Depigmentation at All Smiles Dental Clinic
"Say goodbye to dark spots and hello to a brighter, more confident you"
Depigmentation at All Smiles Dental Clinic
"Say goodbye to dark spots
and hello to a brighter,
more confident you"
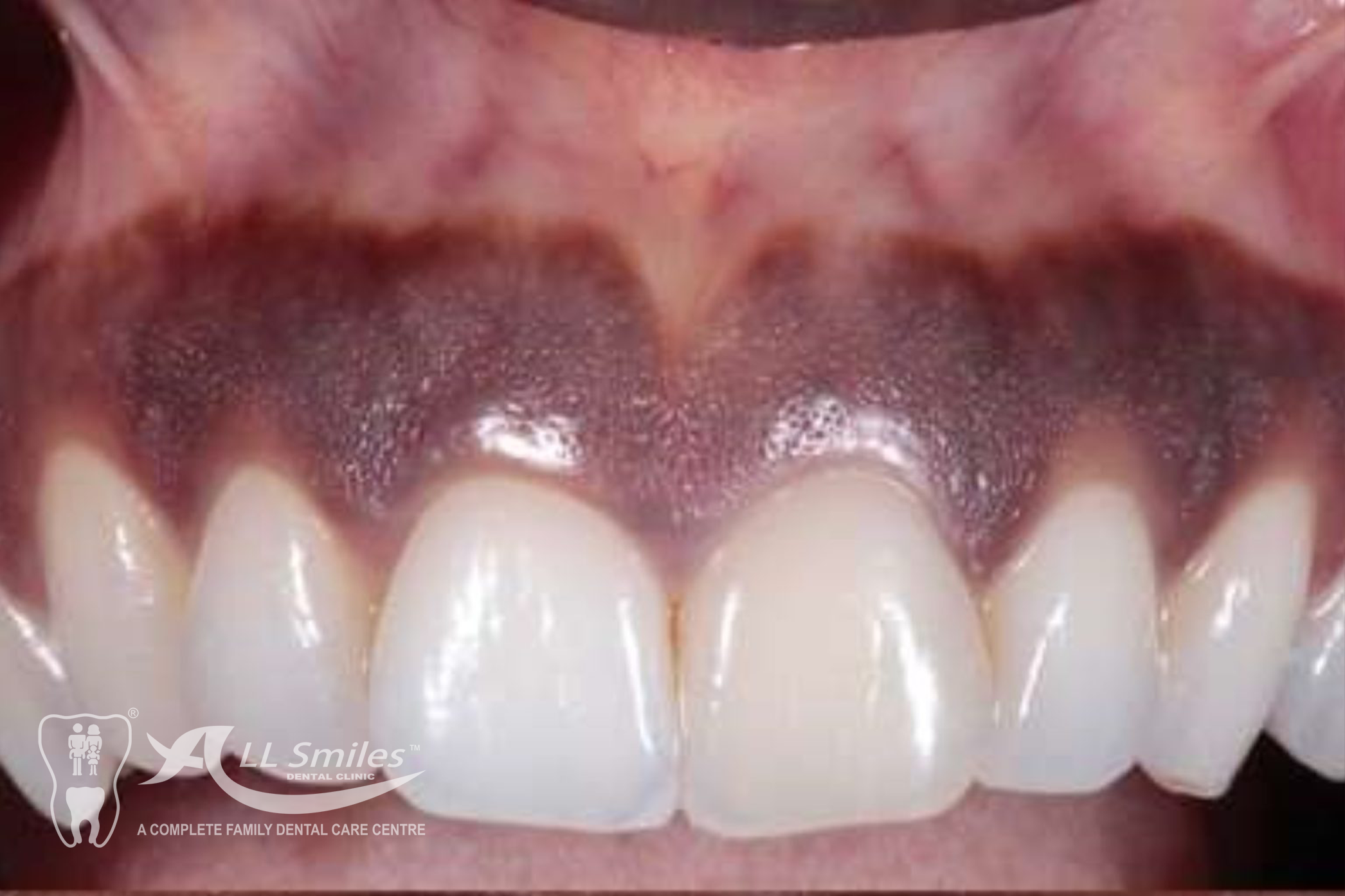
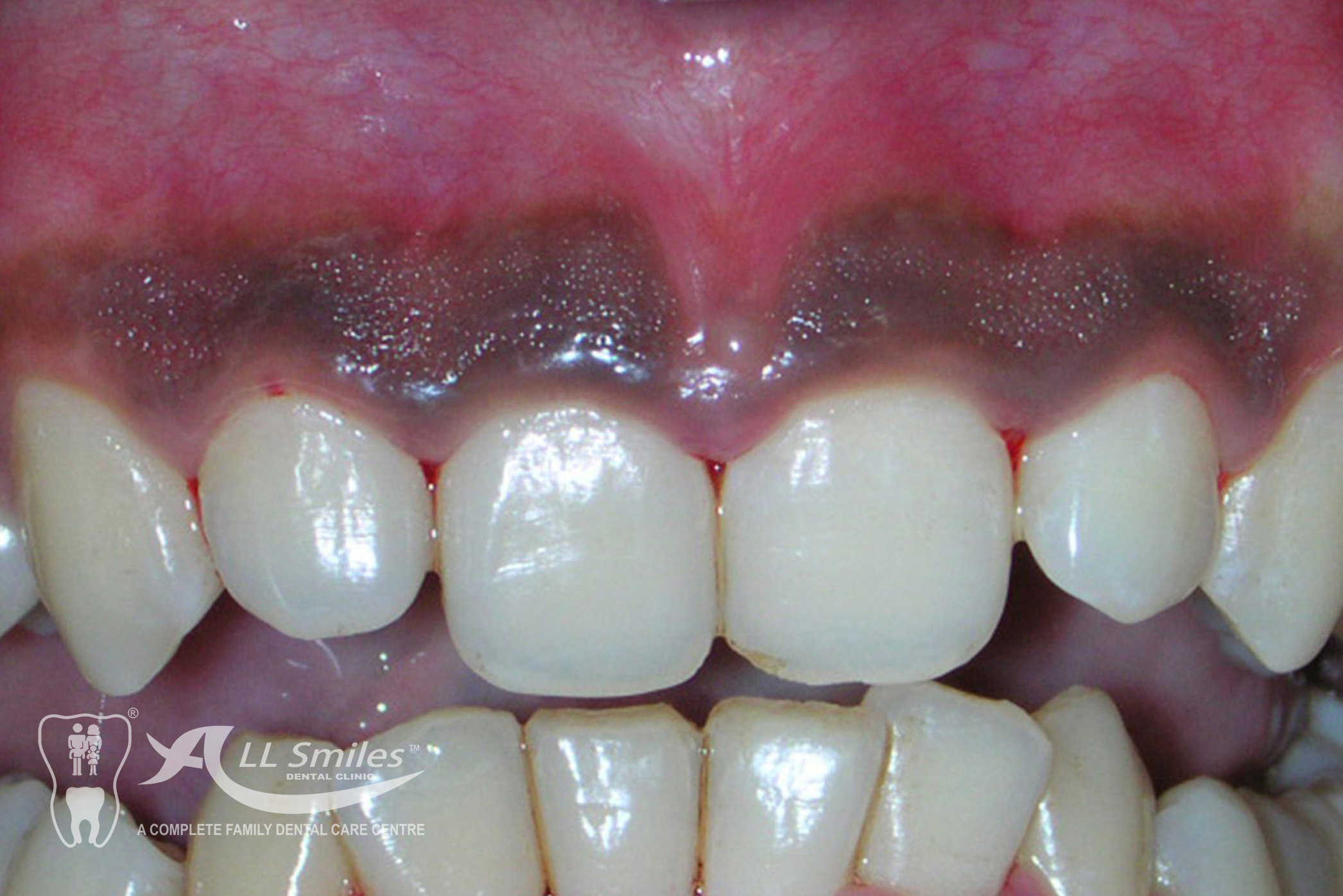
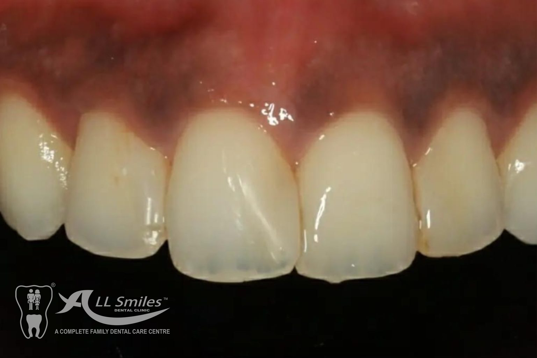
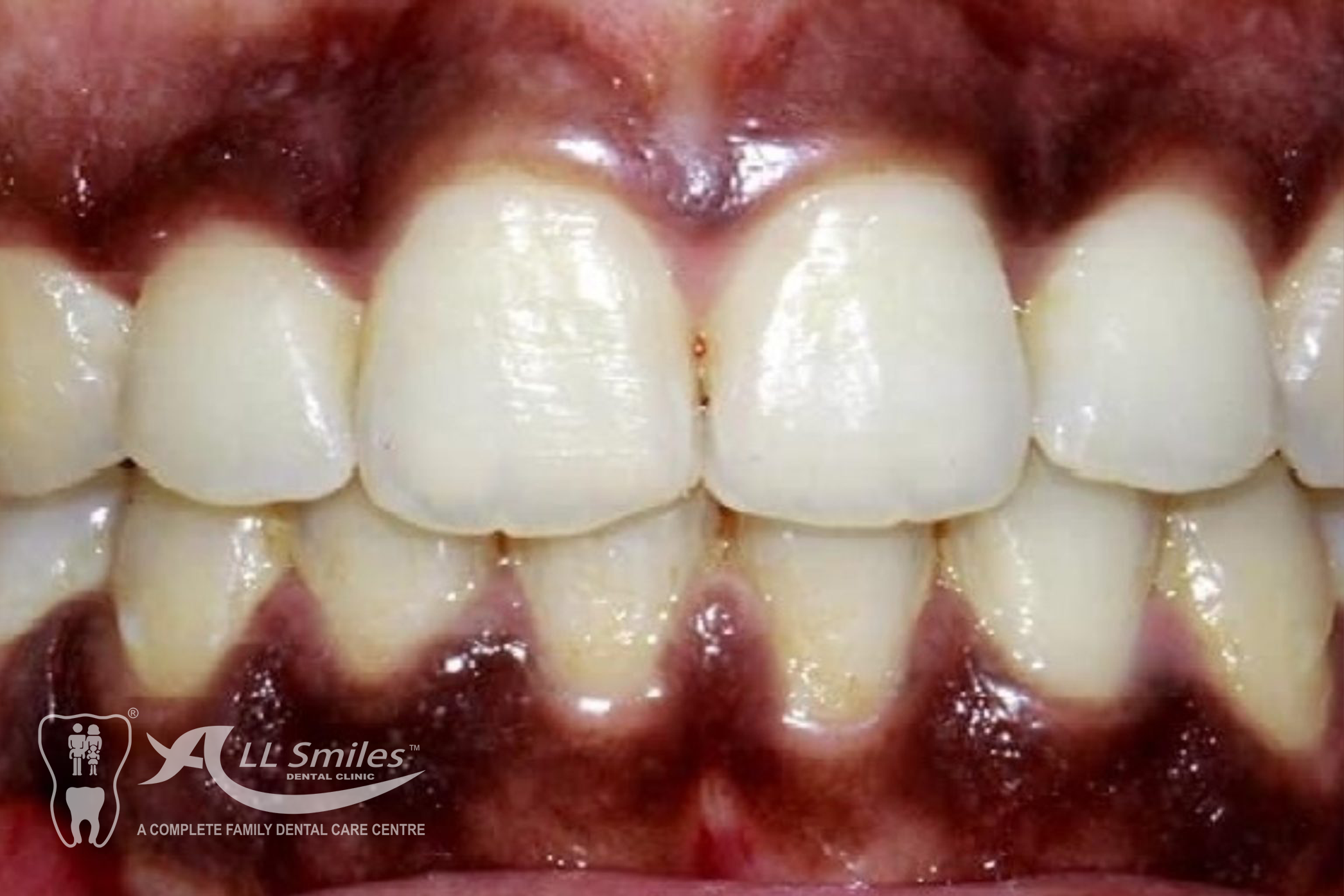
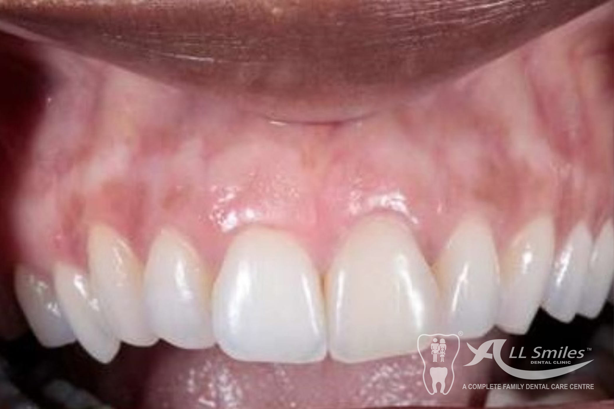
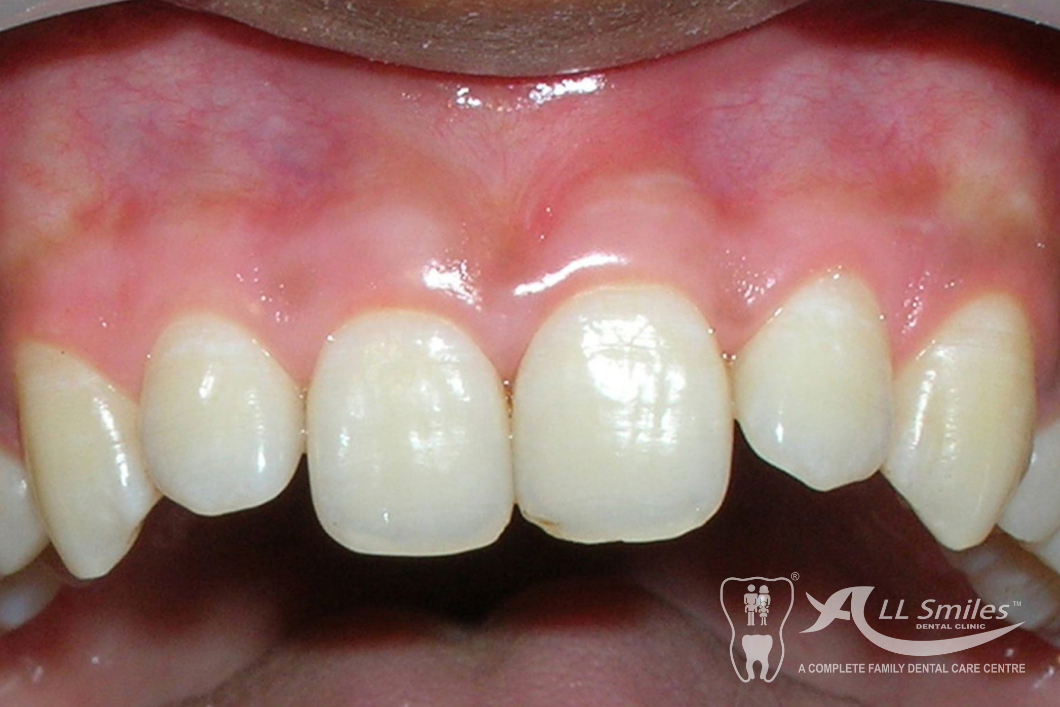
What is Gum Depigmentation ?
Gum depigmentation or gum bleaching, is a cosmetic dental procedure aimed at treating excessive pigmentation or dark spots on the gums. The natural colour of gums varies among individuals, ranging from pink to brown. However, some people may have darker or discoloured gums, which can be caused by various factors such as genetics, medications, smoking, or certain medical conditions.
Depigmentation of gums involves removing the excess pigmentation from the gum tissues to create a more uniform and aesthetically pleasing gum colour. The procedure is typically performed by a dental professional, such as a periodontist or cosmetic dentist, using different techniques, including laser treatment, surgical scraping, or chemical agents.
During the procedure, the targeted areas of excessive pigmentation are carefully treated to remove the darkened tissue, revealing the lighter, underlying gum colour.
It is a safe and effective procedure.
Depigmentation can have several benefits, here are some of them:
• Enhance the aesthetics of the smile by creating a more balanced and uniform gum colour,
• Improving the overall appearance of the teeth.
• Boost self-confidence
• Improve the patient’s overall satisfaction with their smile.
Your first visit will typically involve a thorough consultation wherein will examine your gums, discuss your concerns, and evaluate your eligibility for gum depigmentation. Based on your examination, the dental professional will determine the most suitable technique and treatment plan for your specific case. They will explain the process, including the expected outcomes and any potential risks or side effects.
Gum Depigmentation Gallery






Frequently Asked Questions
Most patients report minimal discomfort during and after the procedure. Local anaesthesia is typically used to numb the gums, ensuring a comfortable experience.
The duration of the procedure can vary depending on the extent of the pigmentation and the technique used. On average, it can take anywhere from 30 minutes to one hour.
Generally, gum depigmentation is a safe procedure. However, some temporary side effects may include mild swelling, sensitivity, or minor bleeding. These usually subside within a few days.
The healing time can vary from person to person. Typically, the gums heal within one to two weeks. During this time, it is important to follow post-treatment instructions provided by the dental professional.
In most cases, the pigmentation does not return after gum depigmentation. However, it is essential to maintain good oral hygiene practices and follow the recommendations of your dental professional to ensure long-lasting results.
Gum depigmentation is generally suitable for individuals with excess pigmentation or dark spots on their gums. However, a thorough examination by a dental professional is necessary to determine candidacy and rule out any underlying oral health issues.
The cost of gum depigmentation can vary depending on factors such as the severity of the pigmentation, the technique used, and the location of the dental practice. It is best to consult with a dental professional for an accurate cost estimate.
Gum depigmentation can be performed on sensitive gums. However, it is important to inform your dental professional about any existing gum sensitivity or oral health conditions before the procedure.
With proper oral hygiene and regular dental care, the results of gum depigmentation can last for several years. However, individual factors such as lifestyle habits and oral health maintenance can affect the longevity of the results.