investing in orthodontic treatment is an investment in your future smile and oral well-being. It’s never too late to begin your journey towards a straighter and healthier smile. Take the first step today by scheduling a consultation with our orthodontic team. We look forward to helping you achieve the smile of your dreams!
Orthodontic treatments available at our practice
These are the tried-and-true method of orthodontic treatment. Traditional braces consist of metal brackets bonded to the teeth and connected by wires. They apply gentle pressure to gradually move the teeth into their desired positions.
For those seeking a more discreet option, clear braces are an excellent choice. They function similarly to traditional braces but use ceramic or composite brackets that blend in with the natural color of your teeth, making them less noticeable.
These braces utilize special brackets that do not require elastic or metal ties. Self-ligating braces reduce friction and may require fewer adjustments, resulting in potentially shorter treatment times.
Clear aligners, such as Invisalign®, are a popular choice among patients looking for a nearly invisible orthodontic solution. These custom-made, removable trays gradually shift the teeth into alignment. Clear aligners offer the added convenience of being removable, allowing you to eat, drink, brush, and floss without any restrictions.
An orthodontic appliance to correct dental and skeletal abnormalities related to the muscles of the face and mouth. It is primarily focuses on improving the function and coordination of the orofacial muscles.
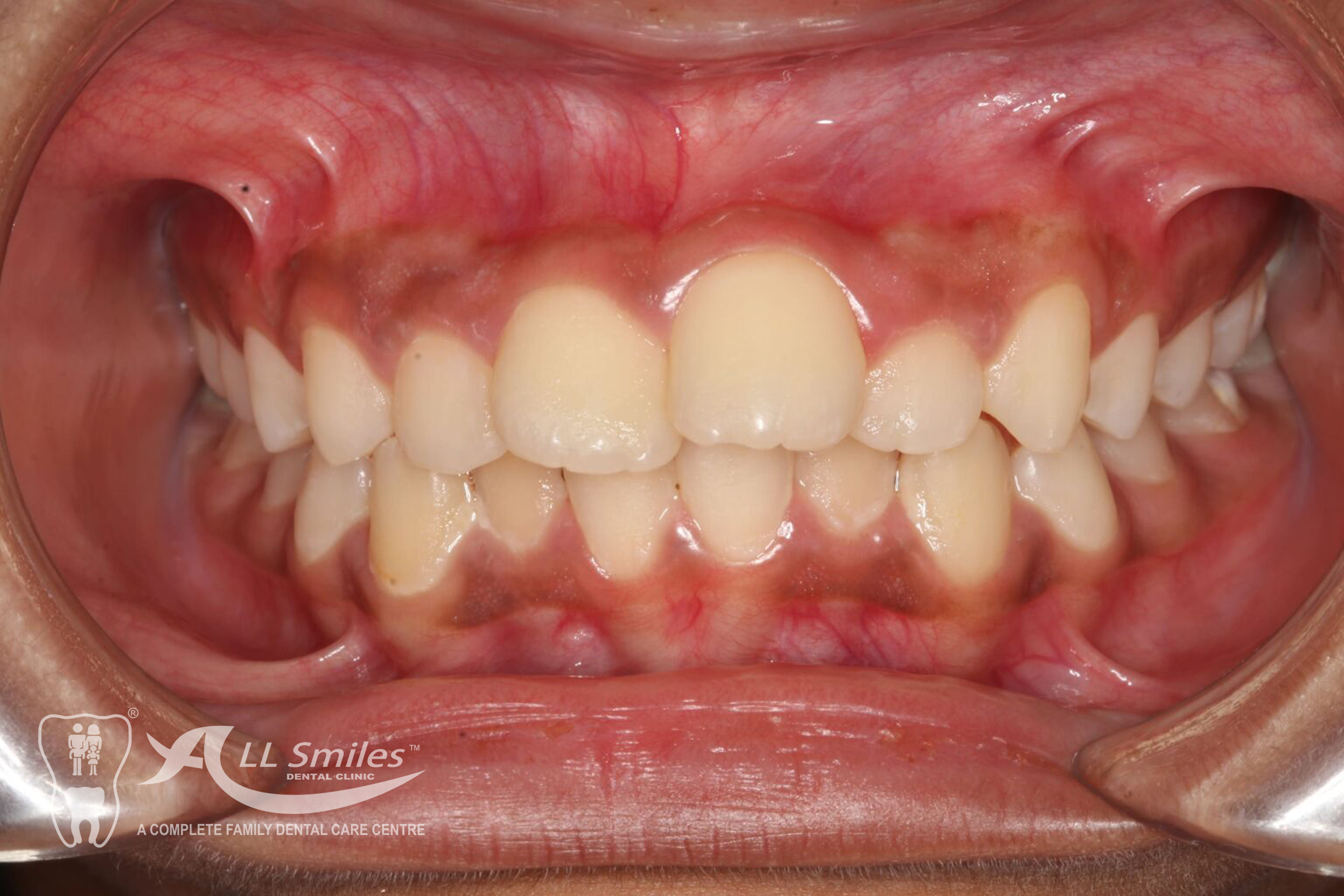
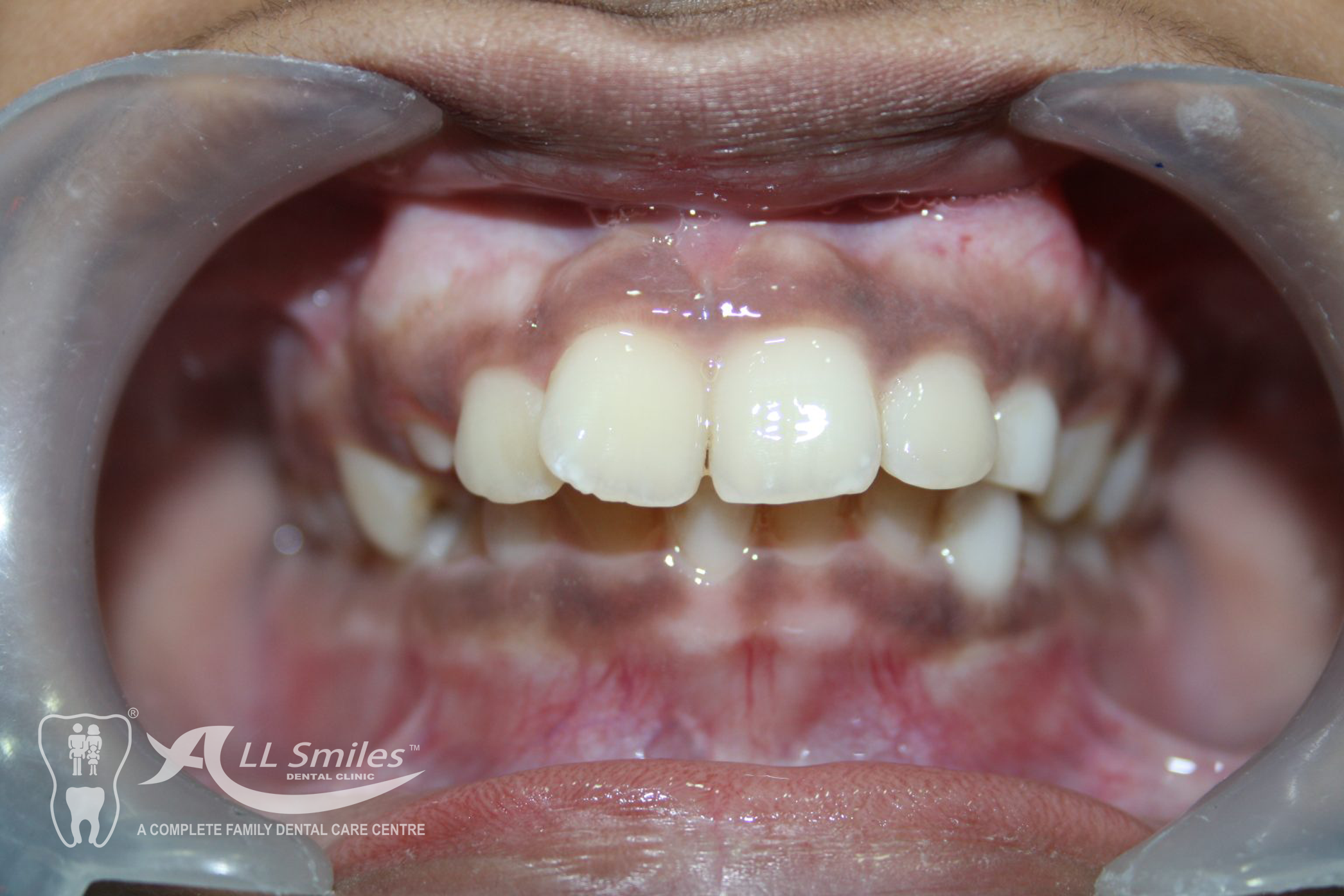
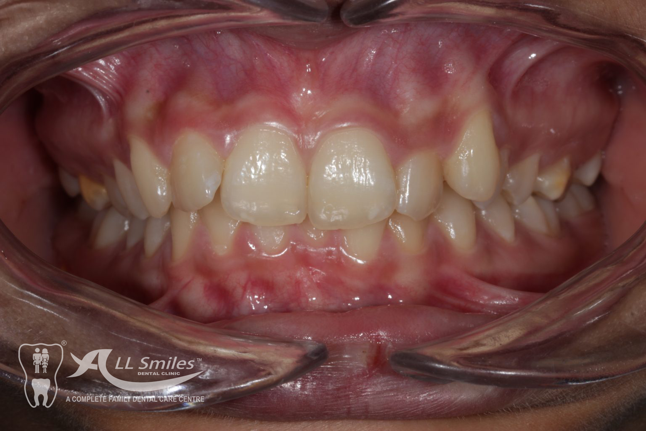
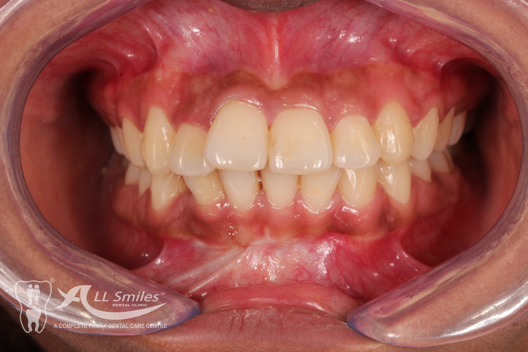
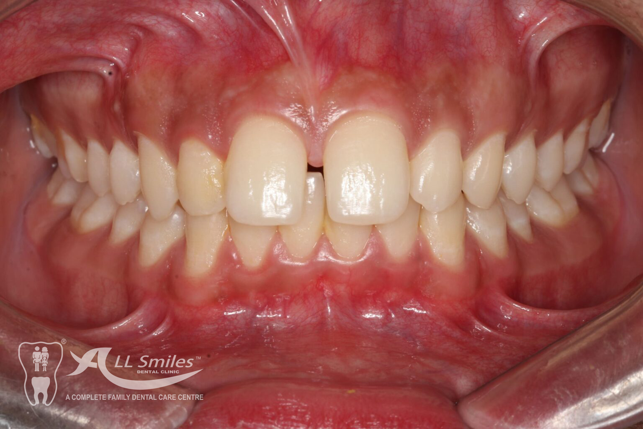
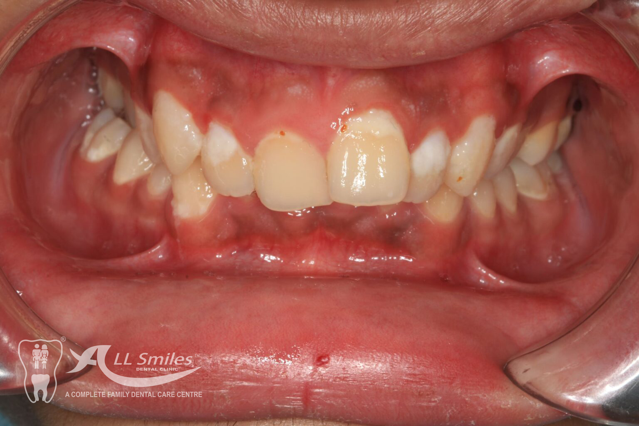
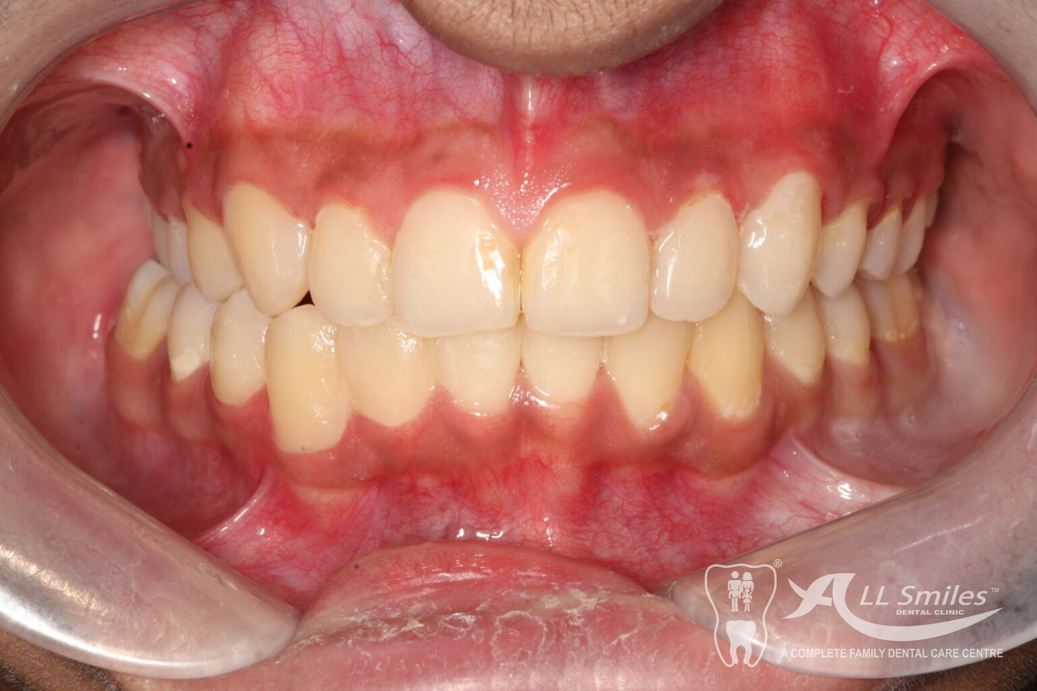
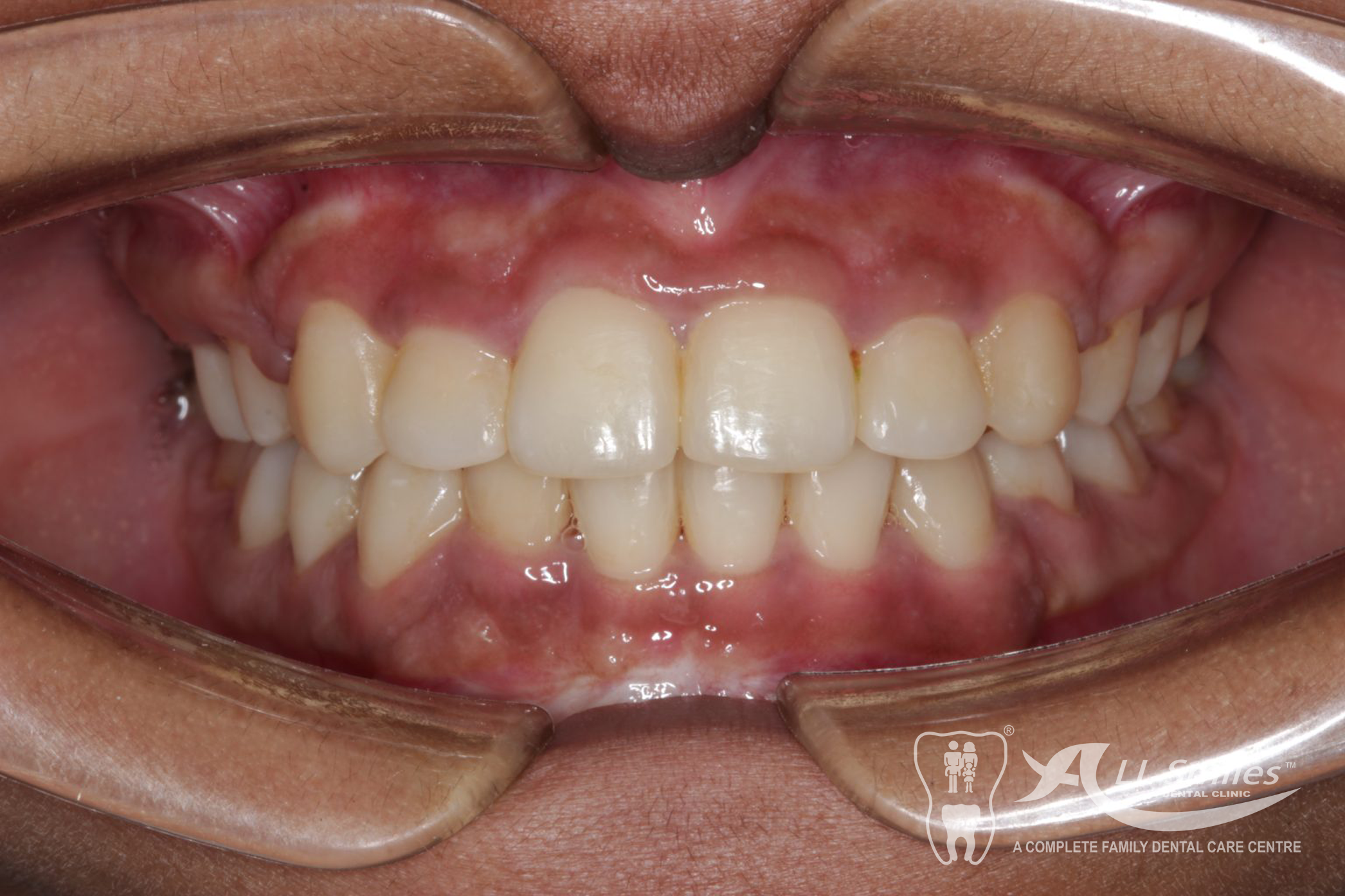
Braces Gallery









Frequently Asked Questions
The duration of orthodontic treatment varies depending on the severity of the case and the chosen treatment option. On average, treatment can last anywhere from several months to a few years.
While there may be some initial discomfort or soreness when braces are first applied or adjusted, it is generally manageable. Advances in orthodontic technology have made treatment more comfortable than ever before.
Absolutely! Orthodontic treatment is not limited to children and teenagers. Many adults choose to undergo orthodontic treatment to improve their smiles and address bite issues.
Yes, there are several alternative options available, including clear braces, lingual braces, and clear aligners. These options provide more discreet treatment approaches for those who prefer a less noticeable appearance.
Regular visits to the orthodontist are necessary throughout treatment. Typically, appointments are scheduled every 4 to 8 weeks for adjustments and progress evaluations.
Yes, wearing retainers after orthodontic treatment is crucial. Retainers help maintain the corrected position of your teeth and prevent them from shifting back to their original positions.
Yes, orthodontic treatment can address various jaw alignment issues, such as overbite, underbite, crossbite, and open bite.
While there may be an adjustment period, most patients adapt quickly to braces or aligners. You may need to make some modifications to your diet during treatment to avoid certain foods that could damage the braces.
The cost of orthodontic treatment depends on factors such as the complexity of the case and chosen treatment option. Your orthodontist will provide a detailed breakdown of the cost during your initial consultation.
Yes, you can participate in sports and activities while undergoing orthodontic treatment. However, it is recommended to wear a mouthguard to protect your teeth and braces during physical activities.