Crowns & Bridges at All Smiles Dental Clinic
"The Building Blocks for a Dazzling Smile."
What are Crowns & Bridges?
At All Smiles Dental Clinic, we offer high-quality crowns and bridges to help restore the health, function, and beauty of your smile. Our experienced dental team uses the latest techniques and materials to create durable and natural-looking dental restorations. Whether you have a damaged tooth or are missing one or more teeth, crowns and bridges can provide an effective solution.
A dental crown is a cap-shaped cover that is placed over a damaged or weakened tooth to restore its shape, size, strength, and improve its appearance. Crowns can be made from various materials, including porcelain, metal, ceramic, zirconia, lithium disilicate or a combination of these materials.
A dental bridge, on the other hand, is a prosthetic device used to replace one or more missing teeth. It consists of one or more artificial teeth, called pontics, that are held in place by dental crowns that are attached to the adjacent teeth or dental implants. Bridges can be made from various materials, including porcelain, metal, zirconia, lithium disilicate or a combination of these materials.
Both dental crowns and bridges are custom-made to fit each patient’s unique dental needs. They are designed to be durable, long-lasting, and to blend in with the surrounding natural teeth, making them a popular and effective option for restoring and enhancing a patient’s smile and dental health.
Types of Dental Bridges
These bridges consist of pontics held in place by dental crowns cemented onto the adjacent teeth.
These bridges are used when there is only one adjacent tooth available to support the pontic.
Also known as resin-bonded bridges, these bridges use metal or porcelain wings bonded to the adjacent teeth, eliminating the need for extensive tooth preparation.
These bridges are anchored to dental implants surgically placed in the jawbone, providing optimal stability and support.
What to Expect on your First Visit?
- Our dentist will begin by assessing the condition of your teeth, gums and any existing dental restorations.
- X-rays or digital imaging may be taken to assess the underlying structures and identify any hidden issues.
- Based on the examination findings, our dentist will discuss your treatment options, including dental crowns and bridges.
- They will explain the benefits of each option and help you make an informed decision about the best treatment plan for your specific needs.
- The dentist will consider factors such as the location of the missing or damaged teeth, your oral health, aesthetic goals, and budget.
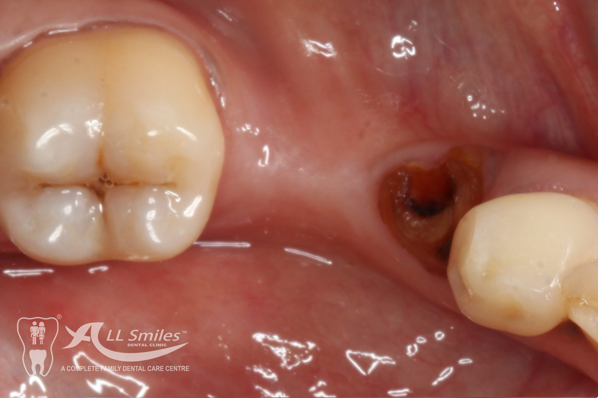
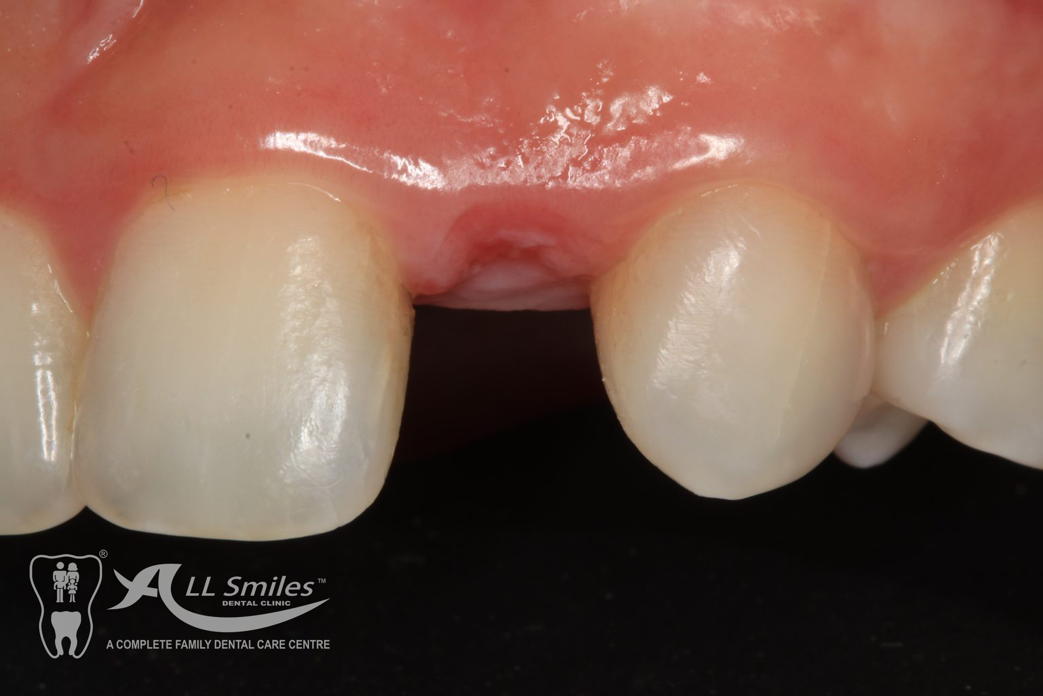
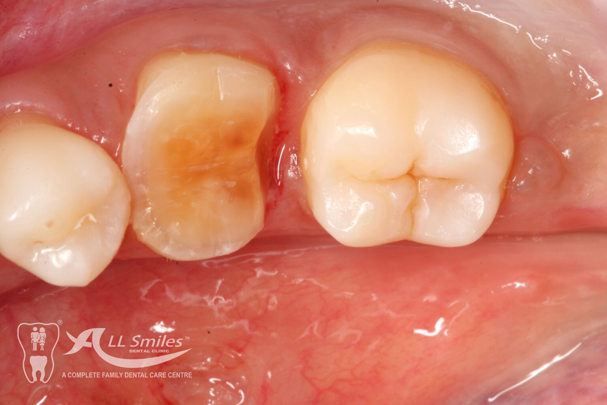
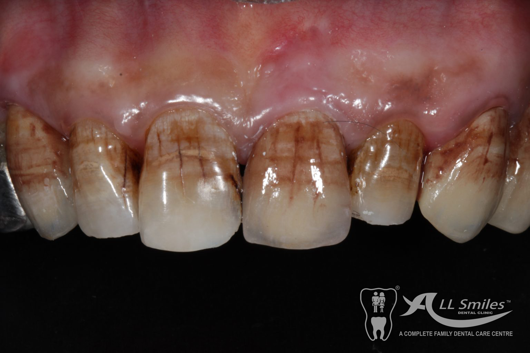
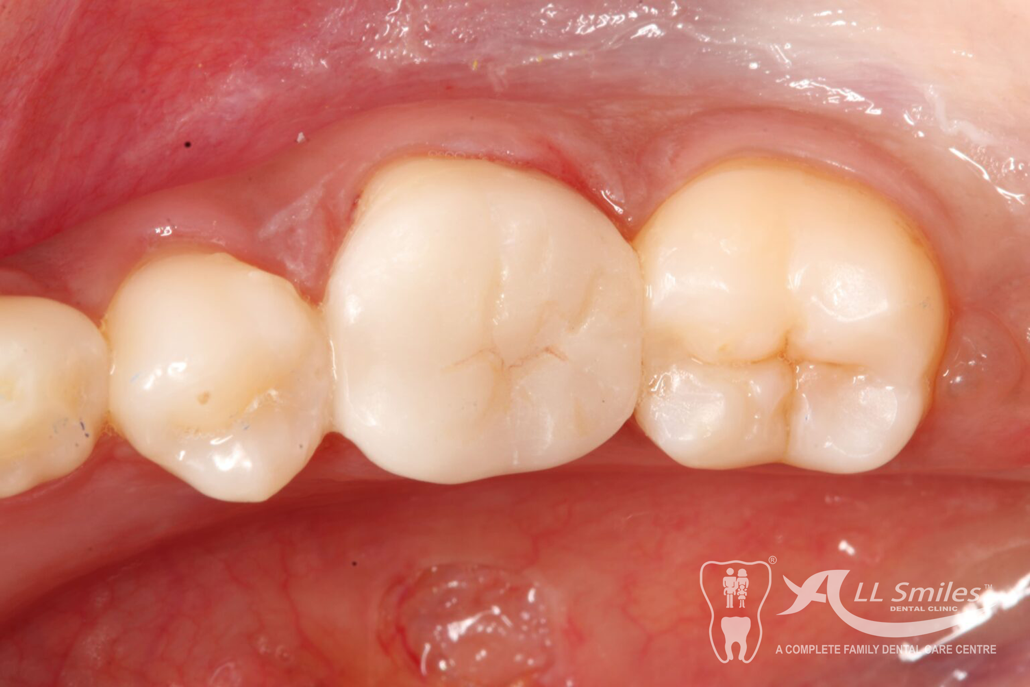
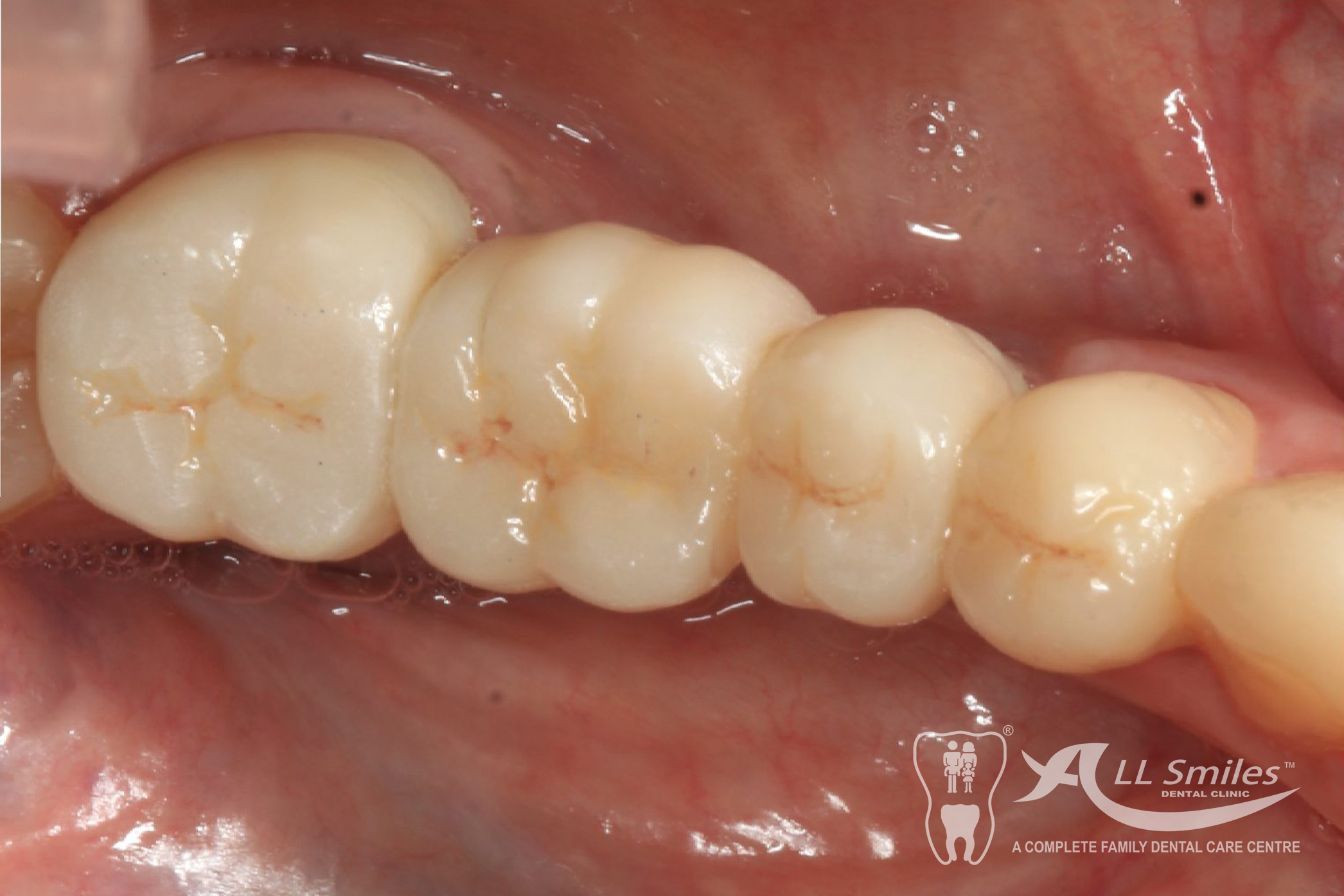
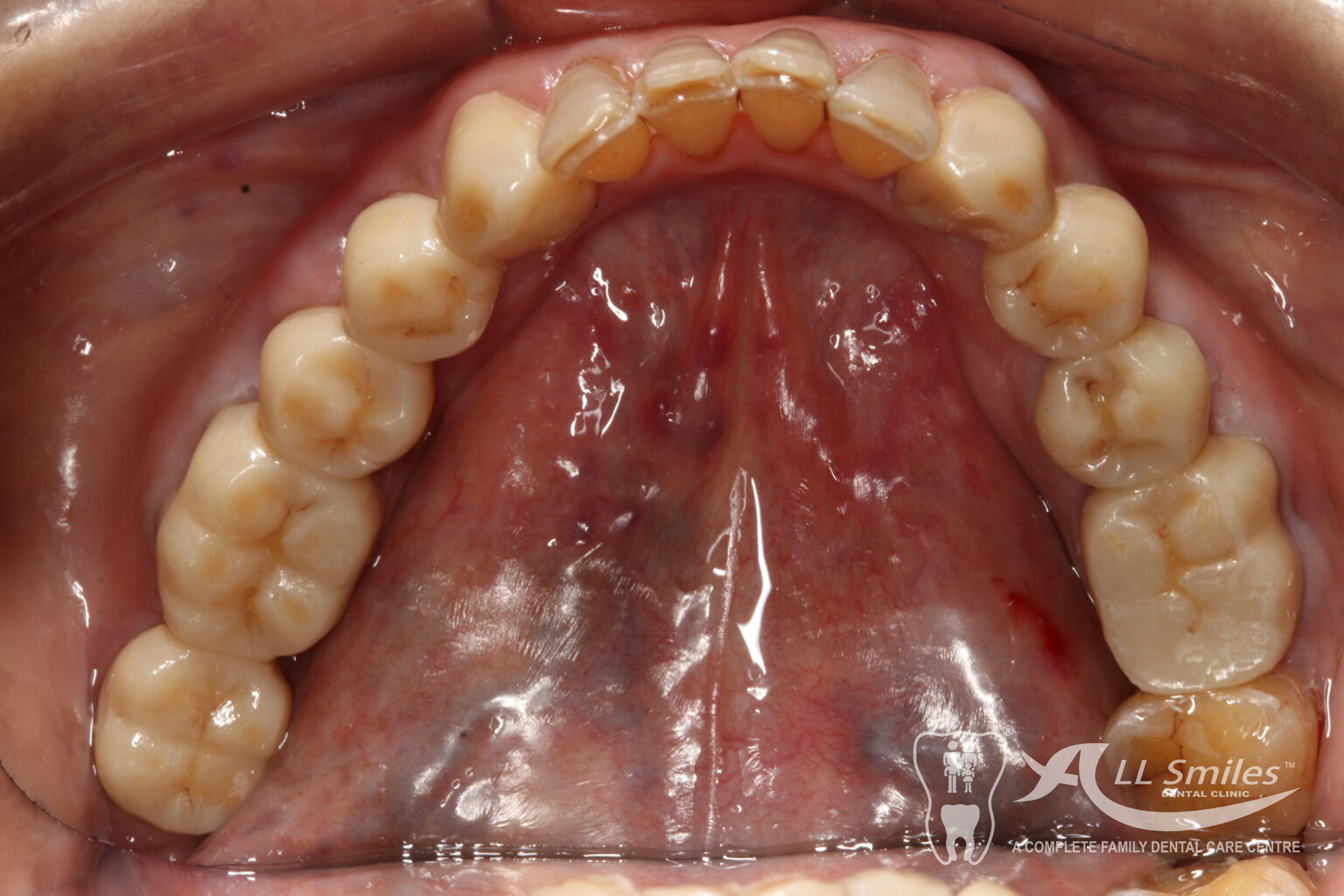
Crowns & Bridges Gallery









Frequently Asked Questions
Dental crowns offer several benefits, including restoring the appearance and function of damaged or decayed teeth, protecting weakened teeth from further damage, strengthening teeth after a root canal procedure, and improving the alignment and bite of the teeth.
- Restore your ability to bite, chew, and speak properly.
- Prevent neighboring teeth from shifting and causing bite problems.
- Maintain the shape and structure of your face.
- Improve your smile’s aesthetics and boost your self-confidence.
The lifespan of a dental crown or bridge can vary depending on several factors, such as the quality of the materials used, the patient’s oral hygiene habits, and the location of the crown/bridge in the mouth. On average, dental crowns and bridges can last between 10-15 years or longer with proper care and maintenance.
The process of getting a dental crown/bridge is typically not painful. The dentist will use local anesthesia to numb the area around the tooth and ensure that the patient is comfortable during the procedure. Patients may experience some discomfort or sensitivity in the days following the placement of the crown/bridge, but this is usually temporary.
Yes, dental crowns/bridges can be replaced if they become damaged, worn, or if they no longer fit properly. The process of replacing a dental crown/bridge is similar to the process of getting a new crown/bridge.
To ensure the longevity of a dental crown/bridge, it is essential to practice good oral hygiene habits, such as brushing twice a day, flossing daily, and scheduling regular dental check-ups. Patients should also avoid biting down on hard objects or using their teeth to open packages, which can damage the crown/bridge.